Rabbit NEU1 Polyclonal Antibody | anti-NEU1 antibody
NEU1 antibody
Gene Names
NEU1; NEU; NANH; SIAL1
Reactivity
Human, Mouse, Rat
Applications
Immunohistochemistry, Western Blot
Purity
Affinity purification
Synonyms
NEU1, Antibody; NEU1 antibody; NEU; NANH; SIAL1; anti-NEU1 antibody
Host
Rabbit
Reactivity
Human, Mouse, Rat
Clonality
Polyclonal
Isotype
IgG
Specificity
The antibody detects endogenous level of total NEU1 antibody.
Purity/Purification
Affinity purification
Form/Format
PBS with 0.02% sodium azide, 50% glycerol, pH7.3.
Concentration
1.2 mg/ml (varies by lot)
Sequence Length
415
Applicable Applications for anti-NEU1 antibody
IHC (Immunohistochemistry), WB (Western Blot)
Immunogen Type
Recombinant Protein
Immunogen Description
Recombinant protein of human NEU1.
Target Name
NEU1
Preparation and Storage
Store at -20°C. Avoid freeze / thaw cycles.
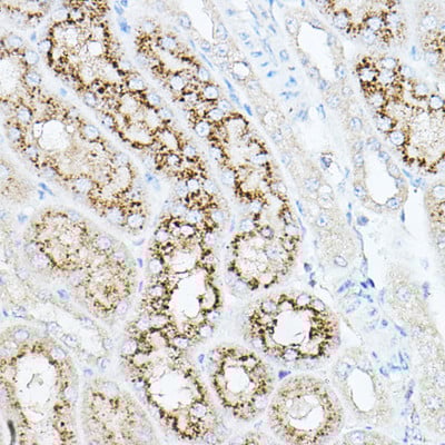
IHC (Immunohiostchemistry)
(Immunohistochemistry of paraffin-embedded mouse kidney using NEU1 Rabbit pAb.)
Related Product Information for anti-NEU1 antibody
The protein encoded by this gene is a lysosomal enzyme that cleaves terminal sialic acid residues from substrates such as glycoproteins and glycolipids. In the lysosome, this enzyme is part of a heterotrimeric complex together with beta-galactosidase and cathepsin A (the latter is also referred to as 'protective protein'). Mutations in this gene can lead to sialidosis, a lysosomal storage disease that can be type 1 (cherry red spot-myoclonus syndrome or normosomatic type), which is late-onset, or type 2 (the dysmorphic type), which occurs at an earlier age with increased severity.
Product Categories/Family for anti-NEU1 antibody
NCBI and Uniprot Product Information
NCBI GI #
NCBI GeneID
NCBI Accession #
NCBI GenBank Nucleotide #
UniProt Accession #
Molecular Weight
45kDa
NCBI Official Full Name
sialidase-1
NCBI Official Synonym Full Names
sialidase 1 (lysosomal sialidase)
NCBI Official Symbol
NEU1
NCBI Official Synonym Symbols
NEU; NANH; SIAL1
NCBI Protein Information
sialidase-1
UniProt Protein Name
Sialidase-1
UniProt Gene Name
NEU1
UniProt Synonym Gene Names
NANH
UniProt Entry Name
NEUR1_HUMAN
Customer Reviews
Loading reviews...
Share Your Experience
Similar Products
Product Notes
The NEU1 neu1 (Catalog #AAA303696) is an Antibody produced from Rabbit and is intended for research purposes only. The product is available for immediate purchase. The NEU1 antibody reacts with Human, Mouse, Rat and may cross-react with other species as described in the data sheet. AAA Biotech's NEU1 can be used in a range of immunoassay formats including, but not limited to, IHC (Immunohistochemistry), WB (Western Blot). Researchers should empirically determine the suitability of the NEU1 neu1 for an application not listed in the data sheet. Researchers commonly develop new applications and it is an integral, important part of the investigative research process. It is sometimes possible for the material contained within the vial of "NEU1, Polyclonal Antibody" to become dispersed throughout the inside of the vial, particularly around the seal of said vial, during shipment and storage. We always suggest centrifuging these vials to consolidate all of the liquid away from the lid and to the bottom of the vial prior to opening. Please be advised that certain products may require dry ice for shipping and that, if this is the case, an additional dry ice fee may also be required.Precautions
All products in the AAA Biotech catalog are strictly for research-use only, and are absolutely not suitable for use in any sort of medical, therapeutic, prophylactic, in-vivo, or diagnostic capacity. By purchasing a product from AAA Biotech, you are explicitly certifying that said products will be properly tested and used in line with industry standard. AAA Biotech and its authorized distribution partners reserve the right to refuse to fulfill any order if we have any indication that a purchaser may be intending to use a product outside of our accepted criteria.Disclaimer
Though we do strive to guarantee the information represented in this datasheet, AAA Biotech cannot be held responsible for any oversights or imprecisions. AAA Biotech reserves the right to adjust any aspect of this datasheet at any time and without notice. It is the responsibility of the customer to inform AAA Biotech of any product performance issues observed or experienced within 30 days of receipt of said product. To see additional details on this or any of our other policies, please see our Terms & Conditions page.Item has been added to Shopping Cart
If you are ready to order, navigate to Shopping Cart and get ready to checkout.
