Rabbit Niemann Pick C2/NPC2 Polyclonal Antibody | anti-NPC2 antibody
Anti-Niemann Pick C2/NPC2 Antibody
Gene Names
NPC2; HE1; EDDM1
Reactivity
Human, Mouse, Rat
Applications
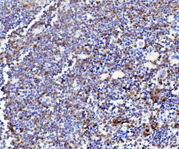
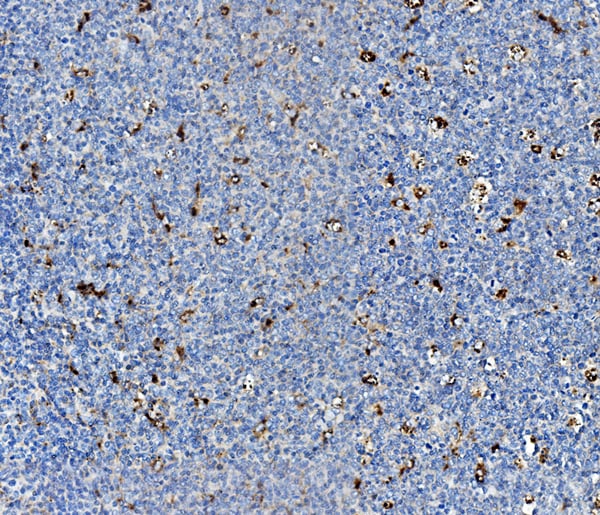
ELISA, Flow Cytometry, Functional Assay, Immunohistochemistry, Western Blot
Purity
Immunogen affinity purified.
Synonyms
Niemann Pick C2/NPC2, Antibody; Anti-Niemann Pick C2/NPC2 Antibody; NPC intracellular cholesterol transporter 2; Epididymal secretory protein E1; Human epididymis-specific protein 1; He1; Niemann-Pick disease type C2 protein; NPC2; HE1; anti-NPC2 antibody
Host
Rabbit
Reactivity
Human, Mouse, Rat
Clonality
Polyclonal
Isotype
IgG
Specificity
No cross reactivity with other proteins.
Purity/Purification
Immunogen affinity purified.
Form/Format
Lyophilized
Each vial contains 4mg Trehalose, 0.9mg NaCl, 0.2mg Na2HPO4, 0.05mg NaN3.
Each vial contains 4mg Trehalose, 0.9mg NaCl, 0.2mg Na2HPO4, 0.05mg NaN3.
Sequence Length
151
Applicable Applications for anti-NPC2 antibody
ELISA (Direct ELISA), FCM/FACS (Flow Cytometry), IHC (Immunohistochemistry), WB (Western Blot)
Immunogen
E Coli-derived human Niemann Pick C2/NPC2 recombinant protein (Position: E20-L151).
Reconstitution
Add 0.2ml of distilled water will yield a concentration of 500ug/ml.
Preparation and Storage
Store at -20 degree C for one year. After reconstitution, at 4 degree C for one month. It can also be aliquotted and stored frozen store at -20 degree C for a longer time. Avoid repeated freezing and thawing.
Related Product Information for anti-NPC2 antibody
Description: Rabbit IgG polyclonal antibody for Niemann Pick C2/NPC2 detection. Tested with WB, IHC-P, FCM, Direct ELISA in Human; Mouse; Rat.
Background: Epididymal secretory protein E1 (also called NPC intracellular cholesterol transporter 2, or NPC2) is a protein associated with Niemann-Pick disease, type C. It is mapped to 14q24.3. This gene encodes a protein containing a lipid recognition domain. The encoded protein may function in regulating the transport of cholesterol through the late endosomal/lysosomal system. Mutations in this gene have been associated with Niemann-Pick disease, type C2 and frontal lobe atrophy.
Background: Epididymal secretory protein E1 (also called NPC intracellular cholesterol transporter 2, or NPC2) is a protein associated with Niemann-Pick disease, type C. It is mapped to 14q24.3. This gene encodes a protein containing a lipid recognition domain. The encoded protein may function in regulating the transport of cholesterol through the late endosomal/lysosomal system. Mutations in this gene have been associated with Niemann-Pick disease, type C2 and frontal lobe atrophy.
References
1. Blom, T. S., Linder, M. D., Snow, K., Pihko, H., Hess, M. W., Jokitalo, E., Veckman, V., Syvanen, A.-C., Ikonen, E. Defective endocytic trafficking of NPC1 and NPC2 underlying infantile Niemann-Pick type C disease. Hum. Molec. Genet. 12: 257-272, 2003.
