Rabbit nrf2 Polyclonal Antibody | anti-nrf2 antibody
Phospho-nrf2(Ser40) Antibody
IF (Immunofluorescence)
(AAA327189 staining A549 cells(4h of LPS treatment) by IF/ICC. The samples were fixed with PFA and permeabilized in 0.1% Triton X-100,then blocked in 10% serum for 45 minutes at 25°C. Samples were then incubated with primary Ab(AAA327189) and mouse anti-beta tubulin Ab for 1 hour at 37°C. An AlexaFluor594 conjugated goat anti-rabbit IgG(H+L) Ab(Red) and an AlexaFluor488 conjugated goat anti-mouse IgG(H+L) Ab(Green) were used as the secondary Ab. The nuclear counter stain is DAPI (blue).)
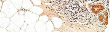
IHC (Immunohiostchemistry)
(AAA327189 at 1/100 staining Human normal tissues adjacent to mammary cancer by IHC-P. The sample was formaldehydefixed and a heat mediated antigen retrieval step in citrate buffer was performed. The sample was then blocked and incubated with the primary antibody at 4°C overnight. An HRP conjugated anti-Rabbit antibody was used as the secondary antibody.)
Subunit Structure: Heterodimer. Forms a ternary complex with PGAM5 and KEAP1. May bind DNA with an unknown protein. Interacts via its leucine-zipper domain with the coiled-coil domain of PMF1. Interacts with EEF1D at heat shock promoter elements (HSE). Interacts (via the bZIP domain) with MAFK; required for binding to antioxidant response (ARE) elements on DNA. Interacts with CHD6; involved in activation of the transcription. Interacts with ESRRB; represses NFE2L2 transcriptional activity (By similarity).
Post-translational Modifications: Phosphorylation of Ser-40 by PKC in response to oxidative stress dissociates NFE2L2 from its cytoplasmic inhibitor KEAP1, promoting its translocation into the nucleus. Acetylation at Lys-596 and Lys-599 increases nuclear localization whereas deacetylation by SIRT1 enhances cytoplasmic presence. Ubiquitinated by the KEAP1-CUL3-RBX1 E3 ubiquitin ligase complex and subject to proteasomal degradation. Ubiquitination is inhibited by sulforaphane.
Similarity: Acidic activation domain in the N-terminus, and DNA binding domain in the C-terminus. Belongs to the bZIP family. CNC subfamily.
NCBI and Uniprot Product Information
Customer Reviews
Loading reviews...
Share Your Experience
Similar Products
Product Notes
The nrf2 nfe2l2 (Catalog #AAA327189) is an Antibody produced from Rabbit and is intended for research purposes only. The product is available for immediate purchase. The Phospho-nrf2(Ser40) Antibody reacts with Human, Mouse, Rat and may cross-react with other species as described in the data sheet. AAA Biotech's nrf2 can be used in a range of immunoassay formats including, but not limited to, ELISA, ICC (Immunocytochemistry), IF (Immunofluorescence), IHC (Immunohistochemistry), WB (Western Blot). Researchers should empirically determine the suitability of the nrf2 nfe2l2 for an application not listed in the data sheet. Researchers commonly develop new applications and it is an integral, important part of the investigative research process. It is sometimes possible for the material contained within the vial of "nrf2, Polyclonal Antibody" to become dispersed throughout the inside of the vial, particularly around the seal of said vial, during shipment and storage. We always suggest centrifuging these vials to consolidate all of the liquid away from the lid and to the bottom of the vial prior to opening. Please be advised that certain products may require dry ice for shipping and that, if this is the case, an additional dry ice fee may also be required.Precautions
All products in the AAA Biotech catalog are strictly for research-use only, and are absolutely not suitable for use in any sort of medical, therapeutic, prophylactic, in-vivo, or diagnostic capacity. By purchasing a product from AAA Biotech, you are explicitly certifying that said products will be properly tested and used in line with industry standard. AAA Biotech and its authorized distribution partners reserve the right to refuse to fulfill any order if we have any indication that a purchaser may be intending to use a product outside of our accepted criteria.Disclaimer
Though we do strive to guarantee the information represented in this datasheet, AAA Biotech cannot be held responsible for any oversights or imprecisions. AAA Biotech reserves the right to adjust any aspect of this datasheet at any time and without notice. It is the responsibility of the customer to inform AAA Biotech of any product performance issues observed or experienced within 30 days of receipt of said product. To see additional details on this or any of our other policies, please see our Terms & Conditions page.Item has been added to Shopping Cart
If you are ready to order, navigate to Shopping Cart and get ready to checkout.
