Rabbit anti-Human NeuroD1 Polyclonal Antibody | anti-NEUROD1 antibody
NeuroD1 Antibody (N-term)
IF (Immunofluorescence)
(ES cells were transiently transfected with DYKDDDDK-tagged mouse NeuroD1 (tagged on N-term).Fixed 24h post transfection.Stained for DYKDDDDK tag (red) to check that some cells express protein. Most protein was in nucleus but some was cytoplasmic. Stained with NeuroD1 N-term antibodies at 1:100. NeuroD1 N-term antibody showed strong and clear staining with similar pattern to the DYKDDDDK staining.(Supplied by Sally Lowell,Edinburgh University))
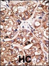
IHC (Immunohistochemisry)
(Formalin-fixed and paraffin-embedded human cancer tissue reacted with the primary antibody, which was peroxidase-conjugated to the secondary antibody, followed by DAB staining. This data demonstrates the use of this antibody for immunohistochemistry; clinical relevance has not been evaluated. BC = breast carcinoma; HC = hepatocarcinoma.)
IF (Immunofluorescence)
(Fluorescent confocal image of HepG2 cell stained with hNeuroD1-Q30. HepG2 cells were fixed with 4% PFA (20 min), permeabilized with Triton X-100 (0.1%, 10 min), then incubated with hNeuroD1-Q30 primary antibody (1:25, 1 h at 37 degree). For secondary antibody, Alexa Fluor 488 conjugated donkey anti-rabbit antibody (green) was used (1:400, 50 min at 37 degree).Cytoplasmic actin was counterstained with Alexa Fluor 555 (red) conjugated Phalloidin (7units/ml, 1 h at 37 degree). Nuclei were counterstained with DAPI (blue) (10 ug/ml, 10 min).hNeuroD1-Q30 immunoreactivity is localized to vesicles significantly.)
WB (Western Blot)
(Western blot analysis of hNeuroD1-Q30 in HepG2 cell line lysates (35ug/lane). NEUROD1 (arrow) was detected using the purified Pab.)
Malecki, M.T., et al., Acta Diabetol 40(2):109-111 (2003).
Cinek, O., et al., Diabetes Res. Clin. Pract. 60(1):49-56 (2003).
Ye, L., et al., Zhonghua Yi Xue Yi Chuan Xue Za Zhi 19(6):484-487 (2002).
Kanatsuka, A., et al., Metab. Clin. Exp. 51(9):1161-1165 (2002).
NCBI and Uniprot Product Information
Customer Reviews
Loading reviews...
Share Your Experience
Similar Products
Product Notes
The NEUROD1 neurod1 (Catalog #AAA287428) is an Antibody produced from Rabbit and is intended for research purposes only. The product is available for immediate purchase. The immunogen sequence is 15-45. The NeuroD1 Antibody (N-term) reacts with Human and may cross-react with other species as described in the data sheet. AAA Biotech's NeuroD1 can be used in a range of immunoassay formats including, but not limited to, IHC (Immunohistochemistry), IF (Immunofluorescence), ELISA, WB (Western Blot). Researchers should empirically determine the suitability of the NEUROD1 neurod1 for an application not listed in the data sheet. Researchers commonly develop new applications and it is an integral, important part of the investigative research process. It is sometimes possible for the material contained within the vial of "NeuroD1, Polyclonal Antibody" to become dispersed throughout the inside of the vial, particularly around the seal of said vial, during shipment and storage. We always suggest centrifuging these vials to consolidate all of the liquid away from the lid and to the bottom of the vial prior to opening. Please be advised that certain products may require dry ice for shipping and that, if this is the case, an additional dry ice fee may also be required.Precautions
All products in the AAA Biotech catalog are strictly for research-use only, and are absolutely not suitable for use in any sort of medical, therapeutic, prophylactic, in-vivo, or diagnostic capacity. By purchasing a product from AAA Biotech, you are explicitly certifying that said products will be properly tested and used in line with industry standard. AAA Biotech and its authorized distribution partners reserve the right to refuse to fulfill any order if we have any indication that a purchaser may be intending to use a product outside of our accepted criteria.Disclaimer
Though we do strive to guarantee the information represented in this datasheet, AAA Biotech cannot be held responsible for any oversights or imprecisions. AAA Biotech reserves the right to adjust any aspect of this datasheet at any time and without notice. It is the responsibility of the customer to inform AAA Biotech of any product performance issues observed or experienced within 30 days of receipt of said product. To see additional details on this or any of our other policies, please see our Terms & Conditions page.Item has been added to Shopping Cart
If you are ready to order, navigate to Shopping Cart and get ready to checkout.
