Rabbit NPC2 Polyclonal Antibody | anti-NPC2 antibody
NPC2 Antibody
Phosphate buffered saline, pH 7.4, 150mM NaCl, 0.02% sodium azide and 50% glycerol.
WB (Western Blot)
(Western blot analysis of 293T whole cell lysates, using NPC2 Antibody. The lane on the left is treated with the antigen-specific peptide.)
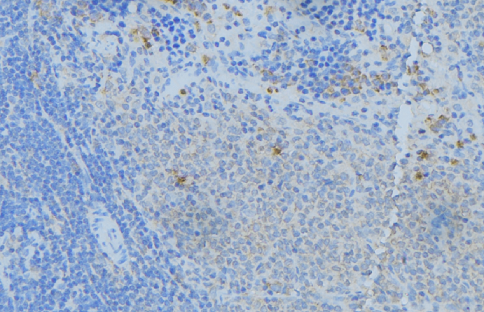
IHC (Immunohistochemistry)
(AAA327032 at 1/100 staining Human lymph node tissue by IHC-P. The sample was formaldehyde fixed and a heat mediated antigen retrieval step in citrate buffer was performed. The sample was then blocked and incubated with the antibody for 1.5 hours at 22 degree C. An HRP conjugated goat anti-rabbit antibody was used as the secondary.)
Function: Intracellular cholesterol transporter which acts in concert with NPC1 and plays an important role in the egress of cholesterol from the endosomal/lysosomal compartment. Both NPC1 and NPC2 function as the cellular 'tag team duo' (TTD) to catalyze the mobilization of cholesterol within the multivesicular environment of the late endosome (LE) to effect egress through the limiting bilayer of the LE. NPC2 binds unesterified cholesterol that has been released from LDLs in the lumen of the late endosomes/lysosomes and transfers it to the cholesterol-binding pocket of the N-terminal domain of NPC1. Cholesterol binds to NPC1 with the hydroxyl group buried in the binding pocket and is exported from the limiting membrane of late endosomes/lysosomes to the ER and plasma membrane by an unknown mechanism. The secreted form of NCP2 regulates biliary cholesterol secretion via stimulation of ABCG5/ABCG8-mediated cholesterol transport.
Subunit Structure: Interacts with NUS1/NgBR, the interaction stabilizes NCP2 and regulates cholesterol trafficking. Interacts with DHDDS. Interacts with NPC1 (via the second lumenal domain) in a cholestrol-dependent manner (By similarity). Interacts with NEDD4L (via C2 domain) (By similarity). Interacts with NPC1L1.
Similarity: Belongs to the NPC2 family.
NCBI and Uniprot Product Information
Predicted: 17 kDa
Customer Reviews
Loading reviews...
Share Your Experience
Similar Products
Product Notes
The NPC2 npc2 (Catalog #AAA327032) is an Antibody produced from Rabbit and is intended for research purposes only. The product is available for immediate purchase. The NPC2 Antibody reacts with Human, Mouse, Rat and may cross-react with other species as described in the data sheet. AAA Biotech's NPC2 can be used in a range of immunoassay formats including, but not limited to, ELISA, IHC (Immunohistochemistry), WB (Western Blot). Researchers should empirically determine the suitability of the NPC2 npc2 for an application not listed in the data sheet. Researchers commonly develop new applications and it is an integral, important part of the investigative research process. It is sometimes possible for the material contained within the vial of "NPC2, Polyclonal Antibody" to become dispersed throughout the inside of the vial, particularly around the seal of said vial, during shipment and storage. We always suggest centrifuging these vials to consolidate all of the liquid away from the lid and to the bottom of the vial prior to opening. Please be advised that certain products may require dry ice for shipping and that, if this is the case, an additional dry ice fee may also be required.Precautions
All products in the AAA Biotech catalog are strictly for research-use only, and are absolutely not suitable for use in any sort of medical, therapeutic, prophylactic, in-vivo, or diagnostic capacity. By purchasing a product from AAA Biotech, you are explicitly certifying that said products will be properly tested and used in line with industry standard. AAA Biotech and its authorized distribution partners reserve the right to refuse to fulfill any order if we have any indication that a purchaser may be intending to use a product outside of our accepted criteria.Disclaimer
Though we do strive to guarantee the information represented in this datasheet, AAA Biotech cannot be held responsible for any oversights or imprecisions. AAA Biotech reserves the right to adjust any aspect of this datasheet at any time and without notice. It is the responsibility of the customer to inform AAA Biotech of any product performance issues observed or experienced within 30 days of receipt of said product. To see additional details on this or any of our other policies, please see our Terms & Conditions page.Item has been added to Shopping Cart
If you are ready to order, navigate to Shopping Cart and get ready to checkout.
