Rabbit NUDT21 Polyclonal Antibody | anti-NUDT21 antibody
NUDT21 Antibody
Phosphate buffered saline, pH 7.4, 150mM NaCl, 0.02% sodium azide and 50% glycerol.
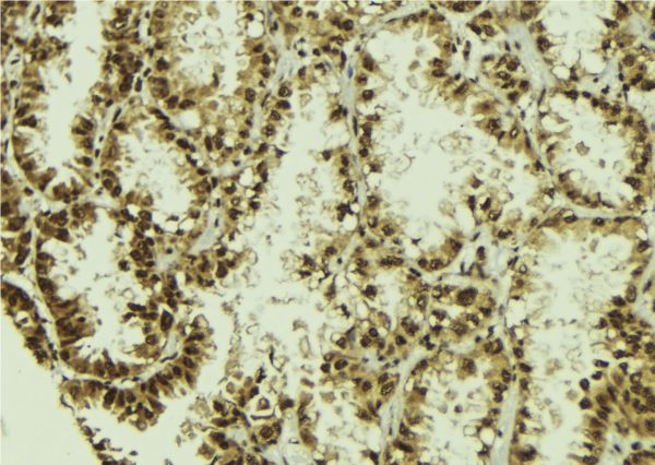
IHC (Immunohiostchemistry)
(AAA322991 at 1/100 staining Human lung tissue by IHC-P. The sample was formaldehyde fixed and a heat mediated antigen retrieval step in citrate buffer was performed. The sample was then blocked and incubated with the antibody for 1.5 hours at 22 degree C. An HRP conjugated goat anti-rabbit antibody was used as the secondary.)
WB (Western Blot)
(Western blot analysis of extracts from HepG2, using NUDT21 antibody. Lane 1 was treated with the blocking peptide.)
Subunit Structure: Homodimer (via N-and C-terminus); binds RNA as homodimer (PubMed:20695905, PubMed:18445629, PubMed:20479262). Component of the cleavage factor Im (CFIm) complex which is an heterotetramer composed of two subunits of NUDT21/CPSF5 and two subunits of CPSF6 or CPSF7 or an heterodimer of CPSF6 and CPSF7 (PubMed:9659921, PubMed:8626397, PubMed:14561889, PubMed:20695905, PubMed:23187700, PubMed:21295486). The cleavage factor Im (CFIm) complex associates with the CPSF and CSTF complexes to promote the assembly of the core mRNA 3'-processing machinery (PubMed:29276085). Interacts with CPSF6 (via the RRM domain); this interaction is direct and enhances binding to RNA (PubMed:14561889, PubMed:15169763, PubMed:17172643, PubMed:19864460, PubMed:29276085). Interacts with CPSF7 (PubMed:29276085, Ref. 29). Interacts with FIP1L1; this interaction occurs in a RNA sequence-specific manner (PubMed:15937220). Interacts with PABPN1 (PubMed:15169763). Interacts (via N-terminus) with PAPOLA (via C-terminus); this interaction is direct and diminished by acetylation (PubMed:15169763, PubMed:17172643). Interacts with SNRNP70 (PubMed:14561889).
Post-translational Modifications: Acetylated mainly by p300/CBP, recruited to the complex by CPSF6. Acetylation decreases interaction with PAPAO. Deacetylated by the class I/II HDACs, HDAC1, HDAC3 and HDAC10, and by the class III HDACs, SIRT1 AND SIRT2.
Similarity: Belongs to the Nudix hydrolase family. CPSF5 subfamily.
NCBI and Uniprot Product Information
Predicted: 27 kDa
Customer Reviews
Loading reviews...
Share Your Experience
Similar Products
Product Notes
The NUDT21 nudt21 (Catalog #AAA322991) is an Antibody produced from Rabbit and is intended for research purposes only. The product is available for immediate purchase. The NUDT21 Antibody reacts with Human, Mouse, Rat and may cross-react with other species as described in the data sheet. AAA Biotech's NUDT21 can be used in a range of immunoassay formats including, but not limited to, IHC (Immunohistochemistry), WB (Western Blot). Researchers should empirically determine the suitability of the NUDT21 nudt21 for an application not listed in the data sheet. Researchers commonly develop new applications and it is an integral, important part of the investigative research process. It is sometimes possible for the material contained within the vial of "NUDT21, Polyclonal Antibody" to become dispersed throughout the inside of the vial, particularly around the seal of said vial, during shipment and storage. We always suggest centrifuging these vials to consolidate all of the liquid away from the lid and to the bottom of the vial prior to opening. Please be advised that certain products may require dry ice for shipping and that, if this is the case, an additional dry ice fee may also be required.Precautions
All products in the AAA Biotech catalog are strictly for research-use only, and are absolutely not suitable for use in any sort of medical, therapeutic, prophylactic, in-vivo, or diagnostic capacity. By purchasing a product from AAA Biotech, you are explicitly certifying that said products will be properly tested and used in line with industry standard. AAA Biotech and its authorized distribution partners reserve the right to refuse to fulfill any order if we have any indication that a purchaser may be intending to use a product outside of our accepted criteria.Disclaimer
Though we do strive to guarantee the information represented in this datasheet, AAA Biotech cannot be held responsible for any oversights or imprecisions. AAA Biotech reserves the right to adjust any aspect of this datasheet at any time and without notice. It is the responsibility of the customer to inform AAA Biotech of any product performance issues observed or experienced within 30 days of receipt of said product. To see additional details on this or any of our other policies, please see our Terms & Conditions page.Item has been added to Shopping Cart
If you are ready to order, navigate to Shopping Cart and get ready to checkout.
