Rabbit anti-Human NR0B2 Polyclonal Antibody | anti-NR0B2 antibody
NR0B2 Rabbit anti-Human Polyclonal (C-Terminus) Antibody
IHC (Immunohistochemisry)
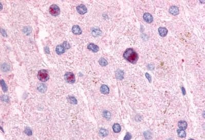
(NR0B2 Antibody-Anti-NR0B2 antibody IHC staining of human liver, hepatocytes. Immunohistochemistry of formalin-fixed, paraffin-embedded tissue after heat-induced antigen retrieval.)
SHP (short heterodimer partner) is a bile acid-dependent orphan NR0 Knirps-Like receptor with dimerization and ligand-binding domains but not the conventional DNA-binding domain. SHP has been shown to inhibit the transcriptional activity of other nuclear receptors, including thyroid hormone receptor, constitutive androstane receptor, and retinoic acid receptors. SHP affects hepatic cholesterol catabolism based on a two-step mechanism dependent on both coactivator competition and direct transcriptional repression by mediating the repression of CYP7A1, the rate-limiting enzyme for bile acid synthesis. Mutations in the SHP gene contribute to increased body weight, indicating a possible role of SHP in the development of early-onset diabetes (maturity-onset diabetes of the young, MODY). Loss of SHP in mice caused abnormal accumulation and increased synthesis of bile acids due to derepression of rate-limiting CYP7A1 and CYP8B1 hydroxylase enzymes in the biosynthetic pathway.
NCBI and Uniprot Product Information
Customer Reviews
Loading reviews...
Share Your Experience
Similar Products
Product Notes
The NR0B2 nr0b2 (Catalog #AAA162462) is an Antibody produced from Rabbit and is intended for research purposes only. The product is available for immediate purchase. The NR0B2 Rabbit anti-Human Polyclonal (C-Terminus) Antibody reacts with Human and may cross-react with other species as described in the data sheet. AAA Biotech's NR0B2 can be used in a range of immunoassay formats including, but not limited to, IHC (Immunohistochemistry), IHC (Immunohistochemistry). Researchers should empirically determine the suitability of the NR0B2 nr0b2 for an application not listed in the data sheet. Researchers commonly develop new applications and it is an integral, important part of the investigative research process. It is sometimes possible for the material contained within the vial of "NR0B2, Polyclonal Antibody" to become dispersed throughout the inside of the vial, particularly around the seal of said vial, during shipment and storage. We always suggest centrifuging these vials to consolidate all of the liquid away from the lid and to the bottom of the vial prior to opening. Please be advised that certain products may require dry ice for shipping and that, if this is the case, an additional dry ice fee may also be required.Precautions
All products in the AAA Biotech catalog are strictly for research-use only, and are absolutely not suitable for use in any sort of medical, therapeutic, prophylactic, in-vivo, or diagnostic capacity. By purchasing a product from AAA Biotech, you are explicitly certifying that said products will be properly tested and used in line with industry standard. AAA Biotech and its authorized distribution partners reserve the right to refuse to fulfill any order if we have any indication that a purchaser may be intending to use a product outside of our accepted criteria.Disclaimer
Though we do strive to guarantee the information represented in this datasheet, AAA Biotech cannot be held responsible for any oversights or imprecisions. AAA Biotech reserves the right to adjust any aspect of this datasheet at any time and without notice. It is the responsibility of the customer to inform AAA Biotech of any product performance issues observed or experienced within 30 days of receipt of said product. To see additional details on this or any of our other policies, please see our Terms & Conditions page.Item has been added to Shopping Cart
If you are ready to order, navigate to Shopping Cart and get ready to checkout.
