Rabbit anti-Human NLRP12 Polyclonal Antibody | anti-NLRP12 antibody
NLRP12 Antibody
Gene Names
NLRP12; RNO; PAN6; RNO2; FCAS2; NALP12; PYPAF7; CLR19.3
Reactivity
Human
Applications
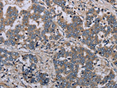
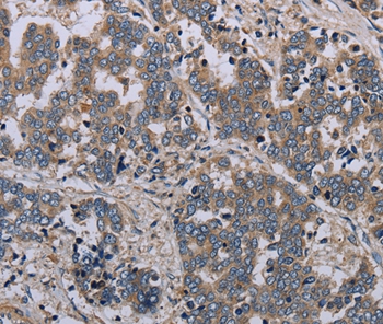
Immunohistochemistry
Purity
Antigen affinity purification.
Synonyms
NLRP12, Antibody; NLRP12 Antibody; RNO; PAN6; RNO2; FCAS2; NALP12; PYPAF7; CLR19.3; anti-NLRP12 antibody
Host
Rabbit
Reactivity
Human
Clonality
Polyclonal
Specificity
The antibody detects endogenous levels of total NLRP12 protein.
Purity/Purification
Antigen affinity purification.
Form/Format
Rabbit IgG in pH7.3 PBS, 0.05% NaN3, 50% Glycerol.
Concentration
1.9 mg/ml (varies by lot)
Sequence Length
1062
Applicable Applications for anti-NLRP12 antibody
IHC (Immunohistochemistry)
Immunogen Type
Peptide
Immunogen Description
Synthetic peptide corresponding to a region derived from internal residues of human NLR family, pyrin domain containing 12
Target Name
NLRP12
Preparation and Storage
Store at -20 degree C
Related Product Information for anti-NLRP12 antibody
This gene encodes a member of the CATERPILLER family of cytoplasmic proteins. The encoded protein, which contains an N-terminal pyrin domain, a NACHT domain, a NACHT-associated domain, and a C-terminus leucine-rich repeat region, functions as an attenuating factor of inflammation by suppressing inflammatory responses in activated monocytes. Mutations in this gene cause familial cold autoinflammatory syndrome type 2. Alternative splicing results in multiple transcript variants.
Product Categories/Family for anti-NLRP12 antibody
NCBI and Uniprot Product Information
NCBI GI #
NCBI GeneID
NCBI Accession #
NCBI GenBank Nucleotide #
Molecular Weight
120,329 Da
NCBI Official Full Name
NACHT, LRR and PYD domains-containing protein 12 isoform 3
NCBI Official Synonym Full Names
NLR family, pyrin domain containing 12
NCBI Official Symbol
NLRP12
NCBI Official Synonym Symbols
RNO; PAN6; RNO2; FCAS2; NALP12; PYPAF7; CLR19.3
NCBI Protein Information
NACHT, LRR and PYD domains-containing protein 12
UniProt Protein Name
NACHT, LRR and PYD domains-containing protein 12
UniProt Gene Name
NLRP12
UniProt Synonym Gene Names
NALP12; PYPAF7; RNO
UniProt Entry Name
NAL12_HUMAN
Customer Reviews
Loading reviews...
Share Your Experience
Similar Products
Product Notes
The NLRP12 nlrp12 (Catalog #AAA307690) is an Antibody produced from Rabbit and is intended for research purposes only. The product is available for immediate purchase. The NLRP12 Antibody reacts with Human and may cross-react with other species as described in the data sheet. AAA Biotech's NLRP12 can be used in a range of immunoassay formats including, but not limited to, IHC (Immunohistochemistry). Researchers should empirically determine the suitability of the NLRP12 nlrp12 for an application not listed in the data sheet. Researchers commonly develop new applications and it is an integral, important part of the investigative research process. It is sometimes possible for the material contained within the vial of "NLRP12, Polyclonal Antibody" to become dispersed throughout the inside of the vial, particularly around the seal of said vial, during shipment and storage. We always suggest centrifuging these vials to consolidate all of the liquid away from the lid and to the bottom of the vial prior to opening. Please be advised that certain products may require dry ice for shipping and that, if this is the case, an additional dry ice fee may also be required.Precautions
All products in the AAA Biotech catalog are strictly for research-use only, and are absolutely not suitable for use in any sort of medical, therapeutic, prophylactic, in-vivo, or diagnostic capacity. By purchasing a product from AAA Biotech, you are explicitly certifying that said products will be properly tested and used in line with industry standard. AAA Biotech and its authorized distribution partners reserve the right to refuse to fulfill any order if we have any indication that a purchaser may be intending to use a product outside of our accepted criteria.Disclaimer
Though we do strive to guarantee the information represented in this datasheet, AAA Biotech cannot be held responsible for any oversights or imprecisions. AAA Biotech reserves the right to adjust any aspect of this datasheet at any time and without notice. It is the responsibility of the customer to inform AAA Biotech of any product performance issues observed or experienced within 30 days of receipt of said product. To see additional details on this or any of our other policies, please see our Terms & Conditions page.Item has been added to Shopping Cart
If you are ready to order, navigate to Shopping Cart and get ready to checkout.
