Rabbit NCR3 Polyclonal Antibody | anti-NCR3 antibody
NCR3 Polyclonal Antibody
Gene Names
NCR3; 1C7; MALS; CD337; LY117; NKp30
Reactivity
Human, Mouse, Rat
Applications
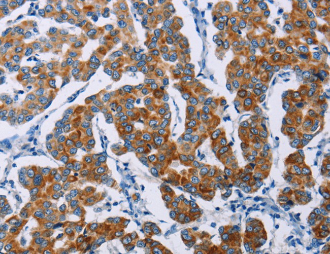
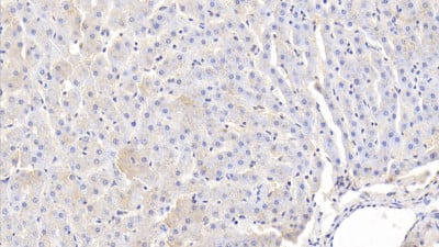
Immunohistochemistry, ELISA
Purity
Antigen affinity purification
Synonyms
NCR3, Antibody; NCR3 Polyclonal Antibody; 1C7; MALS; CD337; LY117; NKp30; anti-NCR3 antibody
Host
Rabbit
Reactivity
Human, Mouse, Rat
Clonality
Polyclonal
Isotype
IgG
Purity/Purification
Antigen affinity purification
Concentration
1.8mg/mL (varies by lot)
Sequence Length
190
Applicable Applications for anti-NCR3 antibody
IHC (Immunohistochemistry), ELISA
Immunogen
Recombinant protein of human NCR3
Buffer
PBS with 0.05% sodium azide, 50% glycerol, pH7.3
Preparation and Storage
Store at -20 degree C (regular) and -80 degree C (long term). Avoid freeze / thaw cycles.
Related Product Information for anti-NCR3 antibody
The protein encoded by this gene is a natural cytotoxicity receptor (NCR) that may aid NK cells in the lysis of tumor cells. The encoded protein interacts with CD3-zeta (CD247), a T-cell receptor. A single nucleotide polymorphism in the 5' untranslated region of this gene has been associated with mild malaria suceptibility. Three transcript variants encoding different isoforms have been found for this gene.
Product Categories/Family for anti-NCR3 antibody
NCBI and Uniprot Product Information
NCBI GI #
NCBI GeneID
NCBI Accession #
NCBI GenBank Nucleotide #
Molecular Weight
16,393 Da
NCBI Official Full Name
natural cytotoxicity triggering receptor 3 isoform c
NCBI Official Synonym Full Names
natural cytotoxicity triggering receptor 3
NCBI Official Symbol
NCR3
NCBI Official Synonym Symbols
1C7; MALS; CD337; LY117; NKp30
NCBI Protein Information
natural cytotoxicity triggering receptor 3; NK-p30; activating NK-A1 receptor; activating natural killer receptor p30; lymphocyte antigen 117; natural killer cell p30-related protein
UniProt Protein Name
Natural cytotoxicity triggering receptor 3
UniProt Gene Name
NCR3
UniProt Synonym Gene Names
1C7; LY117; NK-p30; NKp30
UniProt Entry Name
NCTR3_HUMAN
Customer Reviews
Loading reviews...
Share Your Experience
Similar Products
Product Notes
The NCR3 ncr3 (Catalog #AAA167817) is an Antibody produced from Rabbit and is intended for research purposes only. The product is available for immediate purchase. The NCR3 Polyclonal Antibody reacts with Human, Mouse, Rat and may cross-react with other species as described in the data sheet. AAA Biotech's NCR3 can be used in a range of immunoassay formats including, but not limited to, IHC (Immunohistochemistry), ELISA. Researchers should empirically determine the suitability of the NCR3 ncr3 for an application not listed in the data sheet. Researchers commonly develop new applications and it is an integral, important part of the investigative research process. It is sometimes possible for the material contained within the vial of "NCR3, Polyclonal Antibody" to become dispersed throughout the inside of the vial, particularly around the seal of said vial, during shipment and storage. We always suggest centrifuging these vials to consolidate all of the liquid away from the lid and to the bottom of the vial prior to opening. Please be advised that certain products may require dry ice for shipping and that, if this is the case, an additional dry ice fee may also be required.Precautions
All products in the AAA Biotech catalog are strictly for research-use only, and are absolutely not suitable for use in any sort of medical, therapeutic, prophylactic, in-vivo, or diagnostic capacity. By purchasing a product from AAA Biotech, you are explicitly certifying that said products will be properly tested and used in line with industry standard. AAA Biotech and its authorized distribution partners reserve the right to refuse to fulfill any order if we have any indication that a purchaser may be intending to use a product outside of our accepted criteria.Disclaimer
Though we do strive to guarantee the information represented in this datasheet, AAA Biotech cannot be held responsible for any oversights or imprecisions. AAA Biotech reserves the right to adjust any aspect of this datasheet at any time and without notice. It is the responsibility of the customer to inform AAA Biotech of any product performance issues observed or experienced within 30 days of receipt of said product. To see additional details on this or any of our other policies, please see our Terms & Conditions page.Item has been added to Shopping Cart
If you are ready to order, navigate to Shopping Cart and get ready to checkout.