2. Sleat, D. E., Wiseman, J. A., El-Banna, M., Price, S. M., Verot, L., Shen, M. M., Tint, G. S., Vanier, M. T., Walkley, S. U., Lobel, P. Genetic evidence for nonredundant functional cooperativity between NPC1 and NPC2 in lipid transport. Proc. Nat. Acad. Sci. 101: 5886-5891, 2004.
3. Verot, L., Chikh, K., Freydiere, E., Honore, R., Vanier, M. T., Millat, G. Niemann-Pick C disease: functional characterization of three NPC2 mutations and clinical and molecular update on patients with NPC2. Clin. Genet. 71: 320-330, 2007.
2. Sleat, D. E., Wiseman, J. A., El-Banna, M., Price, S. M., Verot, L., Shen, M. M., Tint, G. S., Vanier, M. T., Walkley, S. U., Lobel, P. Genetic evidence for nonredundant functional cooperativity between NPC1 and NPC2 in lipid transport. Proc. Nat. Acad. Sci. 101: 5886-5891, 2004.
3. Verot, L., Chikh, K., Freydiere, E., Honore, R., Vanier, M. T., Millat, G. Niemann-Pick C disease: functional characterization of three NPC2 mutations and clinical and molecular update on patients with NPC2. Clin. Genet. 71: 320-330, 2007.
NCBI and Uniprot Product Information
NCBI GI #
NCBI GeneID
NCBI Accession #
NCBI GenBank Nucleotide #
UniProt Accession #
NCBI Official Full Name
NPC intracellular cholesterol transporter 2 isoform 2
NCBI Official Synonym Full Names
NPC intracellular cholesterol transporter 2
NCBI Official Symbol
NPC2
NCBI Official Synonym Symbols
HE1; EDDM1
NCBI Protein Information
NPC intracellular cholesterol transporter 2
UniProt Protein Name
Epididymal secretory protein E1
UniProt Gene Name
NPC2
UniProt Synonym Gene Names
HE1; He1
UniProt Entry Name
NPC2_HUMAN
Customer Reviews
Loading reviews...
Share Your Experience
Similar Products
Product Notes
The NPC2 npc2 (Catalog #AAA125434) is an Antibody produced from Rabbit and is intended for research purposes only. The product is available for immediate purchase. The Anti-Niemann Pick C2/NPC2 Antibody reacts with Human, Mouse, Rat and may cross-react with other species as described in the data sheet. AAA Biotech's Niemann Pick C2/NPC2 can be used in a range of immunoassay formats including, but not limited to, ELISA (Direct ELISA), FCM/FACS (Flow Cytometry), IHC (Immunohistochemistry), WB (Western Blot). Researchers should empirically determine the suitability of the NPC2 npc2 for an application not listed in the data sheet. Researchers commonly develop new applications and it is an integral, important part of the investigative research process. It is sometimes possible for the material contained within the vial of "Niemann Pick C2/NPC2, Polyclonal Antibody" to become dispersed throughout the inside of the vial, particularly around the seal of said vial, during shipment and storage. We always suggest centrifuging these vials to consolidate all of the liquid away from the lid and to the bottom of the vial prior to opening. Please be advised that certain products may require dry ice for shipping and that, if this is the case, an additional dry ice fee may also be required.Precautions
All products in the AAA Biotech catalog are strictly for research-use only, and are absolutely not suitable for use in any sort of medical, therapeutic, prophylactic, in-vivo, or diagnostic capacity. By purchasing a product from AAA Biotech, you are explicitly certifying that said products will be properly tested and used in line with industry standard. AAA Biotech and its authorized distribution partners reserve the right to refuse to fulfill any order if we have any indication that a purchaser may be intending to use a product outside of our accepted criteria.Disclaimer
Though we do strive to guarantee the information represented in this datasheet, AAA Biotech cannot be held responsible for any oversights or imprecisions. AAA Biotech reserves the right to adjust any aspect of this datasheet at any time and without notice. It is the responsibility of the customer to inform AAA Biotech of any product performance issues observed or experienced within 30 days of receipt of said product. To see additional details on this or any of our other policies, please see our Terms & Conditions page.Item has been added to Shopping Cart
If you are ready to order, navigate to Shopping Cart and get ready to checkout.
