Nucleoside Diphosphate Kinase B Isoform B (NME2) Antibody – Rabbit Polyclonal
NME2 Polyclonal Antibody
Gene Names
NME2; PUF; NDKB; NDPKB; NM23B; NDPK-B; NM23-H2
Reactivity
Human, Mouse, Rat
Applications
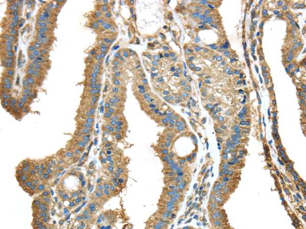
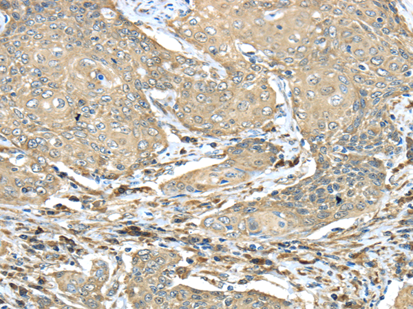
ELISA, Immunohistochemistry
Purity
Affinity purification
Synonyms
NME2, Antibody; NME2 Polyclonal Antibody; PKE; Serine/threonine-protein kinase 32C; ST32C; STK 32C; Stk32c; YANK 3; YANK3; anti-NME2 antibody
Product Overview
Host
Rabbit
Reactivity
Human, Mouse, Rat
Clonality
Polyclonal
Isotype
IgG
Purity/Purification
Affinity purification
Form/Format
PBS with 0.05% sodium azide and 50% glycerol, PH7.4
Applicable Applications for anti-NME2 antibody
ELISA, IHC (Immunohistochemistry)
Immunogen
Synthetic peptide of human NME2
Santa Cruz Alternative
Potential replacement for Santa Cruz Biotechnology antibody catalog# sc-14790 / sc-14789 / sc-17587
Note
Centrifuge before opening to ensure complete recovery of vial contents.
Preparation and Storage
Store at -20 degree C. Avoid freeze/thaw cycles.
Related Product Information for anti-NME2 antibody
Nucleoside diphosphate kinase (NDK) exists as a hexamer composed of 'A' (encoded by NME1) and 'B' (encoded by this gene) isoforms. Multiple alternatively spliced transcript variants have been found for this gene. Read-through transcription from the neighboring upstream gene (NME1) generates naturally-occurring transcripts (NME1-NME2) that encode a fusion protein comprised of sequence sharing identity with each individual gene product.
Product Categories/Family for anti-NME2 antibody
NCBI and Uniprot Product Information
NCBI GI #
NCBI GeneID
NCBI Accession #
NCBI GenBank Nucleotide #
Molecular Weight
17 kDa
NCBI Official Full Name
nucleoside diphosphate kinase B isoform b
NCBI Official Synonym Full Names
NME/NM23 nucleoside diphosphate kinase 2
NCBI Official Symbol
NME2
NCBI Official Synonym Symbols
PUF; NDKB; NDPKB; NM23B; NDPK-B; NM23-H2
NCBI Protein Information
nucleoside diphosphate kinase B
UniProt Protein Name
Nucleoside diphosphate kinase B
UniProt Gene Name
NME2
UniProt Synonym Gene Names
NM23B; NDK B; NDP kinase B
UniProt Entry Name
NDKB_HUMAN
Customer Reviews
Loading reviews...
Share Your Experience
Similar Products
Additional Details
Product Notes
The NME2 nme2 (Catalog #AAA173269) is an Antibody produced from Rabbit and is intended for research purposes only. The product is available for immediate purchase. The NME2 Polyclonal Antibody reacts with Human, Mouse, Rat and may cross-react with other species as described in the data sheet. AAA Biotech's NME2 can be used in a range of immunoassay formats including, but not limited to, ELISA, IHC (Immunohistochemistry). Researchers should empirically determine the suitability of the NME2 nme2 for an application not listed in the data sheet. Researchers commonly develop new applications and it is an integral, important part of the investigative research process. It is sometimes possible for the material contained within the vial of "NME2, Polyclonal Antibody" to become dispersed throughout the inside of the vial, particularly around the seal of said vial, during shipment and storage. We always suggest centrifuging these vials to consolidate all of the liquid away from the lid and to the bottom of the vial prior to opening. Please be advised that certain products may require dry ice for shipping and that, if this is the case, an additional dry ice fee may also be required.Precautions
All products in the AAA Biotech catalog are strictly for research-use only, and are absolutely not suitable for use in any sort of medical, therapeutic, prophylactic, in-vivo, or diagnostic capacity. By purchasing a product from AAA Biotech, you are explicitly certifying that said products will be properly tested and used in line with industry standard. AAA Biotech and its authorized distribution partners reserve the right to refuse to fulfill any order if we have any indication that a purchaser may be intending to use a product outside of our accepted criteria.Disclaimer
Though we do strive to guarantee the information represented in this datasheet, AAA Biotech cannot be held responsible for any oversights or imprecisions. AAA Biotech reserves the right to adjust any aspect of this datasheet at any time and without notice. It is the responsibility of the customer to inform AAA Biotech of any product performance issues observed or experienced within 30 days of receipt of said product. To see additional details on this or any of our other policies, please see our Terms & Conditions page.Item has been added to Shopping Cart
If you are ready to order, navigate to Shopping Cart and get ready to checkout.
