Rabbit NMDAR2B Polyclonal Antibody | anti-NMDAR2B antibody
Phospho-NMDAR2B (Tyr1474) Antibody
Phosphate buffered saline, pH 7.4, 150mM NaCl, 0.02% sodium azide and 50% glycerol.
WB (Western Blot)
(Western blot analysis of Phospho-NMDAR2B (Tyr1474) expression in various lysates)
IHC (Immunohistochemistry)
(AAA321715 at 1/100 staining human brain tissues sections by IHC-P. The tissue was formaldehyde fixed and a heat mediated antigen retrieval step in citrate buffer was performed. The tissue was then blocked and incubated with the antibody for 1.5 hours at 44 degree C)
WB (Western Blot)
(Western blot analysis of NMDAR2B phosphorylation expression in UV treated Jurkat whole cell lysates, The lane on the left is treated with the antigen-specific peptide.)
IF (Immunofluorescence)
(AAA321715 staining Hela by IF/ICC. The sample were fixed with PFA and permeabilized in 0.1% Triton X-100, then blocked in 10% serum for 45 minutes at 25 degree C. The primary antibody was diluted at 1/200 and incubated with the sample for 1 hour at 37 degree C. An Alexa Fluor 594 conjugated goat anti-rabbit IgG (H+L) Ab, diluted at 1/600, was used as the secondary antibody.)
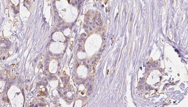
IHC (Immunohistochemistry)
(AAA321715 at 1/100 staining Human liver cancer tissue by IHC-P. The sample was formaldehyde fixed and a heat mediated antigen retrieval step in citrate buffer was performed. The sample was then blocked and incubated with the antibody for 1.5 hours at 22 degree C. An HRP conjugated goat anti-rabbit antibody was used as the secondary.)
Function: Component of NMDA receptor complexes that function as heterotetrameric, ligand-gated ion channels with high calcium permeability and voltage-dependent sensitivity to magnesium. Channel activation requires binding of the neurotransmitter glutamate to the epsilon subunit, glycine binding to the zeta subunit, plus membrane depolarization to eliminate channel inhibition by Mg2+ (PubMed:8768735, PubMed:26919761, PubMed:26875626, PubMed:28126851). Sensitivity to glutamate and channel kinetics depend on the subunit composition (PubMed:8768735, PubMed:26875626). In concert with DAPK1 at extrasynaptic sites, acts as a central mediator for stroke damage. Its phosphorylation at Ser-1303 by DAPK1 enhances synaptic NMDA receptor channel activity inducing injurious Ca2+ influx through them, resulting in an irreversible neuronal death. Contributes to neural pattern formation in the developing brain. Plays a role in long-term depression (LTD) of hippocampus membrane currents and in synaptic plasticity (By similarity).
Subunit Structure: Heterotetramer. Forms heterotetrameric channels composed of two zeta subunits (GRIN1), and two epsilon subunits (GRIN2A, GRIN2B, GRIN2C or GRIN2D) (in vitro) (PubMed:8768735, PubMed:26919761, PubMed:26875626, PubMed:28126851, PubMed:26912815). Can also form heterotetrameric channels that contain at least one zeta subunit (GRIN1), at least one epsilon subunit, plus GRIN3A or GRIN3B (By similarity). In vivo, the subunit composition may depend on the expression levels of the different subunits (Probable). Found in a complex with GRIN1 and GRIN3B. Found in a complex with GRIN1, GRIN3A and PPP2CB. Interacts with PDZ domains of PATJ, DLG3 and DLG4. Interacts with HIP1 and NETO1 (By similarity). Interacts with MAGI3 (PubMed:10748157). Interacts with DAPK1 (By similarity). Found in a complex with GRIN1 and PRR7 (PubMed:27458189). Interacts with PRR7 (PubMed:27458189).
Post-translational Modifications: Phosphorylated on tyrosine residues (By similarity). Phosphorylation at Ser-1303 by DAPK1 enhances synaptic NMDA receptor channel activity (By similarity).
Similarity: A hydrophobic region that gives rise to the prediction of a transmembrane span does not cross the membrane, but is part of a discontinuously helical region that dips into the membrane and is probably part of the pore and of the selectivity filter. Belongs to the glutamate-gated ion channel (TC 1.A.10.1) family. NR2B/GRIN2B subfamily.
NCBI and Uniprot Product Information
Predicted: 167 kDa
Customer Reviews
Loading reviews...
Share Your Experience
Similar Products
Product Notes
The NMDAR2B grin2b (Catalog #AAA321715) is an Antibody produced from Rabbit and is intended for research purposes only. The product is available for immediate purchase. The Phospho-NMDAR2B (Tyr1474) Antibody reacts with Human, Mouse, Rat and may cross-react with other species as described in the data sheet. AAA Biotech's NMDAR2B can be used in a range of immunoassay formats including, but not limited to, ELISA, ICC (Immunocytochemistry), IF (Immunofluorescence), IHC (Immunohistochemistry), WB (Western Blot). Researchers should empirically determine the suitability of the NMDAR2B grin2b for an application not listed in the data sheet. Researchers commonly develop new applications and it is an integral, important part of the investigative research process. It is sometimes possible for the material contained within the vial of "NMDAR2B, Polyclonal Antibody" to become dispersed throughout the inside of the vial, particularly around the seal of said vial, during shipment and storage. We always suggest centrifuging these vials to consolidate all of the liquid away from the lid and to the bottom of the vial prior to opening. Please be advised that certain products may require dry ice for shipping and that, if this is the case, an additional dry ice fee may also be required.Precautions
All products in the AAA Biotech catalog are strictly for research-use only, and are absolutely not suitable for use in any sort of medical, therapeutic, prophylactic, in-vivo, or diagnostic capacity. By purchasing a product from AAA Biotech, you are explicitly certifying that said products will be properly tested and used in line with industry standard. AAA Biotech and its authorized distribution partners reserve the right to refuse to fulfill any order if we have any indication that a purchaser may be intending to use a product outside of our accepted criteria.Disclaimer
Though we do strive to guarantee the information represented in this datasheet, AAA Biotech cannot be held responsible for any oversights or imprecisions. AAA Biotech reserves the right to adjust any aspect of this datasheet at any time and without notice. It is the responsibility of the customer to inform AAA Biotech of any product performance issues observed or experienced within 30 days of receipt of said product. To see additional details on this or any of our other policies, please see our Terms & Conditions page.Item has been added to Shopping Cart
If you are ready to order, navigate to Shopping Cart and get ready to checkout.
