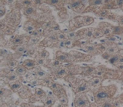
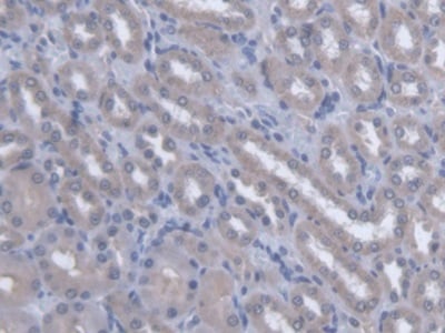
Rabbit anti-Human OSTM1 Polyclonal Antibody | anti-OSTM1 antibody
OSTM1 Antibody - C-terminal region
Gene Names
OSTM1; GL; GIPN; OPTB5; HSPC019
Reactivity
Human
Applications
Western Blot
Purity
Affinity purified
Synonyms
OSTM1, Antibody; OSTM1 Antibody - C-terminal region; anti-OSTM1 antibody
Host
Rabbit
Reactivity
Human
Clonality
Polyclonal
Purity/Purification
Affinity purified
Form/Format
Liquid. Purified antibody supplied in 1x PBS buffer with 0.09% (w/v) sodium azide and 2% sucrose.
Sequence
Synthetic peptide located within the following region: VPVIAVSVFILFLPVVFYLSSFLHSEQKKRKLILPKRLKSSTSFANIQEN
Sequence Length
334
Applicable Applications for anti-OSTM1 antibody
WB (Western Blot)
Immunogen
The immunogen is a synthetic peptide directed towards the C terminal region of human OSTM1
Blocking Peptide
For anti-OSTM1 (MBS3222492) antibody is ( )
Preparation and Storage
For short term use, store at 2-8 degree C up to 1 week. For long term storage, store at -20 degree C in small aliquots to prevent freeze-thaw cycles.
Related Product Information for anti-OSTM1 antibody
This gene encodes a protein that may be involved in the degradation of G proteins via the ubiquitin-dependent proteasome pathway. The encoded protein binds to members of subfamily A of the regulator of the G-protein signaling (RGS) family through an N-terminal leucine-rich region. This protein also has a central RING finger-like domain and E3 ubiquitin ligase activity. This protein is highly conserved from flies to humans. Defects in this gene may cause the autosomal recessive, infantile malignant form of osteopetrosis.
Product Categories/Family for anti-OSTM1 antibody
NCBI and Uniprot Product Information
NCBI GI #
NCBI GeneID
NCBI Accession #
NCBI GenBank Nucleotide #
UniProt Accession #
Molecular Weight
36 kDa
NCBI Official Full Name
osteopetrosis-associated transmembrane protein 1
NCBI Official Synonym Full Names
osteoclastogenesis associated transmembrane protein 1
NCBI Official Symbol
OSTM1
NCBI Official Synonym Symbols
GL; GIPN; OPTB5; HSPC019
NCBI Protein Information
osteopetrosis-associated transmembrane protein 1
UniProt Protein Name
Osteopetrosis-associated transmembrane protein 1
UniProt Gene Name
OSTM1
UniProt Synonym Gene Names
GL
UniProt Entry Name
OSTM1_HUMAN
Customer Reviews
Loading reviews...
Share Your Experience
Similar Products
Product Notes
The OSTM1 ostm1 (Catalog #AAA201612) is an Antibody produced from Rabbit and is intended for research purposes only. The product is available for immediate purchase. The OSTM1 Antibody - C-terminal region reacts with Human and may cross-react with other species as described in the data sheet. AAA Biotech's OSTM1 can be used in a range of immunoassay formats including, but not limited to, WB (Western Blot). Researchers should empirically determine the suitability of the OSTM1 ostm1 for an application not listed in the data sheet. Researchers commonly develop new applications and it is an integral, important part of the investigative research process. The amino acid sequence is listed below: Synthetic peptide located within the following region: VPVIAVSVFI LFLPVVFYLS SFLHSEQKKR KLILPKRLKS STSFANIQEN. It is sometimes possible for the material contained within the vial of "OSTM1, Polyclonal Antibody" to become dispersed throughout the inside of the vial, particularly around the seal of said vial, during shipment and storage. We always suggest centrifuging these vials to consolidate all of the liquid away from the lid and to the bottom of the vial prior to opening. Please be advised that certain products may require dry ice for shipping and that, if this is the case, an additional dry ice fee may also be required.Precautions
All products in the AAA Biotech catalog are strictly for research-use only, and are absolutely not suitable for use in any sort of medical, therapeutic, prophylactic, in-vivo, or diagnostic capacity. By purchasing a product from AAA Biotech, you are explicitly certifying that said products will be properly tested and used in line with industry standard. AAA Biotech and its authorized distribution partners reserve the right to refuse to fulfill any order if we have any indication that a purchaser may be intending to use a product outside of our accepted criteria.Disclaimer
Though we do strive to guarantee the information represented in this datasheet, AAA Biotech cannot be held responsible for any oversights or imprecisions. AAA Biotech reserves the right to adjust any aspect of this datasheet at any time and without notice. It is the responsibility of the customer to inform AAA Biotech of any product performance issues observed or experienced within 30 days of receipt of said product. To see additional details on this or any of our other policies, please see our Terms & Conditions page.Item has been added to Shopping Cart
If you are ready to order, navigate to Shopping Cart and get ready to checkout.
