Rabbit NCK1 Polyclonal Antibody | anti-NCK1 antibody
NCK1 Antibody
Phosphate buffered saline, pH 7.4, 150mM NaCl, 0.02% sodium azide and 50% glycerol.
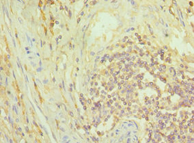
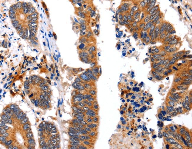
IHC (Immunohiostchemistry)
(AAA325962 at 1/100 staining Human lung tissue by IHC-P. The sample was formaldehyde fixed and a heat mediated antigen retrieval step in citrate buffer was performed. The sample was then blocked and incubated with the antibody for 1.5 hours at 22 degree C. An HRP conjugated goat anti-rabbit antibody was used as the secondary.)
WB (Western Blot)
(Western blot analysis of brain lysate using NCK1 antibody. The lane on the left is treated with the antigen-specific peptide.)
Function: Adapter protein which associates with tyrosine-phosphorylated growth factor receptors, such as KDR and PDGFRB, or their cellular substrates. Maintains low levels of EIF2S1 phosphorylation by promoting its dephosphorylation by PP1. Plays a role in the DNA damage response, not in the detection of the damage by ATM/ATR, but for efficient activation of downstream effectors, such as that of CHEK2. Plays a role in ELK1-dependent transcriptional activation in response to activated Ras signaling. Modulates the activation of EIF2AK2/PKR by dsRNA. May play a role in cell adhesion and migration through interaction with ephrin receptors.
Subunit Structure: Interacts (via SH2 domain and SH3 domain 2) with EGFR. Interacts with PAK1 and SOS1. Interacts (via SH3 domains) with PKN2. Associates with BLNK, PLCG1, VAV1 and NCK1 in a B-cell antigen receptor-dependent fashion. Interacts with SOCS7. This interaction is required for nuclear import. Part of a complex containing PPP1R15B, PP1 and NCK1. Interacts with RALGPS1. Interacts with CAV2 (tyrosine phosphorylated form). Interacts with ADAM15. Interacts with FASLG. Directly interacts with RASA1. Interacts with isoform 4 of MINK1. Interacts with FLT1 (tyrosine phosphorylated). Interacts with KDR (tyrosine phosphorylated). Interacts (via SH2 domain) with EPHB1; activates the JUN cascade to regulate cell adhesion. Interacts with EPHA2. Interacts (via SH2 domain) with PDGFRB (tyrosine phosphorylated). Interacts with the inactive form of EIF2AK2/PKR.
Post-translational Modifications: Phosphorylated on Ser and Tyr residues. Phosphorylated in response to activation of EGFR and FcERI. Phosphorylated by activated PDGFRB.
Similarity: Only the first and third SH3 domains seem to be involved in RASA1-binding; the second SH3 domain and the SH2 domains do not seeem to be involved.
NCBI and Uniprot Product Information
Predicted: 43 kDa
Customer Reviews
Loading reviews...
Share Your Experience
Similar Products
Product Notes
The NCK1 nck1 (Catalog #AAA325962) is an Antibody produced from Rabbit and is intended for research purposes only. The product is available for immediate purchase. The NCK1 Antibody reacts with Human, Mouse, Rat and may cross-react with other species as described in the data sheet. AAA Biotech's NCK1 can be used in a range of immunoassay formats including, but not limited to, ELISA, IHC (Immunohistochemistry), WB (Western Blot). Researchers should empirically determine the suitability of the NCK1 nck1 for an application not listed in the data sheet. Researchers commonly develop new applications and it is an integral, important part of the investigative research process. It is sometimes possible for the material contained within the vial of "NCK1, Polyclonal Antibody" to become dispersed throughout the inside of the vial, particularly around the seal of said vial, during shipment and storage. We always suggest centrifuging these vials to consolidate all of the liquid away from the lid and to the bottom of the vial prior to opening. Please be advised that certain products may require dry ice for shipping and that, if this is the case, an additional dry ice fee may also be required.Precautions
All products in the AAA Biotech catalog are strictly for research-use only, and are absolutely not suitable for use in any sort of medical, therapeutic, prophylactic, in-vivo, or diagnostic capacity. By purchasing a product from AAA Biotech, you are explicitly certifying that said products will be properly tested and used in line with industry standard. AAA Biotech and its authorized distribution partners reserve the right to refuse to fulfill any order if we have any indication that a purchaser may be intending to use a product outside of our accepted criteria.Disclaimer
Though we do strive to guarantee the information represented in this datasheet, AAA Biotech cannot be held responsible for any oversights or imprecisions. AAA Biotech reserves the right to adjust any aspect of this datasheet at any time and without notice. It is the responsibility of the customer to inform AAA Biotech of any product performance issues observed or experienced within 30 days of receipt of said product. To see additional details on this or any of our other policies, please see our Terms & Conditions page.Item has been added to Shopping Cart
If you are ready to order, navigate to Shopping Cart and get ready to checkout.
