Rabbit ONECUT1 Polyclonal Antibody | anti-ONECUT1 antibody
ONECUT1 antibody - middle region
Gene Names
ONECUT1; HNF6; HNF-6; HNF6A
Reactivity
Cow, Dog, Horse, Human, Mouse, Pig, Rabbit, Rat, Zebrafish
Applications
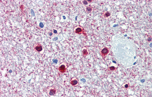
Western Blot, Immunohistochemistry
Purity
Affinity Purified
Synonyms
ONECUT1, Antibody; ONECUT1 antibody - middle region; anti-ONECUT1 antibody
Host
Rabbit
Reactivity
Cow, Dog, Horse, Human, Mouse, Pig, Rabbit, Rat, Zebrafish
Clonality
Polyclonal
Purity/Purification
Affinity Purified
Form/Format
Liquid. Purified antibody supplied in 1x PBS buffer with 0.09% (w/v) sodium azide and 2% sucrose.
Sequence
Synthetic peptide located within the following region: ITISQQLGLELSTVSNFFMNARRRSLDKWQDEGSSNSGNSSSSSSTCTKA
Sequence Length
465
Applicable Applications for anti-ONECUT1 antibody
WB (Western Blot), IHC (Immunohistochemistry)
Homology
Cow: 93%; Dog: 100%; Horse: 100%; Human: 100%; Mouse: 86%; Pig: 100%; Rabbit: 100%; Rat: 100%; Zebrafish: 79%
Immunogen
The immunogen is a synthetic peptide directed towards the middle region of human ONECUT1
Preparation and Storage
For short term use, store at 2-8 degree C up to 1 week. For long term storage, store at -20 degree C in small aliquots to prevent freeze-thaw cycles.
Related Product Information for anti-ONECUT1 antibody
This is a rabbit polyclonal antibody against ONECUT1. It was validated on Western Blot using a cell lysate as a positive control.
Target Description: ONECUT1 belongs to the CUT homeobox family. It contains 1 CUT DNA-binding domain and 1 homeobox DNA-binding domain. It is a transcriptional activator. ONECUT1 binds the consensus sequence 5'-DHWATTGAYTWWD-3' on a variety of gene promoters such as those of HNF3B and TTR. It is important for liver genes transcription.
Target Description: ONECUT1 belongs to the CUT homeobox family. It contains 1 CUT DNA-binding domain and 1 homeobox DNA-binding domain. It is a transcriptional activator. ONECUT1 binds the consensus sequence 5'-DHWATTGAYTWWD-3' on a variety of gene promoters such as those of HNF3B and TTR. It is important for liver genes transcription.
Product Categories/Family for anti-ONECUT1 antibody
NCBI and Uniprot Product Information
NCBI GI #
NCBI GeneID
NCBI Accession #
NCBI GenBank Nucleotide #
UniProt Accession #
Molecular Weight
51kDa
NCBI Official Full Name
hepatocyte nuclear factor 6
NCBI Official Synonym Full Names
one cut homeobox 1
NCBI Official Symbol
ONECUT1
NCBI Official Synonym Symbols
HNF6; HNF-6; HNF6A
NCBI Protein Information
hepatocyte nuclear factor 6
UniProt Protein Name
Hepatocyte nuclear factor 6
UniProt Gene Name
ONECUT1
UniProt Synonym Gene Names
HNF6; HNF6A; HNF-6
UniProt Entry Name
HNF6_HUMAN
Customer Reviews
Loading reviews...
Share Your Experience
Similar Products
Product Notes
The ONECUT1 onecut1 (Catalog #AAA198323) is an Antibody produced from Rabbit and is intended for research purposes only. The product is available for immediate purchase. The ONECUT1 antibody - middle region reacts with Cow, Dog, Horse, Human, Mouse, Pig, Rabbit, Rat, Zebrafish and may cross-react with other species as described in the data sheet. AAA Biotech's ONECUT1 can be used in a range of immunoassay formats including, but not limited to, WB (Western Blot), IHC (Immunohistochemistry). Researchers should empirically determine the suitability of the ONECUT1 onecut1 for an application not listed in the data sheet. Researchers commonly develop new applications and it is an integral, important part of the investigative research process. The amino acid sequence is listed below: Synthetic peptide located within the following region: ITISQQLGLE LSTVSNFFMN ARRRSLDKWQ DEGSSNSGNS SSSSSTCTKA. It is sometimes possible for the material contained within the vial of "ONECUT1, Polyclonal Antibody" to become dispersed throughout the inside of the vial, particularly around the seal of said vial, during shipment and storage. We always suggest centrifuging these vials to consolidate all of the liquid away from the lid and to the bottom of the vial prior to opening. Please be advised that certain products may require dry ice for shipping and that, if this is the case, an additional dry ice fee may also be required.Precautions
All products in the AAA Biotech catalog are strictly for research-use only, and are absolutely not suitable for use in any sort of medical, therapeutic, prophylactic, in-vivo, or diagnostic capacity. By purchasing a product from AAA Biotech, you are explicitly certifying that said products will be properly tested and used in line with industry standard. AAA Biotech and its authorized distribution partners reserve the right to refuse to fulfill any order if we have any indication that a purchaser may be intending to use a product outside of our accepted criteria.Disclaimer
Though we do strive to guarantee the information represented in this datasheet, AAA Biotech cannot be held responsible for any oversights or imprecisions. AAA Biotech reserves the right to adjust any aspect of this datasheet at any time and without notice. It is the responsibility of the customer to inform AAA Biotech of any product performance issues observed or experienced within 30 days of receipt of said product. To see additional details on this or any of our other policies, please see our Terms & Conditions page.Item has been added to Shopping Cart
If you are ready to order, navigate to Shopping Cart and get ready to checkout.
