Rabbit ODC1 Polyclonal Antibody | anti-ODC1 antibody
ODC1 Polyclonal Antibody
Gene Names
ODC1; ODC
Reactivity
Human, Mouse, Rat
Applications
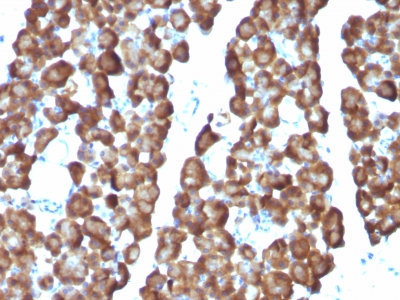
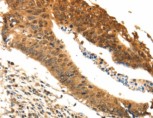
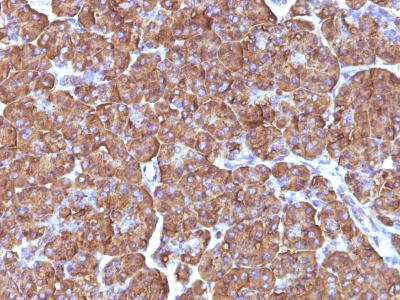
Immunohistochemistry, ELISA
Purity
Antigen affinity purification
Synonyms
ODC1, Antibody; ODC1 Polyclonal Antibody; ODC; anti-ODC1 antibody
Host
Rabbit
Reactivity
Human, Mouse, Rat
Clonality
Polyclonal
Isotype
IgG
Purity/Purification
Antigen affinity purification
Concentration
0.9mg/mL (varies by lot)
Sequence Length
461
Applicable Applications for anti-ODC1 antibody
IHC (Immunohistochemistry), ELISA
Immunogen
Recombinant protein of human ODC1
Buffer
PBS with 0.05% sodium azide, 50% glycerol, pH7.3
Preparation and Storage
Store at -20 degree C (regular) and -80 degree C (long term). Avoid freeze / thaw cycles.
Related Product Information for anti-ODC1 antibody
This gene encodes the rate-limiting enzyme of the polyamine biosynthesis pathway which catalyzes ornithine to putrescine. The activity level for the enzyme varies in response to growth-promoting stimuli and exhibits a high turnover rate in comparison to other mammalian proteins. Originally localized to both chromosomes 2 and 7, the gene encoding this enzyme has been determined to be located on 2p25, with a pseudogene located on 7q31-qter.
Product Categories/Family for anti-ODC1 antibody
NCBI and Uniprot Product Information
NCBI GI #
NCBI GeneID
Molecular Weight
51,148 Da
NCBI Official Full Name
Ornithine decarboxylase
NCBI Official Synonym Full Names
ornithine decarboxylase 1
NCBI Official Symbol
ODC1
NCBI Official Synonym Symbols
ODC
NCBI Protein Information
ornithine decarboxylase
UniProt Protein Name
Ornithine decarboxylase
UniProt Gene Name
ODC1
UniProt Synonym Gene Names
ODC
UniProt Entry Name
DCOR_HUMAN
Customer Reviews
Loading reviews...
Share Your Experience
Similar Products
Product Notes
The ODC1 odc1 (Catalog #AAA166702) is an Antibody produced from Rabbit and is intended for research purposes only. The product is available for immediate purchase. The ODC1 Polyclonal Antibody reacts with Human, Mouse, Rat and may cross-react with other species as described in the data sheet. AAA Biotech's ODC1 can be used in a range of immunoassay formats including, but not limited to, IHC (Immunohistochemistry), ELISA. Researchers should empirically determine the suitability of the ODC1 odc1 for an application not listed in the data sheet. Researchers commonly develop new applications and it is an integral, important part of the investigative research process. It is sometimes possible for the material contained within the vial of "ODC1, Polyclonal Antibody" to become dispersed throughout the inside of the vial, particularly around the seal of said vial, during shipment and storage. We always suggest centrifuging these vials to consolidate all of the liquid away from the lid and to the bottom of the vial prior to opening. Please be advised that certain products may require dry ice for shipping and that, if this is the case, an additional dry ice fee may also be required.Precautions
All products in the AAA Biotech catalog are strictly for research-use only, and are absolutely not suitable for use in any sort of medical, therapeutic, prophylactic, in-vivo, or diagnostic capacity. By purchasing a product from AAA Biotech, you are explicitly certifying that said products will be properly tested and used in line with industry standard. AAA Biotech and its authorized distribution partners reserve the right to refuse to fulfill any order if we have any indication that a purchaser may be intending to use a product outside of our accepted criteria.Disclaimer
Though we do strive to guarantee the information represented in this datasheet, AAA Biotech cannot be held responsible for any oversights or imprecisions. AAA Biotech reserves the right to adjust any aspect of this datasheet at any time and without notice. It is the responsibility of the customer to inform AAA Biotech of any product performance issues observed or experienced within 30 days of receipt of said product. To see additional details on this or any of our other policies, please see our Terms & Conditions page.Item has been added to Shopping Cart
If you are ready to order, navigate to Shopping Cart and get ready to checkout.
