Rabbit anti-Human NF kappaB p105/p50 Polyclonal Antibody | anti-NFKB1 antibody
Phospho-NF kappaB p105/p50 (Ser907) Antibody
Phosphate buffered saline, pH 7.4, 150mM NaCl, 0.02% sodium azide and 50% glycerol.
IF (Immunofluorescence)
(AAA321564 staining HeLa by IF/ICC. The sample were fixed with PFA and permeabilized in 0.1% Triton X-100, then blocked in 10% serum for 45 minutes at 25 degree C. The primary antibody was diluted at 1/200 and incubated with the sample for 1 hour at 37 degree C. An Alexa Fluor 594 conjugated goat anti-rabbit IgG (H+L) Ab, diluted at 1/600, was used as the secondary antibody.)
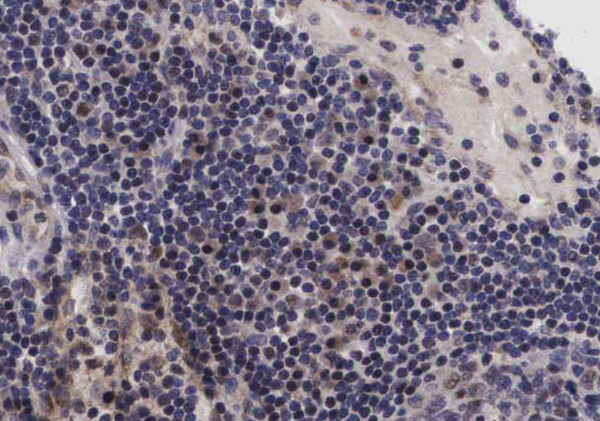
IHC (Immunohiostchemistry)
(AAA321564 at 1/200 staining human lymph nodes tissue sections by IHC-P. The tissue was formaldehyde fixed and a heat mediated antigen retrieval step in citrate buffer was performed. The tissue was then blocked and incubated with the antibody for 1.5 hours at 22 degree C. An HRP conjugated goat anti-rabbit antibody was used as the secondary.)
WB (Western Blot)
(Western blot analysis of NF kappaB p105/p50 phosphorylation expression in TNF-alpha treated HeLa whole cell lysates, The lane on the left is treated with the antigen-specific peptide.)
Function: NF-kappa-B is a pleiotropic transcription factor present in almost all cell types and is the endpoint of a series of signal transduction events that are initiated by a vast array of stimuli related to many biological processes such as inflammation, immunity, differentiation, cell growth, tumorigenesis and apoptosis. NF-kappa-B is a homo-or heterodimeric complex formed by the Rel-like domain-containing proteins RELA/p65, RELB, NFKB1/p105, NFKB1/p50, REL and NFKB2/p52 and the heterodimeric p65-p50 complex appears to be most abundant one. The dimers bind at kappa-B sites in the DNA of their target genes and the individual dimers have distinct preferences for different kappa-B sites that they can bind with distinguishable affinity and specificity. Different dimer combinations act as transcriptional activators or repressors, respectively. NF-kappa-B is controlled by various mechanisms of post-translational modification and subcellular compartmentalization as well as by interactions with other cofactors or corepressors. NF-kappa-B complexes are held in the cytoplasm in an inactive state complexed with members of the NF-kappa-B inhibitor (I-kappa-B) family. In a conventional activation pathway, I-kappa-B is phosphorylated by I-kappa-B kinases (IKKs) in response to different activators, subsequently degraded thus liberating the active NF-kappa-B complex which translocates to the nucleus. NF-kappa-B heterodimeric p65-p50 and RelB-p50 complexes are transcriptional activators. The NF-kappa-B p50-p50 homodimer is a transcriptional repressor, but can act as a transcriptional activator when associated with BCL3. NFKB1 appears to have dual functions such as cytoplasmic retention of attached NF-kappa-B proteins by p105 and generation of p50 by a cotranslational processing. The proteasome-mediated process ensures the production of both p50 and p105 and preserves their independent function, although processing of NFKB1/p105 also appears to occur post-translationally. p50 binds to the kappa-B consensus sequence 5'-GGRNNYYCC-3', located in the enhancer region of genes involved in immune response and acute phase reactions. In a complex with MAP3K8, NFKB1/p105 represses MAP3K8-induced MAPK signaling; active MAP3K8 is released by proteasome-dependent degradation of NFKB1/p105.
