Rabbit anti-Human NEK4 Polyclonal Antibody | anti-NEK4 antibody
NEK4 Antibody
Gene Names
NEK4; NRK2; STK2; pp12301
Reactivity
Human
Applications
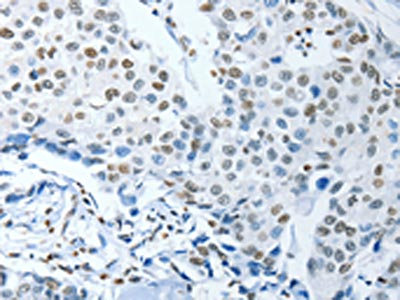
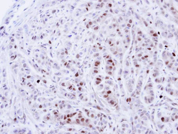
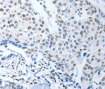
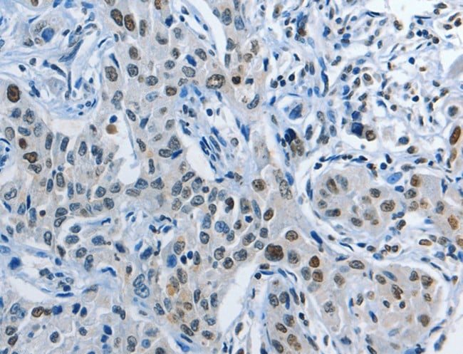
Immunohistochemistry
Purity
Antigen affinity purification.
Synonyms
NEK4, Antibody; NEK4 Antibody; NRK2; STK2; pp12301; anti-NEK4 antibody
Host
Rabbit
Reactivity
Human
Clonality
Polyclonal
Specificity
The antibody detects endogenous levels of total NEK4 protein.
Purity/Purification
Antigen affinity purification.
Form/Format
Rabbit IgG in pH7.3 PBS, 0.05% NaN3, 50% Glycerol.
Concentration
0.9 mg/ml (varies by lot)
Sequence Length
752
Applicable Applications for anti-NEK4 antibody
IHC (Immunohistochemistry)
Immunogen Type
Peptide
Immunogen Description
Synthetic peptide corresponding to a region derived from internal residues of human NIMA-related kinase 4
Target Name
NEK4
Preparation and Storage
Store at -20 degree C
Related Product Information for anti-NEK4 antibody
NIMA was originally shown in Aspergillus nidulans to be necessary for entry into mitosis. NIMA-related mammalian proteins have since been identified as Nek1, Nek2, Nek3 and Nek4 (also designated STK2 or NRK2). High expression of Nek1 is seen in male and female germ cell lines of mouse. Nek2 is the closest known mammalian relative to NIMA. Like NIMA, Nek2 expression peaks at the G2 to M phase transition. Nek3 is a predominantly cytoplasmic enzyme that was detectable in all organs studied. Levels of Nek3 seem to remain unchanged throughout the cell cycle, but appear to be elevated in G0-arrested, quiescent fibroblasts. In developing testicular germ cells, differential patterns of expression were seen for Nek1, Nek2 and Nek4, indicating possible overlapping, but non-identical functions.
Product Categories/Family for anti-NEK4 antibody
NCBI and Uniprot Product Information
NCBI GI #
NCBI GeneID
NCBI Accession #
NCBI GenBank Nucleotide #
Molecular Weight
84,348 Da
NCBI Official Full Name
serine/threonine-protein kinase Nek4 isoform 2
NCBI Official Synonym Full Names
NIMA-related kinase 4
NCBI Official Symbol
NEK4
NCBI Official Synonym Symbols
NRK2; STK2; pp12301
NCBI Protein Information
serine/threonine-protein kinase Nek4
UniProt Protein Name
Serine/threonine-protein kinase Nek4
UniProt Gene Name
NEK4
UniProt Synonym Gene Names
STK2; NimA-related protein kinase 4
UniProt Entry Name
NEK4_HUMAN
Customer Reviews
Loading reviews...
Share Your Experience
Similar Products
Product Notes
The NEK4 nek4 (Catalog #AAA306833) is an Antibody produced from Rabbit and is intended for research purposes only. The product is available for immediate purchase. The NEK4 Antibody reacts with Human and may cross-react with other species as described in the data sheet. AAA Biotech's NEK4 can be used in a range of immunoassay formats including, but not limited to, IHC (Immunohistochemistry). Researchers should empirically determine the suitability of the NEK4 nek4 for an application not listed in the data sheet. Researchers commonly develop new applications and it is an integral, important part of the investigative research process. It is sometimes possible for the material contained within the vial of "NEK4, Polyclonal Antibody" to become dispersed throughout the inside of the vial, particularly around the seal of said vial, during shipment and storage. We always suggest centrifuging these vials to consolidate all of the liquid away from the lid and to the bottom of the vial prior to opening. Please be advised that certain products may require dry ice for shipping and that, if this is the case, an additional dry ice fee may also be required.Precautions
All products in the AAA Biotech catalog are strictly for research-use only, and are absolutely not suitable for use in any sort of medical, therapeutic, prophylactic, in-vivo, or diagnostic capacity. By purchasing a product from AAA Biotech, you are explicitly certifying that said products will be properly tested and used in line with industry standard. AAA Biotech and its authorized distribution partners reserve the right to refuse to fulfill any order if we have any indication that a purchaser may be intending to use a product outside of our accepted criteria.Disclaimer
Though we do strive to guarantee the information represented in this datasheet, AAA Biotech cannot be held responsible for any oversights or imprecisions. AAA Biotech reserves the right to adjust any aspect of this datasheet at any time and without notice. It is the responsibility of the customer to inform AAA Biotech of any product performance issues observed or experienced within 30 days of receipt of said product. To see additional details on this or any of our other policies, please see our Terms & Conditions page.Item has been added to Shopping Cart
If you are ready to order, navigate to Shopping Cart and get ready to checkout.
