Rabbit anti-Mouse, Rat Non Metastatic Cells 5 Polyclonal Antibody | anti-NME5 antibody
Polyclonal Antibody to Non Metastatic Cells 5, Protein NM23A Expressed In (NME5)
Gene Names
Nme5; Nm23-M5; 1700019D05Rik
Reactivity
Mouse, Rat
Applications
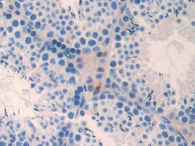
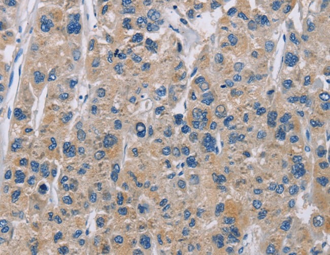
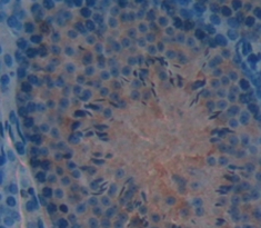
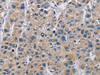
ELISA, Immunohistochemistry, Immunocytochemistry, Western Blot
Purity
Affinity Chromatography
Synonyms
Non Metastatic Cells 5, Antibody; Polyclonal Antibody to Non Metastatic Cells 5, Protein NM23A Expressed In (NME5); anti-NME5 antibody
Host
Rabbit
Reactivity
Mouse, Rat
Clonality
Polyclonal
Specificity
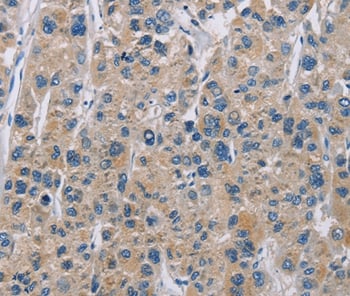
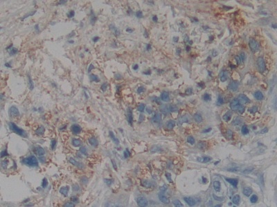
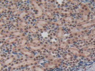
The antibody is a rabbit polyclonal antibody raised against NME5. It has beenselected for its ability to recognize NME5 in immunohistochemical staining andwestern blotting.
Purity/Purification
Affinity Chromatography
Form/Format
Liquid
Concentration
500ug/mL (varies by lot)
Applicable Applications for anti-NME5 antibody
ELISA, IHC (Immunohistochemistry), ICC (Immunocytochemistry), WB (Western Blot)
Fragment
NME5 (Leu16~Glu210)
Organism Species
Mus musculus (Mouse)
Cross Reactivity
Mouse, Rat
Conjugate
No Conjugate
Immunogen
Recombinant NME5 (Leu16~Glu210) expressed in E Coli.
Conjugated Antibody
The APC conjugated antibody version of this item is also available as
Preparation and Storage
Store at 4 degree C for frequent use. Stored at -20 degree C to -80 degree C in a manual defrost freezer for one year without detectable loss of activity. Avoid repeated freeze-thaw cycles.
NCBI and Uniprot Product Information
NCBI GI #
NCBI GeneID
NCBI Accession #
NCBI GenBank Nucleotide #
Molecular Weight
13,018 Da
NCBI Official Full Name
nucleoside diphosphate kinase homolog 5
NCBI Official Synonym Full Names
NME/NM23 family member 5
NCBI Official Symbol
Nme5
NCBI Official Synonym Symbols
Nm23-M5; 1700019D05Rik
NCBI Protein Information
nucleoside diphosphate kinase homolog 5
UniProt Protein Name
Nucleoside diphosphate kinase homolog 5
UniProt Gene Name
Nme5
UniProt Synonym Gene Names
NDK-H 5; NDP kinase homolog 5
Customer Reviews
Loading reviews...
Share Your Experience
Similar Products
Product Notes
The NME5 nme5 (Catalog #AAA142659) is an Antibody produced from Rabbit and is intended for research purposes only. The product is available for immediate purchase. The Polyclonal Antibody to Non Metastatic Cells 5, Protein NM23A Expressed In (NME5) reacts with Mouse, Rat and may cross-react with other species as described in the data sheet. AAA Biotech's Non Metastatic Cells 5 can be used in a range of immunoassay formats including, but not limited to, ELISA, IHC (Immunohistochemistry), ICC (Immunocytochemistry), WB (Western Blot). Researchers should empirically determine the suitability of the NME5 nme5 for an application not listed in the data sheet. Researchers commonly develop new applications and it is an integral, important part of the investigative research process. It is sometimes possible for the material contained within the vial of "Non Metastatic Cells 5, Polyclonal Antibody" to become dispersed throughout the inside of the vial, particularly around the seal of said vial, during shipment and storage. We always suggest centrifuging these vials to consolidate all of the liquid away from the lid and to the bottom of the vial prior to opening. Please be advised that certain products may require dry ice for shipping and that, if this is the case, an additional dry ice fee may also be required.Precautions
All products in the AAA Biotech catalog are strictly for research-use only, and are absolutely not suitable for use in any sort of medical, therapeutic, prophylactic, in-vivo, or diagnostic capacity. By purchasing a product from AAA Biotech, you are explicitly certifying that said products will be properly tested and used in line with industry standard. AAA Biotech and its authorized distribution partners reserve the right to refuse to fulfill any order if we have any indication that a purchaser may be intending to use a product outside of our accepted criteria.Disclaimer
Though we do strive to guarantee the information represented in this datasheet, AAA Biotech cannot be held responsible for any oversights or imprecisions. AAA Biotech reserves the right to adjust any aspect of this datasheet at any time and without notice. It is the responsibility of the customer to inform AAA Biotech of any product performance issues observed or experienced within 30 days of receipt of said product. To see additional details on this or any of our other policies, please see our Terms & Conditions page.Item has been added to Shopping Cart
If you are ready to order, navigate to Shopping Cart and get ready to checkout.