Subunit Structure: Component of the NF-kappa-B p65-p50 complex. Component of the NF-kappa-B p65-p50 complex. Homodimer; component of the NF-kappa-B p50-p50 complex. Component of the NF-kappa-B p105-p50 complex. Component of the NF-kappa-B p50-c-Rel complex. Component of a complex consisting of the NF-kappa-B p50-p50 homodimer and BCL3. Also interacts with MAP3K8. NF-kappa-B p50 subunit interacts with NCOA3 coactivator, which may coactivate NF-kappa-B dependent expression via its histone acetyltransferase activity. Interacts with DSIPI; this interaction prevents nuclear translocation and DNA-binding. Interacts with SPAG9 and UNC5CL. NFKB1/p105 interacts with CFLAR; the interaction inhibits p105 processing into p50. NFKB1/p105 forms a ternary complex with MAP3K8 and TNIP2. Interacts with GSK3B; the interaction prevents processing of p105 to p50. NFKB1/p50 interacts with NFKBIE. NFKB1/p50 interacts with NFKBIZ. Nuclear factor NF-kappa-B p50 subunit interacts with NFKBID (By similarity). Directly interacts with MEN1. Interacts with HIF1AN.
Post-translational Modifications: While translation occurs, the particular unfolded structure after the GRR repeat promotes the generation of p50 making it an acceptable substrate for the proteasome. This process is known as cotranslational processing. The processed form is active and the unprocessed form acts as an inhibitor (I kappa B-like), being able to form cytosolic complexes with NF-kappa B, trapping it in the cytoplasm. Complete folding of the region downstream of the GRR repeat precludes processing. Phosphorylation at 'Ser-903' and 'Ser-907' primes p105 for proteolytic processing in response to TNF-alpha stimulation. Phosphorylation at 'Ser-927' and 'Ser-932' are required for BTRC/BTRCP-mediated proteolysis. Polyubiquitination seems to allow p105 processing. S-nitrosylation of Cys-61 affects DNA binding. The covalent modification of cysteine by 15-deoxy-Delta12, 14-prostaglandin-J2 is autocatalytic and reversible. It may occur as an alternative to other cysteine modifications, such as S-nitrosylation and S-palmitoylation.
Similarity: The C-terminus of p105 might be involved in cytoplasmic retention, inhibition of DNA-binding, and transcription activation.Glycine-rich region (GRR) appears to be a critical element in the generation of p50.
NCBI and Uniprot Product Information
Predicted: 106 kDa
Customer Reviews
Loading reviews...
Share Your Experience
Similar Products
Product Notes
The NFKB1 nfkb1 (Catalog #AAA321564) is an Antibody produced from Rabbit and is intended for research purposes only. The product is available for immediate purchase. The Phospho-NF kappaB p105/p50 (Ser907) Antibody reacts with Human and may cross-react with other species as described in the data sheet. AAA Biotech's NF kappaB p105/p50 can be used in a range of immunoassay formats including, but not limited to, ELISA, IP (Immunoprecipitation), ICC (Immunocytochemistry), IF (Immunofluorescence), IHC (Immunohistochemistry), WB (Western Blot). Researchers should empirically determine the suitability of the NFKB1 nfkb1 for an application not listed in the data sheet. Researchers commonly develop new applications and it is an integral, important part of the investigative research process. It is sometimes possible for the material contained within the vial of "NF kappaB p105/p50, Polyclonal Antibody" to become dispersed throughout the inside of the vial, particularly around the seal of said vial, during shipment and storage. We always suggest centrifuging these vials to consolidate all of the liquid away from the lid and to the bottom of the vial prior to opening. Please be advised that certain products may require dry ice for shipping and that, if this is the case, an additional dry ice fee may also be required.Precautions
All products in the AAA Biotech catalog are strictly for research-use only, and are absolutely not suitable for use in any sort of medical, therapeutic, prophylactic, in-vivo, or diagnostic capacity. By purchasing a product from AAA Biotech, you are explicitly certifying that said products will be properly tested and used in line with industry standard. AAA Biotech and its authorized distribution partners reserve the right to refuse to fulfill any order if we have any indication that a purchaser may be intending to use a product outside of our accepted criteria.Disclaimer
Though we do strive to guarantee the information represented in this datasheet, AAA Biotech cannot be held responsible for any oversights or imprecisions. AAA Biotech reserves the right to adjust any aspect of this datasheet at any time and without notice. It is the responsibility of the customer to inform AAA Biotech of any product performance issues observed or experienced within 30 days of receipt of said product. To see additional details on this or any of our other policies, please see our Terms & Conditions page.Item has been added to Shopping Cart
If you are ready to order, navigate to Shopping Cart and get ready to checkout.
