Rabbit anti-Human, mouse NOD1 Polyclonal Antibody | anti-NOD1 antibody
NOD1 Antibody (C-term)
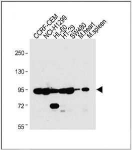
Application Data
(All lanes : Anti-NOD1 Antibody (C-term) at 1:1000 dilution Lane 1: CCRF-CEM whole cell lysate Lane 2: NCI-H1299 whole cell lysate Lane 3: HL-60 whole cell lysate Lane 4: HT-29 whole cell lysate Lane 5: SW480 whole cell lysate Lane 6: Mouse heart lysate Lane 7: Mouse spleen lysate Lysates/proteins at 20 ?g per lane. Secondary Goat Anti-Rabbit IgG, (H+L), Peroxidase conjugated at 1/10000 dilution. Predicted band size : 108 kDa Blocking/Dilution buffer: 5% NFDM/TBST.)
Application Data
(All lanes : Anti-NOD1 Antibody (C-term) at 1:2000 dilution Lane 1: CCRF-CEM whole cell lysate Lane 2: NCI-H1299 whole cell lysate Lane 3: HL-60 whole cell lysate Lane 4: HT-29 whole cell lysate Lane 5: SW480 whole cell lysate Lane 6: Mouse heart lysate Lane 7: Mouse spleen lysate Lysates/proteins at 20 ug per lane. Secondary Goat Anti-Rabbit IgG, (H+L), Peroxidase conjugated at 1/10000 dilution. Predicted band size : 108 kDa Blocking/Dilution buffer: 5% NFDM/TBST)
oligomerization domain) family. This member is a cytosolic protein.
It contains an N-terminal caspase recruitment domain (CARD), a
centrally located nucleotide-binding domain (NBD), and 10 tandem
leucine-rich repeats (LRRs) in its C terminus. The CARD is involved
in apoptotic signaling, LRRs participate in protein-protein
interactions, and mutations in the NBD may affect the process of
oligomerization and subsequent function of the LRR domain. This
protein is an intracellular pattern-recognition receptor (PRR) that
initiates inflammation in response to a subset of bacteria through
the detection of bacterial diaminopimelic acid. Multiple
alternatively spliced transcript variants differring in the 5' UTR
have been described, but the full-length nature of these variants
has not been determined.
Bailey, S.D., et al. Diabetes Care 33(10):2250-2253(2010)
Lu, W.G., et al. World J. Gastroenterol. 16(34):4348-4356(2010)
Enevold, C., et al. Mult. Scler. 16(8):942-949(2010)
Ashton, K.A., et al. BMC Cancer 10, 382 (2010) :
NCBI and Uniprot Product Information
Customer Reviews
Loading reviews...
Share Your Experience
Similar Products
Product Notes
The NOD1 nod1 (Catalog #AAA287984) is an Antibody produced from Rabbit and is intended for research purposes only. The product is available for immediate purchase. The immunogen sequence is 923-951. The NOD1 Antibody (C-term) reacts with Human, mouse and may cross-react with other species as described in the data sheet. AAA Biotech's NOD1 can be used in a range of immunoassay formats including, but not limited to, ELISA, WB (Western Blot). Researchers should empirically determine the suitability of the NOD1 nod1 for an application not listed in the data sheet. Researchers commonly develop new applications and it is an integral, important part of the investigative research process. It is sometimes possible for the material contained within the vial of "NOD1, Polyclonal Antibody" to become dispersed throughout the inside of the vial, particularly around the seal of said vial, during shipment and storage. We always suggest centrifuging these vials to consolidate all of the liquid away from the lid and to the bottom of the vial prior to opening. Please be advised that certain products may require dry ice for shipping and that, if this is the case, an additional dry ice fee may also be required.Precautions
All products in the AAA Biotech catalog are strictly for research-use only, and are absolutely not suitable for use in any sort of medical, therapeutic, prophylactic, in-vivo, or diagnostic capacity. By purchasing a product from AAA Biotech, you are explicitly certifying that said products will be properly tested and used in line with industry standard. AAA Biotech and its authorized distribution partners reserve the right to refuse to fulfill any order if we have any indication that a purchaser may be intending to use a product outside of our accepted criteria.Disclaimer
Though we do strive to guarantee the information represented in this datasheet, AAA Biotech cannot be held responsible for any oversights or imprecisions. AAA Biotech reserves the right to adjust any aspect of this datasheet at any time and without notice. It is the responsibility of the customer to inform AAA Biotech of any product performance issues observed or experienced within 30 days of receipt of said product. To see additional details on this or any of our other policies, please see our Terms & Conditions page.Item has been added to Shopping Cart
If you are ready to order, navigate to Shopping Cart and get ready to checkout.
