Rabbit anti-Mouse, Rat NOGOA Polyclonal Antibody | anti-NOGOA antibody
RABBIT ANTI HUMAN NOGOA (N-TERMINAL)
Gene Names
RTN4; ASY; NSP; NOGO; NOGOC; RTN-X; NOGO-A; NSP-CL; Nogo-B; Nogo-C; RTN4-A; RTN4-C; RTN4-B1; RTN4-B2; NI220/250; Nbla00271; Nbla10545
Reactivity
Mouse, Rat
Applications
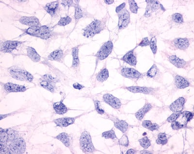
Western Blot, Immunohistochemistry
Synonyms
NOGOA, Antibody; RABBIT ANTI HUMAN NOGOA (N-TERMINAL); anti-NOGOA antibody
Host
Rabbit
Reactivity
Mouse, Rat
Clonality
Polyclonal
Isotype
IgG
Form/Format
Purified
Purified IgG - liquid
Purified IgG - liquid
Concentration
IgG concentration 1.0mg/ml (varies by lot)
Sequence Length
199
Applicable Applications for anti-NOGOA antibody
WB (Western Blot), IHC (Immunohistochemistry)
Perservative Stabilisers
0.02% Sodium Azide (NaN3)
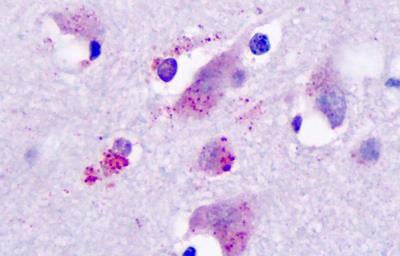
Histology Positive Control Tissue
Mouse brain
Buffer Solution
Buffer Solution
Antiserum Preparation
Antisera to human NogoA were raised by repeated immunisation of rabbits with highly purified antigen. Purified IgG prepared from whole serum by affinity chromatography.
Target Species
Human
Preparation and Storage
Store at 4 degree C or at -20 degree C if preferred. Storage in frost-free freezers is not recommended. This product should be stored undiluted. Avoid repeated freezing and thawing as this may denature the antibody. Should this product contain a precipitate we recommend microcentrifugation before use.
Shelf Life: 18 months from date of despatch.
Shelf Life: 18 months from date of despatch.
Related Product Information for anti-NOGOA antibody
Rabbit anti Human NOGOA antibody recognizes human Reticulon-4 (RTN4), also known as NogoA, neurite outgrowth inhibitor, Foocen, Neuroendocrine-specific protein, Neuroendocrine-specific protein C homolog, Reticulon-5 or RTN-x. NogoA is a 1192 amino acid multi pass transmembrane protein associated with the endoplasmic reticulum, a member of a family of integral membrane proteins termed reticulons. Six isoforms of NogoA can be generated by alternative splicing, the canonical isoform 1 is predominantly expressed in the brain and testis with weaker expression in the heart and skeletal muscle. Reticulons are involved in various neurodegenerative diseases such as Amyotrophic lateral sclerosis,and multiple sclerosis (Chiurchiù et al. 2014). Reticulon proteins have been demonstrated to regulate many cellular processes and interact with multiple proteins and receptors such as BACE. NogoA was initially identified as a myelin-associated neurite outgrowth inhibitor (Niederöst et al. 2002). NogoA is highly expressed in oligodendrocytes in the white matter of the CNS (Kuhlmann et al. 2008). Blocking NogoA activity with antibodies or other factors results in improved long distance axonal regeneration and functional recovery in experimental CNS lesion models (Schwab 2004). NOGOA has a predicted molecular weight of 130kDa however, despite its predicted molecular weight, NogoA typically migrates at ~180kDa in an SDS-PAGE. Rabbit anti human NOGOA antibody is expected to recognize all isoforms of NogoA.
NCBI and Uniprot Product Information
NCBI GI #
NCBI GeneID
NCBI Accession #
NCBI GenBank Nucleotide #
UniProt Accession #
Molecular Weight
108,450 Da
NCBI Official Full Name
reticulon-4 isoform C
NCBI Official Synonym Full Names
reticulon 4
NCBI Official Symbol
RTN4
NCBI Official Synonym Symbols
ASY; NSP; NOGO; NOGOC; RTN-X; NOGO-A; NSP-CL; Nogo-B; Nogo-C; RTN4-A; RTN4-C; RTN4-B1; RTN4-B2; NI220/250; Nbla00271; Nbla10545
NCBI Protein Information
reticulon-4; Human NogoA; My043 protein; foocen; neurite growth inhibitor 220; neurite outgrowth inhibitor; neuroendocrine-specific protein C homolog; reticulon 5
UniProt Protein Name
Reticulon-4
UniProt Gene Name
RTN4
UniProt Synonym Gene Names
KIAA0886; NOGO; Nogo protein; NSP
UniProt Entry Name
RTN4_HUMAN
Customer Reviews
Loading reviews...
Share Your Experience
Similar Products
Product Notes
The NOGOA rtn4 (Catalog #AAA50069) is an Antibody produced from Rabbit and is intended for research purposes only. The product is available for immediate purchase. The RABBIT ANTI HUMAN NOGOA (N-TERMINAL) reacts with Mouse, Rat and may cross-react with other species as described in the data sheet. AAA Biotech's NOGOA can be used in a range of immunoassay formats including, but not limited to, WB (Western Blot), IHC (Immunohistochemistry). Researchers should empirically determine the suitability of the NOGOA rtn4 for an application not listed in the data sheet. Researchers commonly develop new applications and it is an integral, important part of the investigative research process. It is sometimes possible for the material contained within the vial of "NOGOA, Polyclonal Antibody" to become dispersed throughout the inside of the vial, particularly around the seal of said vial, during shipment and storage. We always suggest centrifuging these vials to consolidate all of the liquid away from the lid and to the bottom of the vial prior to opening. Please be advised that certain products may require dry ice for shipping and that, if this is the case, an additional dry ice fee may also be required.Precautions
All products in the AAA Biotech catalog are strictly for research-use only, and are absolutely not suitable for use in any sort of medical, therapeutic, prophylactic, in-vivo, or diagnostic capacity. By purchasing a product from AAA Biotech, you are explicitly certifying that said products will be properly tested and used in line with industry standard. AAA Biotech and its authorized distribution partners reserve the right to refuse to fulfill any order if we have any indication that a purchaser may be intending to use a product outside of our accepted criteria.Disclaimer
Though we do strive to guarantee the information represented in this datasheet, AAA Biotech cannot be held responsible for any oversights or imprecisions. AAA Biotech reserves the right to adjust any aspect of this datasheet at any time and without notice. It is the responsibility of the customer to inform AAA Biotech of any product performance issues observed or experienced within 30 days of receipt of said product. To see additional details on this or any of our other policies, please see our Terms & Conditions page.Item has been added to Shopping Cart
If you are ready to order, navigate to Shopping Cart and get ready to checkout.
