Rabbit anti-Human NEU2 Polyclonal Antibody | anti-NEU2 antibody
NEU2 Antibody (N-term)
IHC-P-Leica~~1:250
IF~~1:10~50
FC~~1:10~50
FCM (Flow Cytometry)
(NEU2 Antibody (N-term) (AAA28671) flow cytometric analysis of A549 cells (right histogram) compared to a negative control cell (left histogram).FITC-conjugated goat-anti-rabbit secondary antibodies were used for the analysis.)
IF (Immunofluorescence)
(Confocal immunofluorescent analysis of NEU2 Antibody (N-term) (AAA28671) with A549 cell followed by Alexa Fluor 488-conjugated goat anti-rabbit lgG (green). Actin filamentshave been labeled with Alexa Fluor 555 phalloidin (red). DAPI was used to stain the cell nuclear (blue).)
WB (Western Blot)
(NEU2 Antibody (N-term) (AAA28671) western blot analysis in A549 cell line lysates (35ug/lane).This demonstrates the NEU2 antibody detected the NEU2 protein (arrow).)
WB (Western Blot)
(Anti-NEU2 Antibody (N-term) at 1:1000 dilution + human fetal liver lysate Lysates/proteins at 20 µg per lane. Secondary Goat Anti-Rabbit IgG, (H+L), Peroxidase conjugated at 1/10000 dilution. Predicted band size : 42 kDa Blocking/Dilution buffer: 5% NFDM/TBST.)
WB (Western Blot)
(Anti-NEU2 Antibody (N-term) at 1:2000 dilution + Human heart tissue lysate Lysates/proteins at 20 µg per lane. Secondary Goat Anti-Rabbit IgG, (H+L), Peroxidase conjugated at 1/10000 dilution. Predicted band size : 42 kDa Blocking/Dilution buffer: 5% NFDM/TBST.)
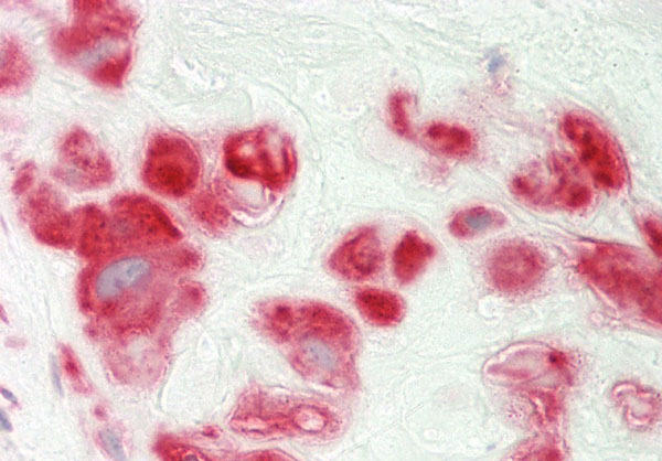
IHC (Immunohistochemistry)
(Immunohistochemical analysis of AAA28671 on paraffin-embedded human skeletal muscle tissue was performed on the Leica® BOND RXm. Tissue was fixed with formaldehyde at room temperature. Heat induced epitope retrieval was performed by EDTA buffer (pH9. 0). Samples were incubated with primary antibody (1:250) for 15min at room temperature. Leica Bond Polymer Refine Detection was used as the secondary antibody.)
IHC (Immunohistochemistry)
(Immunohistochemical analysis of AAA28671 on paraffin-embedded human kidney tissue was performed on the Leica® BOND RXm. Tissue was fixed with formaldehyde at room temperature. Heat induced epitope retrieval was performed by EDTA buffer (pH9. 0). Samples were incubated with primary antibody (1:250) for 15min at room temperature. Leica Bond Polymer Refine Detection was used as the secondary antibody.)
which remove sialic acid residues from glycoproteins and
glycolipids. Expression studies in COS7 cells confirmed that this
gene encodes a functional sialidase. Its cytosolic localization was
demonstrated by cell fractionation experiments. [provided by
RefSeq].
Li, C.Y., et al. Cell Res. 17(4):357-362(2007)
Chavas, L.M., et al. J. Biol. Chem. 280(1):469-475(2005)
Seyrantepe, V., et al. J. Biol. Chem. 279(35):37021-37029(2004)
Tringali, C., et al. J. Biol. Chem. 279(5):3169-3179(2004)
NCBI and Uniprot Product Information
Customer Reviews
Loading reviews...
Share Your Experience
Similar Products
Product Notes
The NEU2 neu2 (Catalog #AAA28671) is an Antibody produced from Rabbit and is intended for research purposes only. The product is available for immediate purchase. The immunogen sequence is 23-50. The NEU2 Antibody (N-term) reacts with Human and may cross-react with other species as described in the data sheet. AAA Biotech's NEU2 can be used in a range of immunoassay formats including, but not limited to, WB (Western Blot), ELISA, IHC (Immunohistochemistry), IF (Immunofluorescence), FCM/FACS (Flow Cytometry). WB~~1:1000 IHC-P-Leica~~1:250 IF~~1:10~50 FC~~1:10~50. Researchers should empirically determine the suitability of the NEU2 neu2 for an application not listed in the data sheet. Researchers commonly develop new applications and it is an integral, important part of the investigative research process. It is sometimes possible for the material contained within the vial of "NEU2, Polyclonal Antibody" to become dispersed throughout the inside of the vial, particularly around the seal of said vial, during shipment and storage. We always suggest centrifuging these vials to consolidate all of the liquid away from the lid and to the bottom of the vial prior to opening. Please be advised that certain products may require dry ice for shipping and that, if this is the case, an additional dry ice fee may also be required.Precautions
All products in the AAA Biotech catalog are strictly for research-use only, and are absolutely not suitable for use in any sort of medical, therapeutic, prophylactic, in-vivo, or diagnostic capacity. By purchasing a product from AAA Biotech, you are explicitly certifying that said products will be properly tested and used in line with industry standard. AAA Biotech and its authorized distribution partners reserve the right to refuse to fulfill any order if we have any indication that a purchaser may be intending to use a product outside of our accepted criteria.Disclaimer
Though we do strive to guarantee the information represented in this datasheet, AAA Biotech cannot be held responsible for any oversights or imprecisions. AAA Biotech reserves the right to adjust any aspect of this datasheet at any time and without notice. It is the responsibility of the customer to inform AAA Biotech of any product performance issues observed or experienced within 30 days of receipt of said product. To see additional details on this or any of our other policies, please see our Terms & Conditions page.Item has been added to Shopping Cart
If you are ready to order, navigate to Shopping Cart and get ready to checkout.
