Rabbit Osteopontin (OPN) Polyclonal Antibody | anti-OPN antibody
Polyclonal Antibody to Osteopontin (OPN)
Avoid repeated freeze/thaw cycles.
Store at 4ºC for frequent use.
Aliquot and store at -20ºC for 24 months.
Stability Test:
The thermal stability is described by the loss rate. The loss rate was determined by accelerated thermal degradation test, that is, incubate the protein at 37°C for 48h, and no obvious degradation and precipitation were observed. The loss rate is less than 5% within the expiration date under appropriate storage condition.
WB (Western Blot)
(Western Blot; Sample: Lane1: MouseKidney lysate;Lane2: Human Jurkat cell lysate;Lane3: Human Urine;Lane4: Porcine Kidney lysate;Primary Ab: 1ug/mL Rabbit Anti-Porcine OPN AntibodySecond Ab: 0.2ug/mL HRP-Linked)
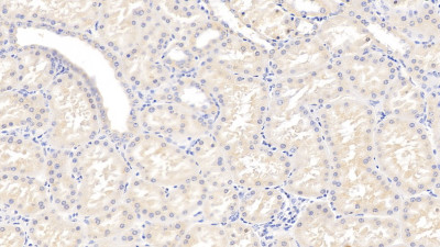
IHC (Immunohistochemistry)
(DAB staining on IHC-P; SamplesPorcine Kidney Tissue; Primary Ab:30ug/ml Rabbit Anti-Porcine OPNControl: Used PBS instead of primary antibodySecond Ab: 2ug/ml HRP-Linked)
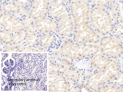
IHC (Immunohistochemistry)
(DAB staining on IHC-P; SamplesPorcine Kidney Tissue; Primary Ab:30ug/ml Rabbit Anti-Porcine OPNAntibody Second Ab: 2ug/mL HRP-Linked Caprine Anti-Rabbit IgG)
NCBI and Uniprot Product Information
Similar Products
Product Notes
The OPN (Catalog #AAA149471) is an Antibody produced from Rabbit and is intended for research purposes only. The product is available for immediate purchase. The Polyclonal Antibody to Osteopontin (OPN) reacts with Pig, Human, Mouse and may cross-react with other species as described in the data sheet. AAA Biotech's Osteopontin (OPN) can be used in a range of immunoassay formats including, but not limited to, IP (Immunoprecipitation), ICC (Immunocytochemistry), IHC (Immunohistochemistry), WB (Western Blot). Researchers should empirically determine the suitability of the OPN for an application not listed in the data sheet. Researchers commonly develop new applications and it is an integral, important part of the investigative research process. It is sometimes possible for the material contained within the vial of "Osteopontin (OPN), Polyclonal Antibody" to become dispersed throughout the inside of the vial, particularly around the seal of said vial, during shipment and storage. We always suggest centrifuging these vials to consolidate all of the liquid away from the lid and to the bottom of the vial prior to opening. Please be advised that certain products may require dry ice for shipping and that, if this is the case, an additional dry ice fee may also be required.Precautions
All products in the AAA Biotech catalog are strictly for research-use only, and are absolutely not suitable for use in any sort of medical, therapeutic, prophylactic, in-vivo, or diagnostic capacity. By purchasing a product from AAA Biotech, you are explicitly certifying that said products will be properly tested and used in line with industry standard. AAA Biotech and its authorized distribution partners reserve the right to refuse to fulfill any order if we have any indication that a purchaser may be intending to use a product outside of our accepted criteria.Disclaimer
Though we do strive to guarantee the information represented in this datasheet, AAA Biotech cannot be held responsible for any oversights or imprecisions. AAA Biotech reserves the right to adjust any aspect of this datasheet at any time and without notice. It is the responsibility of the customer to inform AAA Biotech of any product performance issues observed or experienced within 30 days of receipt of said product. To see additional details on this or any of our other policies, please see our Terms & Conditions page.Item has been added to Shopping Cart
If you are ready to order, navigate to Shopping Cart and get ready to checkout.
