Rabbit NFKB-p65 Polyclonal Antibody | anti-NFKB-p65 antibody
NFKB-p65 antibody
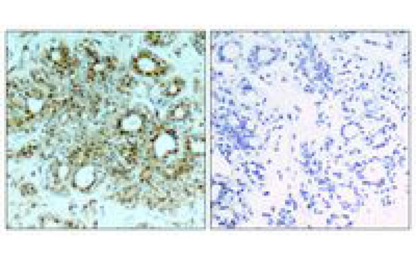
Applications
Western Blot, Immunohistochemistry
Purity
NFKB-p65 antibody was purified by immunoaffinity chromatography.
Synonyms
NFKB-p65, Antibody; NFKB-p65 antibody; Polyclonal NFKB-p65; Anti-NFKB-p65; Nuclear factor NF-kappa-B p65 subunit; NFKB; NFKB-p 65; Ab 311; NFKB-p-65; Phospho Thr254y; NF-kappaB; NFKB-p65; nfkb; NFkappaB; NF-kB; anti-NFKB-p65 antibody
Host
Rabbit
Clonality
Polyclonal
Purity/Purification
NFKB-p65 antibody was purified by immunoaffinity chromatography.
Form/Format
Supplied in liquid form in PBS buffer (no MG2+ or Ca2+), pH 7.4, 150 mm NaCl, 0.02% sodium azide and 50% glycerol.
Concentration
1 mg/ml (varies by lot)
Applicable Applications for anti-NFKB-p65 antibody
WB (Western Blot), IHC (Immunohistochemistry)
Biological Significance
NFkappaB was originally identified as a factor that binds to the immunoglobulin kappa light chain enhancer in B cells. It was subsequently found in non-B cells in an inactive cytoplasmic form consisting of NFkappaB bound to IkappaB. NFkappaB was originally identified as a heterodimeric DNA binding protein complex consisting of p65 (RelA) and p50 (NF kb1) subunits.
Cross-Reactivity
Human
Immunogen
NFKB-p65 antibody was raised in Rabbit using the peptide sequence around aa 309~313 (F-K-S-I-M) derived from Human NFKB-p65 as the immunogen.
Preparation and Storage
Store at 4 degree C for short term storage. Aliquot and store at -20 degree C for long term storage. Avoid repeated freeze/thaw cycles.
Related Product Information for anti-NFKB-p65 antibody
Rabbit polyclonal NFKB-p65 antibody
Product Categories/Family for anti-NFKB-p65 antibody
Customer Reviews
Loading reviews...
Share Your Experience
Similar Products
Product Notes
The NFKB-p65 (Catalog #AAA224326) is an Antibody produced from Rabbit and is intended for research purposes only. The product is available for immediate purchase. AAA Biotech's NFKB-p65 can be used in a range of immunoassay formats including, but not limited to, WB (Western Blot), IHC (Immunohistochemistry). Researchers should empirically determine the suitability of the NFKB-p65 for an application not listed in the data sheet. Researchers commonly develop new applications and it is an integral, important part of the investigative research process. It is sometimes possible for the material contained within the vial of "NFKB-p65, Polyclonal Antibody" to become dispersed throughout the inside of the vial, particularly around the seal of said vial, during shipment and storage. We always suggest centrifuging these vials to consolidate all of the liquid away from the lid and to the bottom of the vial prior to opening. Please be advised that certain products may require dry ice for shipping and that, if this is the case, an additional dry ice fee may also be required.Precautions
All products in the AAA Biotech catalog are strictly for research-use only, and are absolutely not suitable for use in any sort of medical, therapeutic, prophylactic, in-vivo, or diagnostic capacity. By purchasing a product from AAA Biotech, you are explicitly certifying that said products will be properly tested and used in line with industry standard. AAA Biotech and its authorized distribution partners reserve the right to refuse to fulfill any order if we have any indication that a purchaser may be intending to use a product outside of our accepted criteria.Disclaimer
Though we do strive to guarantee the information represented in this datasheet, AAA Biotech cannot be held responsible for any oversights or imprecisions. AAA Biotech reserves the right to adjust any aspect of this datasheet at any time and without notice. It is the responsibility of the customer to inform AAA Biotech of any product performance issues observed or experienced within 30 days of receipt of said product. To see additional details on this or any of our other policies, please see our Terms & Conditions page.Item has been added to Shopping Cart
If you are ready to order, navigate to Shopping Cart and get ready to checkout.
