Host
Rabbit
Reactivity
Human
Clonality
Polyclonal
Specificity
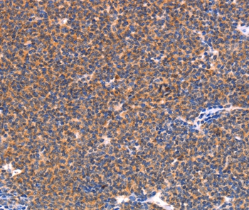
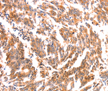
The antibody detects endogenous levels of total NES protein.
Purity/Purification
Antigen affinity purification.
Form/Format
Rabbit IgG in pH7.3 PBS, 0.05% NaN3, 50% Glycerol.
Concentration
1.2 mg/ml (varies by lot)
Sequence Length
1621
Applicable Applications for anti-NES antibody
IHC (Immunohistochemistry)
Immunogen Type
Peptide
Immunogen Description
Synthetic peptide corresponding to residues near the C terminal of human nestin
Target Name
NES
Preparation and Storage
Store at -20 degree C
Related Product Information for anti-NES antibody
Nestin is a type IV intermediate filament protein expressed by neuroepithelial stem cells and which has been proposed to represent a marker for putative islet stem cells. It is a high molecular weight protein with a terminus greater than 500 residues. Nestins are expressed by several types of cells during development, mostly in dividing cells of the Central Nervous System, Peripheral Nervous System and myogenic tissues. It also represents the progenitor population of neural stem cell origin. The role of nestin in dynamic cells, particularly structural organization of the cell, appears strictly regulated by phosphorylation, especially its integration into heterogeneous intermediate filaments together with vimentin or internexin. Nestin has recently received attention as a marker for detecting newly formed endothelial cells.
Product Categories/Family for anti-NES antibody
NCBI and Uniprot Product Information
NCBI GI #
NCBI GeneID
NCBI Accession #
NCBI GenBank Nucleotide #
Molecular Weight
177,439 Da
NCBI Official Full Name
nestin
NCBI Official Synonym Full Names
nestin
NCBI Official Symbol
NES
NCBI Official Synonym Symbols
Nbla00170
NCBI Protein Information
nestin
UniProt Protein Name
Nestin
UniProt Gene Name
NES
UniProt Entry Name
NEST_HUMAN
Customer Reviews
Loading reviews...
Share Your Experience
Similar Products
Product Notes
The NES nes (Catalog #AAA305854) is an Antibody produced from Rabbit and is intended for research purposes only. The product is available for immediate purchase. The NES Antibody reacts with Human and may cross-react with other species as described in the data sheet. AAA Biotech's NES can be used in a range of immunoassay formats including, but not limited to, IHC (Immunohistochemistry). Researchers should empirically determine the suitability of the NES nes for an application not listed in the data sheet. Researchers commonly develop new applications and it is an integral, important part of the investigative research process. It is sometimes possible for the material contained within the vial of "NES, Polyclonal Antibody" to become dispersed throughout the inside of the vial, particularly around the seal of said vial, during shipment and storage. We always suggest centrifuging these vials to consolidate all of the liquid away from the lid and to the bottom of the vial prior to opening. Please be advised that certain products may require dry ice for shipping and that, if this is the case, an additional dry ice fee may also be required.Precautions
All products in the AAA Biotech catalog are strictly for research-use only, and are absolutely not suitable for use in any sort of medical, therapeutic, prophylactic, in-vivo, or diagnostic capacity. By purchasing a product from AAA Biotech, you are explicitly certifying that said products will be properly tested and used in line with industry standard. AAA Biotech and its authorized distribution partners reserve the right to refuse to fulfill any order if we have any indication that a purchaser may be intending to use a product outside of our accepted criteria.Disclaimer
Though we do strive to guarantee the information represented in this datasheet, AAA Biotech cannot be held responsible for any oversights or imprecisions. AAA Biotech reserves the right to adjust any aspect of this datasheet at any time and without notice. It is the responsibility of the customer to inform AAA Biotech of any product performance issues observed or experienced within 30 days of receipt of said product. To see additional details on this or any of our other policies, please see our Terms & Conditions page.Item has been added to Shopping Cart
If you are ready to order, navigate to Shopping Cart and get ready to checkout.
