Rabbit NCoA-3 Polyclonal Antibody | anti-NCoA-3 antibody
NCoA-3 Rabbit Polyclonal Antibody
Gene Names
NCOA3; ACTR; AIB1; RAC3; SRC3; pCIP; AIB-1; CTG26; SRC-3; CAGH16; KAT13B; TNRC14; TNRC16; TRAM-1; bHLHe42
Reactivity
Human, Mouse, Rat
Applications
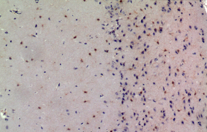
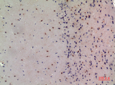
ELISA, Immunofluorescence, Immunohistochemistry, Western Blot
Purity
The antibody was affinity-purified from rabbit antiserum by affinity-chromatography using epitope-specific immunogen.
Synonyms
NCoA-3, Antibody; NCoA-3 Rabbit Polyclonal Antibody; NCOA3; AIB1; BHLHE42; RAC3; TRAM1; Nuclear receptor coactivator 3; NCoA-3; ACTR; Amplified in breast cancer 1 protein; AIB-1; CBP-interacting protein; pCIP; Class E basic helix-loop-helix protein 42; bHLHe42; Receptor-associated coactivator 3; RAC-3; Steroid receptor coactivator protein 3; SRC-3; Thyroid hormone receptor activator molecule 1; TRAM-1; BH6842; anti-NCoA-3 antibody
Host
Rabbit
Reactivity
Human, Mouse, Rat
Clonality
Polyclonal
Specificity
NCoA-3 Polyclonal Antibody detects endogenous levels of NCoA-3 protein.
Purity/Purification
The antibody was affinity-purified from rabbit antiserum by affinity-chromatography using epitope-specific immunogen.
Form/Format
Liquid in PBS containing 50% glycerol, 0.5% BSA and 0.02% sodium azide.
Concentration
1mg/ml (varies by lot)
Applicable Applications for anti-NCoA-3 antibody
ELISA, IF (Immunofluorescence), IHC (Immunohistochemistry), WB (Western Blot)
Immunogen
Synthesized peptide derived from the Internal region of human NCoA-3.
Modification
Unmodified/Total
Preparation and Storage
Store at -20 degree C/1 year
Related Product Information for anti-NCoA-3 antibody
The protein encoded by this gene is a nuclear receptor coactivator that interacts with nuclear hormone receptors to enhance their transcriptional activator functions. The encoded protein has histone acetyltransferase activity and recruits p300/CBP-associated factor and CREB binding protein as part of a multisubunit coactivation complex. This protein is initially found in the Cytoplasm but is translocated into the nucleus upon phosphorylation. Several transcript variants encoding different isoforms have been found for this gene. In addition, a polymorphic repeat region is found in the C-terminus of the encoded protein. [provided by RefSeq, Mar 2010]
NCBI and Uniprot Product Information
NCBI GI #
NCBI GeneID
NCBI Accession #
NCBI GenBank Nucleotide #
Molecular Weight
1424
NCBI Official Full Name
nuclear receptor coactivator 3 isoform c
NCBI Official Synonym Full Names
nuclear receptor coactivator 3
NCBI Official Symbol
NCOA3
NCBI Official Synonym Symbols
ACTR; AIB1; RAC3; SRC3; pCIP; AIB-1; CTG26; SRC-3; CAGH16; KAT13B; TNRC14; TNRC16; TRAM-1; bHLHe42
NCBI Protein Information
nuclear receptor coactivator 3; CBP-interacting protein; receptor-associated coactivator 3; amplified in breast cancer 1 protein; steroid receptor coactivator protein 3; class E basic helix-loop-helix protein 42; thyroid hormone receptor activator molecul
UniProt Protein Name
Nuclear receptor coactivator 3
UniProt Gene Name
NCOA3
UniProt Synonym Gene Names
AIB1; BHLHE42; RAC3; TRAM1; NCoA-3; AIB-1; pCIP; bHLHe42; RAC-3; SRC-3; TRAM-1
UniProt Entry Name
NCOA3_HUMAN
Customer Reviews
Loading reviews...
Share Your Experience
Similar Products
Product Notes
The NCoA-3 ncoa3 (Catalog #AAA319044) is an Antibody produced from Rabbit and is intended for research purposes only. The product is available for immediate purchase. The NCoA-3 Rabbit Polyclonal Antibody reacts with Human, Mouse, Rat and may cross-react with other species as described in the data sheet. AAA Biotech's NCoA-3 can be used in a range of immunoassay formats including, but not limited to, ELISA, IF (Immunofluorescence), IHC (Immunohistochemistry), WB (Western Blot). Researchers should empirically determine the suitability of the NCoA-3 ncoa3 for an application not listed in the data sheet. Researchers commonly develop new applications and it is an integral, important part of the investigative research process. It is sometimes possible for the material contained within the vial of "NCoA-3, Polyclonal Antibody" to become dispersed throughout the inside of the vial, particularly around the seal of said vial, during shipment and storage. We always suggest centrifuging these vials to consolidate all of the liquid away from the lid and to the bottom of the vial prior to opening. Please be advised that certain products may require dry ice for shipping and that, if this is the case, an additional dry ice fee may also be required.Precautions
All products in the AAA Biotech catalog are strictly for research-use only, and are absolutely not suitable for use in any sort of medical, therapeutic, prophylactic, in-vivo, or diagnostic capacity. By purchasing a product from AAA Biotech, you are explicitly certifying that said products will be properly tested and used in line with industry standard. AAA Biotech and its authorized distribution partners reserve the right to refuse to fulfill any order if we have any indication that a purchaser may be intending to use a product outside of our accepted criteria.Disclaimer
Though we do strive to guarantee the information represented in this datasheet, AAA Biotech cannot be held responsible for any oversights or imprecisions. AAA Biotech reserves the right to adjust any aspect of this datasheet at any time and without notice. It is the responsibility of the customer to inform AAA Biotech of any product performance issues observed or experienced within 30 days of receipt of said product. To see additional details on this or any of our other policies, please see our Terms & Conditions page.Item has been added to Shopping Cart
If you are ready to order, navigate to Shopping Cart and get ready to checkout.
