Rabbit NXF3 Polyclonal Antibody | anti-NXF3 antibody
NXF3 antibody - C-terminal region
WB (Western Blot)
(WB Suggested Anti-NXF3 Antibody Titration: 1.25ug/mlPositive Control: RPMI 8226 cell lysateNXF3 is supported by BioGPS gene expression data to be expressed in RPMI 8226)
IHC (Immunohiostchemistry)
(Rabbit Anti-NXF3 AntibodyParaffin Embedded Tissue: Human KidneyCellular Data: Epithelial cells of renal tubuleAntibody Concentration: 4.0-8.0 ug/mlMagnification: 400X)
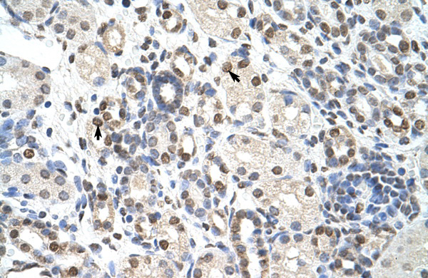
IHC (Immunohistochemistry)
(Rabbit Anti-NXF3 AntibodyParaffin Embedded Tissue: Human HeartCellular Data: Myocardial cellsAntibody Concentration: 4.0-8.0 ug/mlMagnification: 400X)
Target Description: NXF3 is one member of a family of nuclear RNA export factors. Common domain features of this family are a noncanonical RNP-type RNA-binding domain (RBD), 4 leucine-rich repeats (LRRs), a nuclear transport factor 2 (NTF2)-like domain that allows heterodimerization with NTF2-related export protein-1 (NXT1), and a ubiquitin-associated domain that mediates interactions with nucleoporins. The LRRs and NTF2-like domains are required for export activity. NXF3 has shortened LRR and ubiquitin-associated domains and its RDB is unable to bind RNA. It is located in the nucleoplasm but is not associated with either the nuclear envelope or the nucleolus.This gene is one member of a family of nuclear RNA export factor genes. Common domain features of this family are a noncanonical RNP-type RNA-binding domain (RBD), 4 leucine-rich repeats (LRRs), a nuclear transport factor 2 (NTF2)-like domain that allows heterodimerization with NTF2-related export protein-1 (NXT1), and a ubiquitin-associated domain that mediates interactions with nucleoporins. The LRRs and NTF2-like domains are required for export activity. Alternative splicing seems to be a common mechanism in this gene family. The encoded protein of this gene has shortened LRR and ubiquitin-associated domains and its RDB is unable to bind RNA. It is located in the nucleoplasm but is not associated with either the nuclear envelope or the nucleolus.
NCBI and Uniprot Product Information
Customer Reviews
Loading reviews...
Share Your Experience
Similar Products
Product Notes
The NXF3 nxf3 (Catalog #AAA198778) is an Antibody produced from Rabbit and is intended for research purposes only. The product is available for immediate purchase. The NXF3 antibody - C-terminal region reacts with Cow, Dog, Guinea Pig, Horse, Human, Pig, Rabbit, Rat and may cross-react with other species as described in the data sheet. AAA Biotech's NXF3 can be used in a range of immunoassay formats including, but not limited to, WB (Western Blot), IHC (Immunohistochemistry). Researchers should empirically determine the suitability of the NXF3 nxf3 for an application not listed in the data sheet. Researchers commonly develop new applications and it is an integral, important part of the investigative research process. The amino acid sequence is listed below: Synthetic peptide located within the following region: SSFLVDMWYQ TEWMLCFSVN GVFKEVEGQS QGSVLAFTRT FIATPGSSSS. It is sometimes possible for the material contained within the vial of "NXF3, Polyclonal Antibody" to become dispersed throughout the inside of the vial, particularly around the seal of said vial, during shipment and storage. We always suggest centrifuging these vials to consolidate all of the liquid away from the lid and to the bottom of the vial prior to opening. Please be advised that certain products may require dry ice for shipping and that, if this is the case, an additional dry ice fee may also be required.Precautions
All products in the AAA Biotech catalog are strictly for research-use only, and are absolutely not suitable for use in any sort of medical, therapeutic, prophylactic, in-vivo, or diagnostic capacity. By purchasing a product from AAA Biotech, you are explicitly certifying that said products will be properly tested and used in line with industry standard. AAA Biotech and its authorized distribution partners reserve the right to refuse to fulfill any order if we have any indication that a purchaser may be intending to use a product outside of our accepted criteria.Disclaimer
Though we do strive to guarantee the information represented in this datasheet, AAA Biotech cannot be held responsible for any oversights or imprecisions. AAA Biotech reserves the right to adjust any aspect of this datasheet at any time and without notice. It is the responsibility of the customer to inform AAA Biotech of any product performance issues observed or experienced within 30 days of receipt of said product. To see additional details on this or any of our other policies, please see our Terms & Conditions page.Item has been added to Shopping Cart
If you are ready to order, navigate to Shopping Cart and get ready to checkout.
