Rabbit anti-Human p16 Polyclonal Antibody | anti-p16 antibody
p16 (C20) Antibody
Gene Names
CDKN2A; ARF; MLM; P14; P16; P19; CMM2; INK4; MTS1; TP16; CDK4I; CDKN2; INK4A; MTS-1; P14ARF; P19ARF; P16INK4; P16INK4A; P16-INK4A
Reactivity
Human
Applications
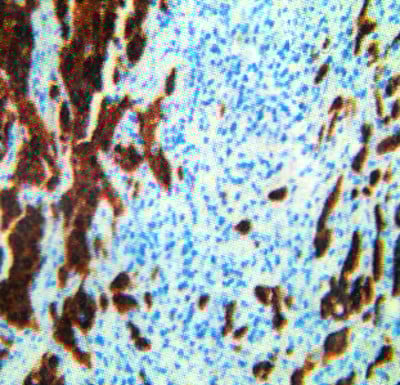
Western Blot, Immunoprecipitation, Immunohistochemistry
Synonyms
p16, Antibody; p16 (C20) Antibody; anti-p16 antibody
Host
Rabbit
Reactivity
Human
Clonality
Polyclonal
Specificity
p16(C20) reacts with p16 of human origin by Western Blotting, Immunoprecipitation, and Immunohistochemistry. Western Blotting starting dilution: 1:200.
Form/Format
200 ug/ml of affinity purified rabbit IgG, p16 (C20) DB018, in 1ml PBS containing 0.1 % sodium azide and 0.2% gelatin.
Sequence Length
67
Applicable Applications for anti-p16 antibody
WB (Western Blot), IP (Immunoprecipitation), IHC (Immunohistochemistry)
Application Notes
p16(C20) DB018 reacts with p16 of human origin by western blotting, immunoprecipitation, and immunohistochemistry. Western blotting starting dilution: 1:200.
Origin
p16 (C20) is provided as an affinity purified rabbit polyclonal antibody, raised against a peptide mapping to the carboxy terminus of human p16.
Product Details
Each vial contains 200ug/ml of affinity purified rabbit IgG, p16 (C20), in 1 ml PBS containing 0.1% sodium azide and 0.2% gelatin.
Immunogen
Synthetic peptide mapping to the carboxy terminus of human p16.
Competition Studies
A blocking peptide is also available for use in competititon studies. Each vial containing 100 ug of peptide in 0.5ml PBS with 0.1% sodium azide and 100 ug BSA.
Preparation and Storage
Store this product at 4 degree C, do not freeze. The product is stable for one year from the date of shipment.
Related Product Information for anti-p16 antibody
The progression through the cell cycle is regulated by cyclins and their cognate Cdks by promoting cell cycle transitions (1,2,3). This orderly progression can be inhibited by a family of proteins known as CDK inhibitors (CDIs) that bind to cyclin/Cdk complexes and halt cell division (3). p21 (also designated WAF1/Cip1) is one has been shown to inhibit the activity of each member of the cyclin/Cdk family and over expression of this protein inhibits the proliferation of mammalian cells (5). The expression of p21 is inducible by a wide range of stress stimuli and its transcription can be enhanced by p53 (6). Another member of the CDIs is p27 (also known as Kip1), which also sees up regulation in response to antimitogenic stimuli (7). The increased protein expression of p27 results in cellular arrest by binding to cyclin/Cdk complexes, like cyclin D1/Cdk4 (4,8). An additional CDI has been found to bind Cdk4 and Cdk6, p16 (INK4A), and when such complexes are formed, the progression of the cell cycle is halted (9). It has become increasingly clear that p16 is a very important tumor suppressor gene whose frequent loss occurs early in many human cancers. p16 is a major target in carcinogenesis that is rivaled in frequency only by p53 (10).
