Rabbit NDC80 Polyclonal Antibody | anti-NDC80 antibody
NDC80 Antibody
Phosphate buffered saline, pH 7.4, 150mM NaCl, 0.02% sodium azide and 50% glycerol.
WB (Western Blot)
(Western blot analysis of K562 whole cell lysates, using NDC80 Antibody. The lane on the left is treated with the antigen-specific peptide.)
IF (Immunofluorescence)
(AAA327030 staining Hela cells by IF/ICC. The sample were fixed with PFA and permeabilized in 0.1% Triton X-100, then blocked in 10% serum for 45 minutes at 25 degree C. The primary antibody was diluted at 1/200 and incubated with the sample for 1 hour at 37 degree C. An Alexa Fluor 594 conjugated goat anti-rabbit IgG (H+L) antibody, diluted at 1/600, was used as secondary antibody.)
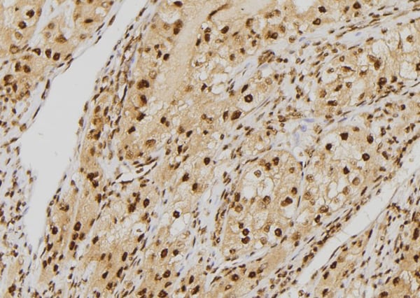
IHC (Immunohistochemistry)
(AAA327030 at 1/100 staining Human kidney tissue by IHC-P. The sample was formaldehyde fixed and a heat mediated antigen retrieval step in citrate buffer was performed. The sample was then blocked and incubated with the antibody for 1.5 hours at 22 degree C. An HRP conjugated goat anti-rabbit antibody was used as the secondary.)
Function: Acts as a component of the essential kinetochore-associated NDC80 complex, which is required for chromosome segregation and spindle checkpoint activity (PubMed:9315664, PubMed:12351790, PubMed:14654001, PubMed:14699129, PubMed:15062103, PubMed:15235793, PubMed:15239953, PubMed:15548592, PubMed:16732327). Required for kinetochore integrity and the organization of stable microtubule binding sites in the outer plate of the kinetochore (PubMed:15548592). The NDC80 complex synergistically enhances the affinity of the SKA1 complex for microtubules and may allow the NDC80 complex to track depolymerizing microtubules (PubMed:23085020). Plays a role in chromosome congression and is essential for the end-on attachment of the kinetochores to spindle microtubules (PubMed:25743205, PubMed:23891108).
Subunit Structure: Component of the NDC80 complex, which consists of NDC80/HEC1, CDCA1, SPBC24 and SPBC25. The NDC80 complex is formed by two subcomplexes composed of NDC80/HEC1-CDCA1 and SPBC24-SPBC25. Each subcomplex is formed by parallel interactions through the coiled-coil domains of individual subunits. Formation of a tetrameric complex is mediated by interactions between the C-terminal regions of both subunits of the NDC80/HEC1-CDCA1 subcomplex and the N-terminal regions of both subunits of the SPBC24-SPBC25 complex. The tetrameric NDC80 complex has an elongated rod-like structure with globular domains at either end. Interacts with isoform 1 of NEK2 and ZWINT specifically during mitosis. Interacts with CENPH and MIS12. May interact with AURKB, PSMC2, PSMC5 and SMC1A. May interact with RB1 during G2 phase and mitosis. Interacts with CKAP5 (PubMed:27156448). Interacts with CDT1; leading to kinetochore localization of CDT1 (PubMed:22581055).
Post-translational Modifications: Phosphorylation begins in S phase of the cell cycle and peaks in mitosis. Phosphorylated by NEK2. May also be phosphorylated by AURKA and AURKB.
Similarity: Belongs to the NDC80/HEC1 family.
NCBI and Uniprot Product Information
Predicted: 74 kDa
Customer Reviews
Loading reviews...
Share Your Experience
Similar Products
Product Notes
The NDC80 ndc80 (Catalog #AAA327030) is an Antibody produced from Rabbit and is intended for research purposes only. The product is available for immediate purchase. The NDC80 Antibody reacts with Human, Mouse, Rat and may cross-react with other species as described in the data sheet. AAA Biotech's NDC80 can be used in a range of immunoassay formats including, but not limited to, ELISA, ICC (Immunocytochemistry), IF (Immunofluorescence), IHC (Immunohistochemistry), WB (Western Blot). Researchers should empirically determine the suitability of the NDC80 ndc80 for an application not listed in the data sheet. Researchers commonly develop new applications and it is an integral, important part of the investigative research process. It is sometimes possible for the material contained within the vial of "NDC80, Polyclonal Antibody" to become dispersed throughout the inside of the vial, particularly around the seal of said vial, during shipment and storage. We always suggest centrifuging these vials to consolidate all of the liquid away from the lid and to the bottom of the vial prior to opening. Please be advised that certain products may require dry ice for shipping and that, if this is the case, an additional dry ice fee may also be required.Precautions
All products in the AAA Biotech catalog are strictly for research-use only, and are absolutely not suitable for use in any sort of medical, therapeutic, prophylactic, in-vivo, or diagnostic capacity. By purchasing a product from AAA Biotech, you are explicitly certifying that said products will be properly tested and used in line with industry standard. AAA Biotech and its authorized distribution partners reserve the right to refuse to fulfill any order if we have any indication that a purchaser may be intending to use a product outside of our accepted criteria.Disclaimer
Though we do strive to guarantee the information represented in this datasheet, AAA Biotech cannot be held responsible for any oversights or imprecisions. AAA Biotech reserves the right to adjust any aspect of this datasheet at any time and without notice. It is the responsibility of the customer to inform AAA Biotech of any product performance issues observed or experienced within 30 days of receipt of said product. To see additional details on this or any of our other policies, please see our Terms & Conditions page.Item has been added to Shopping Cart
If you are ready to order, navigate to Shopping Cart and get ready to checkout.
