Rabbit anti-Human NOL3 Polyclonal Antibody | anti-NOL3 antibody
NOL3 Antibody
Gene Names
NOL3; ARC; FCM; MYP; NOP; NOP30
Reactivity
Human
Applications
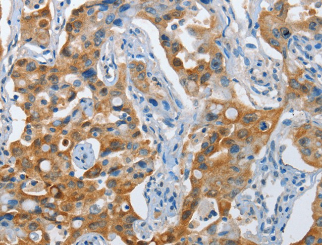
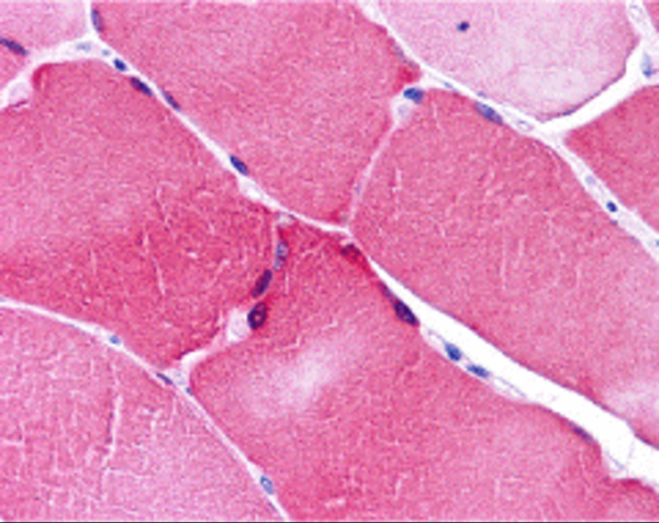
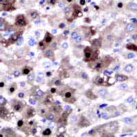
Immunohistochemistry
Purity
Antigen affinity purification.
Synonyms
NOL3, Antibody; NOL3 Antibody; ARC; FCM; MYP; NOP; NOP30; anti-NOL3 antibody
Host
Rabbit
Reactivity
Human
Clonality
Polyclonal
Specificity
The antibody detects endogenous levels of total NOL3 protein.
Purity/Purification
Antigen affinity purification.
Form/Format
Rabbit IgG in pH7.3 PBS, 0.05% NaN3, 50% Glycerol.
Concentration
1.4 mg/ml (varies by lot)
Sequence Length
219
Applicable Applications for anti-NOL3 antibody
IHC (Immunohistochemistry)
Immunogen Type
Recombinant Protein
Immunogen Description
Full length fusion protein
Target Name
NOL3
Preparation and Storage
Store at -20 degree C
Related Product Information for anti-NOL3 antibody
This gene encodes an anti-apoptotic protein that has been shown to down-regulate the enzyme activities of caspase 2, caspase 8 and tumor protein p53. Multiple transcript variants encoding different isoforms have been found for this gene. Arc has been shown to localize to the cytoskeleton of neuronal cells and appears to colocalize with F-Actin, although it may associate with an Actin-associated protein rather than directly with F-Actin. It has been shown that cocaine-stimulated neuronal activity results in increased Arc mRNA levels in striatum.
Product Categories/Family for anti-NOL3 antibody
NCBI and Uniprot Product Information
NCBI GI #
NCBI GeneID
NCBI Accession #
NCBI GenBank Nucleotide #
Molecular Weight
29,355 Da
NCBI Official Full Name
nucleolar protein 3 isoform Nop30
NCBI Official Synonym Full Names
nucleolar protein 3 (apoptosis repressor with CARD domain)
NCBI Official Symbol
NOL3
NCBI Official Synonym Symbols
ARC; FCM; MYP; NOP; NOP30
NCBI Protein Information
nucleolar protein 3
UniProt Protein Name
Nucleolar protein 3
UniProt Gene Name
NOL3
UniProt Synonym Gene Names
Nop30
UniProt Entry Name
NOL3_HUMAN
Customer Reviews
Loading reviews...
Share Your Experience
Similar Products
Product Notes
The NOL3 nol3 (Catalog #AAA301401) is an Antibody produced from Rabbit and is intended for research purposes only. The product is available for immediate purchase. The NOL3 Antibody reacts with Human and may cross-react with other species as described in the data sheet. AAA Biotech's NOL3 can be used in a range of immunoassay formats including, but not limited to, IHC (Immunohistochemistry). Researchers should empirically determine the suitability of the NOL3 nol3 for an application not listed in the data sheet. Researchers commonly develop new applications and it is an integral, important part of the investigative research process. It is sometimes possible for the material contained within the vial of "NOL3, Polyclonal Antibody" to become dispersed throughout the inside of the vial, particularly around the seal of said vial, during shipment and storage. We always suggest centrifuging these vials to consolidate all of the liquid away from the lid and to the bottom of the vial prior to opening. Please be advised that certain products may require dry ice for shipping and that, if this is the case, an additional dry ice fee may also be required.Precautions
All products in the AAA Biotech catalog are strictly for research-use only, and are absolutely not suitable for use in any sort of medical, therapeutic, prophylactic, in-vivo, or diagnostic capacity. By purchasing a product from AAA Biotech, you are explicitly certifying that said products will be properly tested and used in line with industry standard. AAA Biotech and its authorized distribution partners reserve the right to refuse to fulfill any order if we have any indication that a purchaser may be intending to use a product outside of our accepted criteria.Disclaimer
Though we do strive to guarantee the information represented in this datasheet, AAA Biotech cannot be held responsible for any oversights or imprecisions. AAA Biotech reserves the right to adjust any aspect of this datasheet at any time and without notice. It is the responsibility of the customer to inform AAA Biotech of any product performance issues observed or experienced within 30 days of receipt of said product. To see additional details on this or any of our other policies, please see our Terms & Conditions page.Item has been added to Shopping Cart
If you are ready to order, navigate to Shopping Cart and get ready to checkout.