References
1.) Bihani T, Mason DX, Jackson TJ, Chen SC, Boettner B, Lin AW. 2004. Differential oncogenic Ras signaling and senescence in tumor cells. Cell Cycle 3(9):1201-7. 2.) Weebadda WK, Jackson TJ, Lin AW. 2005. Expression of p16(INK4A) variants in senescent human fibroblasts independent of protein phosphorylation. J Cell Biochem. Apr 15;94(6):1135-47.3.) Mason DX, Jackson TJ, Lin AW. Molecular signature of oncogenic ras-induced senescence. Oncogene. 2004 Dec 9;23(57):9238-46.4.) Bihani T, Chicas A, Lo CP, Lin AW. 2007. Dissecting the senescence-like program in tumor cells activated by Ras signaling. J Biol Chem. Jan 26;282(4):2666-75.5.) Achour M, Jacq X, Rondé P, Alhosin M, Charlot C, Chataigneau T, Jeanblanc M, Macaluso M, Giordano A, Hughes AD, Schini-Kerth VB, Bronner C. 2007. The interaction of the SRA domain of ICBP90 with a novel domain of DNMT1 is involved in the regulation of VEGF gene expression. Oncogene. Oct 15.
1. Harper JW, Adami GR, Wei N, Keyomarsi K, Elledge SJ. 1993. The p21 Cdk-interacting protein Cip1 is a potent inhibitor of G1 cyclin-dependent kinases. Cell 75(4):805-816.2. Gartel AL, Serfas MS, Tyner AL. 1996. p21 - -negative regulator of the cell cycle. Proc Soc Exp Biol Med 213(2):138-149.3. Moller MB. 2000. p27 in cell cycle control and cancer. Leuk Lymphoma 39(1-2):19-27.4. Sgambato A, Cittadini A, Faraglia B, Weinstein IB. 2000. Multiple functions of p27(Kip1) and its alterations in tumor cells: a review. J Cell Physiol 183(1):18-27.5. Xiong Y, Hannon GJ, Zhang H, Casso D, Kobayashi R, Beach D. 1993. p21 is a universal inhibitor of cyclin kinases. Nature 366(6456):634.6. Gorospe M, Wang X, Holbrook NJ. 1999. Functional role of p21 during the cellular response to stress. Gene Expr 7(4-6):377-385.7. Slingerland J, Pagano M. 2000. Regulation of the cdk inhibitor p27 and its deregulation in cancer. J Cell Physiol 183(1):10-17.8. Toyoshima H, Hunter T. 1994. p27, a novel inhibitor of G1 cyclin-Cdk protein kinase activity, is related to p21. Cell 78(1):67-74.9. Shapiro GI, Edwards CD, Rollins BJ. 2000. The physiology of p16(INK4A)-mediated G1 proliferative arrest. Cell Biochem Biophys 33(2):189-197.10. Liggett WH Jr, Sidransky D. 1998. Role of the p16 tumor suppressor gene in cancer. J Clin Oncol 16(3):1197-1206.
1. Harper JW, Adami GR, Wei N, Keyomarsi K, Elledge SJ. 1993. The p21 Cdk-interacting protein Cip1 is a potent inhibitor of G1 cyclin-dependent kinases. Cell 75(4):805-816.2. Gartel AL, Serfas MS, Tyner AL. 1996. p21 - -negative regulator of the cell cycle. Proc Soc Exp Biol Med 213(2):138-149.3. Moller MB. 2000. p27 in cell cycle control and cancer. Leuk Lymphoma 39(1-2):19-27.4. Sgambato A, Cittadini A, Faraglia B, Weinstein IB. 2000. Multiple functions of p27(Kip1) and its alterations in tumor cells: a review. J Cell Physiol 183(1):18-27.5. Xiong Y, Hannon GJ, Zhang H, Casso D, Kobayashi R, Beach D. 1993. p21 is a universal inhibitor of cyclin kinases. Nature 366(6456):634.6. Gorospe M, Wang X, Holbrook NJ. 1999. Functional role of p21 during the cellular response to stress. Gene Expr 7(4-6):377-385.7. Slingerland J, Pagano M. 2000. Regulation of the cdk inhibitor p27 and its deregulation in cancer. J Cell Physiol 183(1):10-17.8. Toyoshima H, Hunter T. 1994. p27, a novel inhibitor of G1 cyclin-Cdk protein kinase activity, is related to p21. Cell 78(1):67-74.9. Shapiro GI, Edwards CD, Rollins BJ. 2000. The physiology of p16(INK4A)-mediated G1 proliferative arrest. Cell Biochem Biophys 33(2):189-197.10. Liggett WH Jr, Sidransky D. 1998. Role of the p16 tumor suppressor gene in cancer. J Clin Oncol 16(3):1197-1206.
