Rabbit MYO6 Polyclonal Antibody | anti-MYO6 antibody
MYO6 Antibody
Phosphate buffered saline, pH 7.4, 150mM NaCl, 0.02% sodium azide and 50% glycerol.
IHC (Immunohistochemistry)
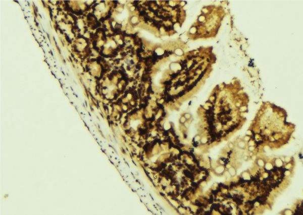
(AAA328048 at 1/100 staining Mouse colon tissue by IHC-P. The sample was formaldehyde fixed and a heat mediated antigen retrieval step in citrate buffer was performed. The sample was then blocked and incubated with the antibody for 1.5 hours at 22 degree C. An HRP conjugated goat anti-rabbit antibody was used as the secondary.)
Subunit Structure: Homodimer; dimerization seems to implicate the unfolding of the three-helix bundle region creating an additional calmodulin binding site, and cargo binding (By similarity). Binding to calmodulin through a unique insert, not found in other myosins, located in the neck region between the motor domain and the IQ domain appears to contribute to the directionality reversal. This interaction occurs only if the C-terminal lobe of calmodulin is occupied by calcium. Interaction with F-actin/ACTN1 occurs only at the apical brush border domain of the proximal tubule cells (By similarity). Interacts with DAB2. In vitro, the C-terminal globular tail binds a C-terminal region of DAB2. Interacts with CFTR. Forms a complex with CFTR and DAB2 in the apical membrane of epithelial cells. Interacts with OPTN (By similarity).
Post-translational Modifications: Phosphorylation in the motor domain, induced by EGF, results in translocation of MYO6 from the cell surface to membrane ruffles and affects F-actin dynamics. Phosphorylated in vitro by p21-activated kinase (PAK) (By similarity).
Similarity: Divided into three regions: a N-terminal motor (head) domain, followed by a neck domain consisting of a calmodulin-binding linker domain and a single IQ motif, and a C-terminal tail region with a three-helix bundle region, a SAH domain and a unique globular domain required for interaction with other proteins such as cargo-binding.The SAH (single alpha-helix) region is characterized by a high content of charged residues which are predicted to stabilize the alpha-helical structure by ionic bonds. Its contribution to the mechanism confering the myosin movement on actin filaments is debated. Belongs to the TRAFAC class myosin-kinesin ATPase superfamily. Myosin family.
NCBI and Uniprot Product Information
Predicted: 150 kDa
Customer Reviews
Loading reviews...
Share Your Experience
Similar Products
Product Notes
The MYO6 myo6 (Catalog #AAA328048) is an Antibody produced from Rabbit and is intended for research purposes only. The product is available for immediate purchase. The MYO6 Antibody reacts with Human, Mouse, Rat and may cross-react with other species as described in the data sheet. AAA Biotech's MYO6 can be used in a range of immunoassay formats including, but not limited to, ELISA, IHC (Immunohistochemistry), WB (Western Blot). Researchers should empirically determine the suitability of the MYO6 myo6 for an application not listed in the data sheet. Researchers commonly develop new applications and it is an integral, important part of the investigative research process. It is sometimes possible for the material contained within the vial of "MYO6, Polyclonal Antibody" to become dispersed throughout the inside of the vial, particularly around the seal of said vial, during shipment and storage. We always suggest centrifuging these vials to consolidate all of the liquid away from the lid and to the bottom of the vial prior to opening. Please be advised that certain products may require dry ice for shipping and that, if this is the case, an additional dry ice fee may also be required.Precautions
All products in the AAA Biotech catalog are strictly for research-use only, and are absolutely not suitable for use in any sort of medical, therapeutic, prophylactic, in-vivo, or diagnostic capacity. By purchasing a product from AAA Biotech, you are explicitly certifying that said products will be properly tested and used in line with industry standard. AAA Biotech and its authorized distribution partners reserve the right to refuse to fulfill any order if we have any indication that a purchaser may be intending to use a product outside of our accepted criteria.Disclaimer
Though we do strive to guarantee the information represented in this datasheet, AAA Biotech cannot be held responsible for any oversights or imprecisions. AAA Biotech reserves the right to adjust any aspect of this datasheet at any time and without notice. It is the responsibility of the customer to inform AAA Biotech of any product performance issues observed or experienced within 30 days of receipt of said product. To see additional details on this or any of our other policies, please see our Terms & Conditions page.Item has been added to Shopping Cart
If you are ready to order, navigate to Shopping Cart and get ready to checkout.
