Host
Rabbit
Reactivity
Human, Mouse, Rat
Clonality
Polyclonal
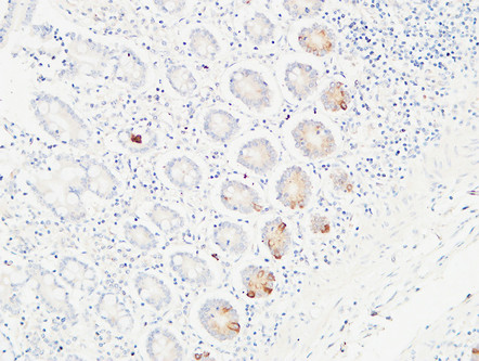
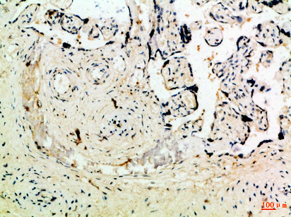
Applicable Applications for anti-Ob antibody
IHC (Immunohistochemistry)
Preparation and Storage
Maintain refrigerated at 2-8 degree C for up to 2 weeks. For long term storage store at -20 degree C in small aliquots to prevent freeze-thaw cycles.
Related Product Information for anti-Ob antibody
Key player in the regulation of energy balance and body weight control. Once released into the circulation, has central and peripheral effects by binding LEPR, found in many tissues, which results in the activation of several major signaling pathways (PubMed:15899045, PubMed:19688109). In the hypothalamus, acts as an appetite-regulating factor that induces a decrease in food intake and an increase in energy consumption by inducing anorexinogenic factors and suppressing orexigenic neuropeptides, also regulates bone mass and secretion of hypothalamo-pituitary-adrenal hormones. In the periphery, increases basal metabolism, influences reproductive function, regulates pancreatic beta-cell function and insulin secretion, is pro-angiogenic for endothelial cell and affects innate and adaptive immunity (By similarity)(PubMed:11460888, PubMed:19688109, PubMed:24340098, PubMed:25060689). In the arcuate nucleus of the hypothalamus, activates by depolarization POMC neurons inducing FOS and SOCS3 expression to release anorexigenic peptides and inhibits by hyperpolarization NPY neurons inducing SOCS3 with a consequent reduction on release of orexigenic peptides (By similarity). In addition to its known satiety inducing effect, has a modulatory role in nutrient absorption. In the intestine, reduces glucose absorption by enterocytes by activating PKC and leading to a sequential activation of p38, PI3K and ERK signaling pathways which exerts an inhibitory effect on glucose absorption (PubMed:19688109). In adaptive immunity, promotes the switch of memory T-cells towards T helper-1 cell immune responses (By similarity). Increases CD4 (+)CD25 (-) T-cell proliferation and reduces autophagy during TCR (T-cell receptor) stimulation, through MTOR signaling pathway activation and BCL2 up-regulation (PubMed:25060689).
NCBI and Uniprot Product Information
NCBI GI #
NCBI GeneID
NCBI Accession #
NCBI GenBank Nucleotide #
Molecular Weight
18,641 Da
NCBI Official Full Name
leptin
NCBI Official Synonym Full Names
leptin
NCBI Official Symbol
LEP
NCBI Official Synonym Symbols
OB; OBS; LEPD
NCBI Protein Information
leptin; obese protein; obesity factor; obese, mouse, homolog of; leptin (murine obesity homolog); leptin (obesity homolog, mouse)
UniProt Protein Name
Leptin
UniProt Gene Name
LEP
UniProt Synonym Gene Names
OB; OBS
UniProt Entry Name
LEP_HUMAN
Customer Reviews
Loading reviews...
Share Your Experience
Similar Products
Product Notes
The Ob lep (Catalog #AAA296620) is an Antibody produced from Rabbit and is intended for research purposes only. The product is available for immediate purchase. The Ob Polyclonal Antibody reacts with Human, Mouse, Rat and may cross-react with other species as described in the data sheet. AAA Biotech's Ob can be used in a range of immunoassay formats including, but not limited to, IHC (Immunohistochemistry). Researchers should empirically determine the suitability of the Ob lep for an application not listed in the data sheet. Researchers commonly develop new applications and it is an integral, important part of the investigative research process. It is sometimes possible for the material contained within the vial of "Ob, Polyclonal Antibody" to become dispersed throughout the inside of the vial, particularly around the seal of said vial, during shipment and storage. We always suggest centrifuging these vials to consolidate all of the liquid away from the lid and to the bottom of the vial prior to opening. Please be advised that certain products may require dry ice for shipping and that, if this is the case, an additional dry ice fee may also be required.Precautions
All products in the AAA Biotech catalog are strictly for research-use only, and are absolutely not suitable for use in any sort of medical, therapeutic, prophylactic, in-vivo, or diagnostic capacity. By purchasing a product from AAA Biotech, you are explicitly certifying that said products will be properly tested and used in line with industry standard. AAA Biotech and its authorized distribution partners reserve the right to refuse to fulfill any order if we have any indication that a purchaser may be intending to use a product outside of our accepted criteria.Disclaimer
Though we do strive to guarantee the information represented in this datasheet, AAA Biotech cannot be held responsible for any oversights or imprecisions. AAA Biotech reserves the right to adjust any aspect of this datasheet at any time and without notice. It is the responsibility of the customer to inform AAA Biotech of any product performance issues observed or experienced within 30 days of receipt of said product. To see additional details on this or any of our other policies, please see our Terms & Conditions page.Item has been added to Shopping Cart
If you are ready to order, navigate to Shopping Cart and get ready to checkout.
