Rabbit NPY Polyclonal Antibody | anti-NPY antibody
NPY Polyclonal Antibody
Gene Names
NPY; PYY4
Reactivity
Human, Mouse, Rat
Applications
Immunofluorescence, Immunohistochemistry
Purity
Affinity Purification
Synonyms
NPY, Antibody; NPY Polyclonal Antibody; NPY, PYY4, neuropeptide Y; anti-NPY antibody
Host
Rabbit
Reactivity
Human, Mouse, Rat
Clonality
Polyclonal
Isotype
IgG
Purity/Purification
Affinity Purification
Form/Format
PBS with 0.09% Sodium azide,50% glycerol,pH7.3.
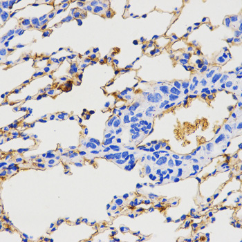
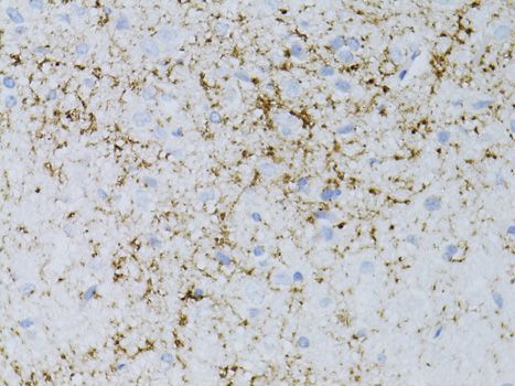
Applicable Applications for anti-NPY antibody
IF (Immunofluorescence), IHC (Immunohistochemistry)
Immunogen
Recombinant fusion protein containing a sequence corresponding to amino acids 1-97 of human NPY (NP_000896.1).
Preparation and Storage
Store at -20°C. Avoid freeze/thaw cycles.
Related Product Information for anti-NPY antibody
This gene encodes a neuropeptide that is widely expressed in the central nervous system and influences many physiological processes, including cortical excitability, stress response, food intake, circadian rhythms, and cardiovascular function. The neuropeptide functions through G protein-coupled receptors to inhibit adenylyl cyclase, activate mitogen-activated protein kinase (MAPK), regulate intracellular calcium levels, and activate potassium channels. A polymorphism in this gene resulting in a change of leucine 7 to proline in the signal peptide is associated with elevated cholesterol levels, higher alcohol consumption, and may be a risk factor for various metabolic and cardiovascular diseases. The protein also exhibits antimicrobial activity against bacteria and fungi.
Product Categories/Family for anti-NPY antibody
NCBI and Uniprot Product Information
NCBI GI #
NCBI GeneID
UniProt Accession #
Molecular Weight
10 kDa
NCBI Official Full Name
Pro-neuropeptide Y
NCBI Official Synonym Full Names
neuropeptide Y
NCBI Official Symbol
NPY
NCBI Official Synonym Symbols
PYY4
NCBI Protein Information
pro-neuropeptide Y; prepro-neuropeptide Y
UniProt Protein Name
Pro-neuropeptide Y
UniProt Gene Name
NPY
UniProt Synonym Gene Names
NPY; CPON
UniProt Entry Name
NPY_HUMAN
Customer Reviews
Loading reviews...
Share Your Experience
Similar Products
Product Notes
The NPY npy (Catalog #AAA37133) is an Antibody produced from Rabbit and is intended for research purposes only. The product is available for immediate purchase. The NPY Polyclonal Antibody reacts with Human, Mouse, Rat and may cross-react with other species as described in the data sheet. AAA Biotech's NPY can be used in a range of immunoassay formats including, but not limited to, IF (Immunofluorescence), IHC (Immunohistochemistry). Researchers should empirically determine the suitability of the NPY npy for an application not listed in the data sheet. Researchers commonly develop new applications and it is an integral, important part of the investigative research process. It is sometimes possible for the material contained within the vial of "NPY, Polyclonal Antibody" to become dispersed throughout the inside of the vial, particularly around the seal of said vial, during shipment and storage. We always suggest centrifuging these vials to consolidate all of the liquid away from the lid and to the bottom of the vial prior to opening. Please be advised that certain products may require dry ice for shipping and that, if this is the case, an additional dry ice fee may also be required.Precautions
All products in the AAA Biotech catalog are strictly for research-use only, and are absolutely not suitable for use in any sort of medical, therapeutic, prophylactic, in-vivo, or diagnostic capacity. By purchasing a product from AAA Biotech, you are explicitly certifying that said products will be properly tested and used in line with industry standard. AAA Biotech and its authorized distribution partners reserve the right to refuse to fulfill any order if we have any indication that a purchaser may be intending to use a product outside of our accepted criteria.Disclaimer
Though we do strive to guarantee the information represented in this datasheet, AAA Biotech cannot be held responsible for any oversights or imprecisions. AAA Biotech reserves the right to adjust any aspect of this datasheet at any time and without notice. It is the responsibility of the customer to inform AAA Biotech of any product performance issues observed or experienced within 30 days of receipt of said product. To see additional details on this or any of our other policies, please see our Terms & Conditions page.Item has been added to Shopping Cart
If you are ready to order, navigate to Shopping Cart and get ready to checkout.
