Rabbit NOS1 Polyclonal Antibody | anti-NOS1 antibody
NOS1 Antibody
Phosphate buffered saline, pH 7.4, 150mM NaCl, 0.02% sodium azide and 50% glycerol.
WB (Western Blot)
(Western blot analysis of Huvec whole cell lysates, using NOS1 Antibody. The lane on the left is treated with the antigen-specific peptide.)
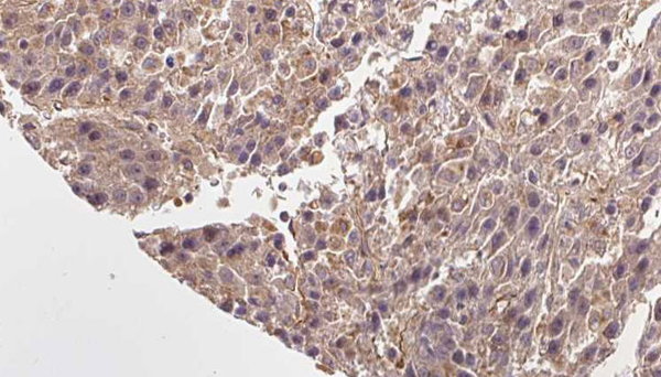
IHC (Immunohistochemistry)
(AAA326195 at 1/100 staining Human liver cancer tissue by IHC-P. The sample was formaldehyde fixed and a heat mediated antigen retrieval step in citrate buffer was performed. The sample was then blocked and incubated with the antibody for 1.5 hours at 22 degree C. An HRP conjugated goat anti-rabbit antibody was used as the secondary.)
Function: Produces nitric oxide (NO) which is a messenger molecule with diverse functions throughout the body. In the brain and peripheral nervous system, NO displays many properties of a neurotransmitter. Probably has nitrosylase activity and mediates cysteine S-nitrosylation of cytoplasmic target proteins such SRR.
Subunit Structure: Homodimer. Interacts with DLG4; the interaction possibly being prevented by the association between NOS1 and CAPON. Forms a ternary complex with CAPON and RASD1. Forms a ternary complex with CAPON and SYN1. Interacts with ZDHHC23. Interacts with NOSIP; which may impair its synaptic location (By similarity). Interacts with HTR4. Interacts with VAC14 (By similarity). Interacts with SLC6A4 (By similarity). Interacts (via N-terminal domain) with DLG4 (via N-terminal tandem pair of PDZ domains) (By similarity).
Post-translational Modifications: Ubiquitinated; mediated by STUB1/CHIP in the presence of Hsp70 and Hsp40 (in vitro).
Similarity: The PDZ domain in the N-terminal part of the neuronal isoform participates in protein-protein interaction, and is responsible for targeting nNos to synaptic membranes in muscles. Mediates interaction with VAC14 (By similarity). Belongs to the NOS family.
NCBI and Uniprot Product Information
Predicted: 161 kDa
Customer Reviews
Loading reviews...
Share Your Experience
Similar Products
Product Notes
The NOS1 nos1 (Catalog #AAA326195) is an Antibody produced from Rabbit and is intended for research purposes only. The product is available for immediate purchase. The NOS1 Antibody reacts with Human, Mouse, Rat and may cross-react with other species as described in the data sheet. AAA Biotech's NOS1 can be used in a range of immunoassay formats including, but not limited to, ELISA, IHC (Immunohistochemistry), WB (Western Blot). Researchers should empirically determine the suitability of the NOS1 nos1 for an application not listed in the data sheet. Researchers commonly develop new applications and it is an integral, important part of the investigative research process. It is sometimes possible for the material contained within the vial of "NOS1, Polyclonal Antibody" to become dispersed throughout the inside of the vial, particularly around the seal of said vial, during shipment and storage. We always suggest centrifuging these vials to consolidate all of the liquid away from the lid and to the bottom of the vial prior to opening. Please be advised that certain products may require dry ice for shipping and that, if this is the case, an additional dry ice fee may also be required.Precautions
All products in the AAA Biotech catalog are strictly for research-use only, and are absolutely not suitable for use in any sort of medical, therapeutic, prophylactic, in-vivo, or diagnostic capacity. By purchasing a product from AAA Biotech, you are explicitly certifying that said products will be properly tested and used in line with industry standard. AAA Biotech and its authorized distribution partners reserve the right to refuse to fulfill any order if we have any indication that a purchaser may be intending to use a product outside of our accepted criteria.Disclaimer
Though we do strive to guarantee the information represented in this datasheet, AAA Biotech cannot be held responsible for any oversights or imprecisions. AAA Biotech reserves the right to adjust any aspect of this datasheet at any time and without notice. It is the responsibility of the customer to inform AAA Biotech of any product performance issues observed or experienced within 30 days of receipt of said product. To see additional details on this or any of our other policies, please see our Terms & Conditions page.Item has been added to Shopping Cart
If you are ready to order, navigate to Shopping Cart and get ready to checkout.