NCBI and Uniprot Product Information
NCBI GI #
NCBI GeneID
NCBI Official Full Name
p16, partial
NCBI Official Synonym Full Names
cyclin-dependent kinase inhibitor 2A
NCBI Official Symbol
CDKN2A
NCBI Official Synonym Symbols
ARF; MLM; P14; P16; P19; CMM2; INK4; MTS1; TP16; CDK4I; CDKN2; INK4A; MTS-1; P14ARF; P19ARF; P16INK4; P16INK4A; P16-INK4A
NCBI Protein Information
cyclin-dependent kinase inhibitor 2A; CDK4 inhibitor p16-INK4; CDKN2A; alternative reading frame; cell cycle negative regulator beta; cyclin-dependent kinase 4 inhibitor A; cyclin-dependent kinase inhibitor 2A (melanoma, p16, inhibits CDK4); multiple tumor suppressor 1
UniProt Protein Name
P16
UniProt Gene Name
CDKN2A
UniProt Entry Name
Q208B5_HUMAN
Customer Reviews
Loading reviews...
Share Your Experience
Similar Products
Product Notes
The p16 cdkn2a (Catalog #AAA13850) is an Antibody produced from Rabbit and is intended for research purposes only. The product is available for immediate purchase. The p16 (C20) Antibody reacts with Human and may cross-react with other species as described in the data sheet. AAA Biotech's p16 can be used in a range of immunoassay formats including, but not limited to, WB (Western Blot), IP (Immunoprecipitation), IHC (Immunohistochemistry). p16(C20) DB018 reacts with p16 of human origin by western blotting, immunoprecipitation, and immunohistochemistry. Western blotting starting dilution: 1:200. Researchers should empirically determine the suitability of the p16 cdkn2a for an application not listed in the data sheet. Researchers commonly develop new applications and it is an integral, important part of the investigative research process. It is sometimes possible for the material contained within the vial of "p16, Polyclonal Antibody" to become dispersed throughout the inside of the vial, particularly around the seal of said vial, during shipment and storage. We always suggest centrifuging these vials to consolidate all of the liquid away from the lid and to the bottom of the vial prior to opening. Please be advised that certain products may require dry ice for shipping and that, if this is the case, an additional dry ice fee may also be required.Precautions
All products in the AAA Biotech catalog are strictly for research-use only, and are absolutely not suitable for use in any sort of medical, therapeutic, prophylactic, in-vivo, or diagnostic capacity. By purchasing a product from AAA Biotech, you are explicitly certifying that said products will be properly tested and used in line with industry standard. AAA Biotech and its authorized distribution partners reserve the right to refuse to fulfill any order if we have any indication that a purchaser may be intending to use a product outside of our accepted criteria.Disclaimer
Though we do strive to guarantee the information represented in this datasheet, AAA Biotech cannot be held responsible for any oversights or imprecisions. AAA Biotech reserves the right to adjust any aspect of this datasheet at any time and without notice. It is the responsibility of the customer to inform AAA Biotech of any product performance issues observed or experienced within 30 days of receipt of said product. To see additional details on this or any of our other policies, please see our Terms & Conditions page.Item has been added to Shopping Cart
If you are ready to order, navigate to Shopping Cart and get ready to checkout.
