OPA1 Polyclonal Antibody | anti-OPA1 antibody
Anti-OPA1 Antibody
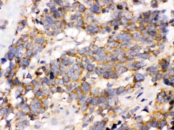
IHC (Immunohistochemistry)
(Anti- OPA1 Picoband antibody, AAA46411, IHC(P)IHC(P): Human Lung Cancer Tissue)
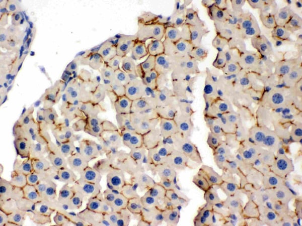
IHC (Immunohiostchemistry)
(Anti- OPA1 Picoband antibody, AAA46411, IHC(P)IHC(P): Mouse Liver Tissue)
WB (Western Blot)
(Anti- OPA1 Picoband antibody, AAA46411, Western blottingAll lanes: Anti OPA1 (AAA46411) at 0.5ug/mlLane 1: A549 Whole Cell Lysate at 40ugLane 2: SKOV Whole Cell Lysate at 40ugLane 3: SW620 Whole Cell Lysate at 40ugPredicted bind size: 110KDObserved bind size: 95KD)
Background: Dynamin-like 120 kDa protein, mitochondrial is a protein that in humans is encoded by the OPA1 gene. It is mapped to 3q29. This protein regulates mitochondrial fusion and cristae structure in the inner mitochondrial membrane (IMM) and contributes to ATP synthesis and apoptosis. This gene product is a nuclear-encoded mitochondrial protein with similarity to dynamin-related GTPases. It is a component of the mitochondrial network. Mutations in this gene have been associated with optic atrophy type 1, which is a dominantly inherited optic neuropathy resulting in progressive loss of visual acuity, leading in many cases to legal blindness. Multiple transcript variants encoding different isoforms have been found for this gene.
NCBI and Uniprot Product Information
Customer Reviews
Loading reviews...
Share Your Experience
Similar Products
Product Notes
The OPA1 opa1 (Catalog #AAA46411) is an Antibody and is intended for research purposes only. The product is available for immediate purchase. The Anti-OPA1 Antibody reacts with Human, Mouse, Rat and may cross-react with other species as described in the data sheet. AAA Biotech's OPA1 can be used in a range of immunoassay formats including, but not limited to, IHC (Immunohistochemistry), WB (Western Blot). Researchers should empirically determine the suitability of the OPA1 opa1 for an application not listed in the data sheet. Researchers commonly develop new applications and it is an integral, important part of the investigative research process. It is sometimes possible for the material contained within the vial of "OPA1, Polyclonal Antibody" to become dispersed throughout the inside of the vial, particularly around the seal of said vial, during shipment and storage. We always suggest centrifuging these vials to consolidate all of the liquid away from the lid and to the bottom of the vial prior to opening. Please be advised that certain products may require dry ice for shipping and that, if this is the case, an additional dry ice fee may also be required.Precautions
All products in the AAA Biotech catalog are strictly for research-use only, and are absolutely not suitable for use in any sort of medical, therapeutic, prophylactic, in-vivo, or diagnostic capacity. By purchasing a product from AAA Biotech, you are explicitly certifying that said products will be properly tested and used in line with industry standard. AAA Biotech and its authorized distribution partners reserve the right to refuse to fulfill any order if we have any indication that a purchaser may be intending to use a product outside of our accepted criteria.Disclaimer
Though we do strive to guarantee the information represented in this datasheet, AAA Biotech cannot be held responsible for any oversights or imprecisions. AAA Biotech reserves the right to adjust any aspect of this datasheet at any time and without notice. It is the responsibility of the customer to inform AAA Biotech of any product performance issues observed or experienced within 30 days of receipt of said product. To see additional details on this or any of our other policies, please see our Terms & Conditions page.Item has been added to Shopping Cart
If you are ready to order, navigate to Shopping Cart and get ready to checkout.
