Rabbit p40 (deltaNp63) Polyclonal Antibody | anti-TP63 antibody
p40 (deltaNp63) (Squamous, Basal & Myoepithelial Cell Marker) Rabbit Polyclonal Antibody
Gene Names
TP63; AIS; KET; LMS; NBP; RHS; p40; p51; p63; EEC3; OFC8; p73H; p73L; SHFM4; TP53L; TP73L; p53CP; TP53CP; B(p51A); B(p51B)
Reactivity
Human, Mouse, Rat, Cow
Applications
Western Blot, Immunohistochemistry
Synonyms
p40 (deltaNp63), Antibody; p40 (deltaNp63) (Squamous, Basal & Myoepithelial Cell Marker) Rabbit Polyclonal Antibody; deltaNp63, TP63; anti-TP63 antibody
Host
Rabbit
Reactivity
Human, Mouse, Rat, Cow
Clonality
Polyclonal
Isotype
IgG/kappa
Form/Format
200ug/ml of Ab Purified from rabbit anti-serum by Protein A. Prepared in 10mM PBS with 0.05% BSA & 0.05% azide. Also available WITHOUT BSA at 1.0mg/ml.
Sequence Length
555
Applicable Applications for anti-TP63 antibody
WB (Western Blot), IHC (Immunohistochemistry)
Application Notes
IHC: 1-2ug/ml 30 min at RT. Staining of formalin-fixed tissues requires heating tissue sections in 10mM Tris with 1mM EDTA, pH 9.0, for 45 min at 95°C followed by cooling at RT for 20 minutes.
WB: 2-4ug/ml
WB: 2-4ug/ml
Cellular Localization
Nucleus
Immunogen
A synthetic peptide (ENNAQTQFSEPQY) corresponding to aa5-17 of human p40
Research Areas
Apoptosis, Basal Cell Marker, Cancer, Nuclear Marker, Stem Cell Differentiation, Transcription Factors
Positive Control
HEK293 cells. Prostate Carcinoma or Lung Squamous Cell Carcinoma.
Specificity Note
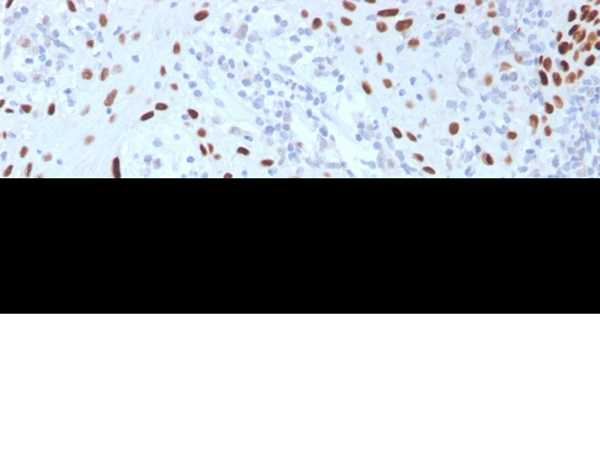
p40 (p63 delta) is a marker recently determined to be highly specific for squamous basal cells in the immunohistochemistry (IHC) application. The current more routinely recommended marker, p63, appears to have less specificity compared to p40, especially on squamous cell tumors. The ability to differentiate between lung adenocarcinoma vs. squamous cell carcinoma is difficult and has bearing on the different therapeutic avenues for each subtype treatment. p63 antibody's ability to distinguish between the tumor types appears to be inferior when compared to p40. The ability to utilize an antibody probe for p40 as a squamous cell marker bolsters its use for future sub-classification of lung cancers, especially by immunohistochemical techniques.
Preparation and Storage
Antibody with azide - store at 2 to 8°C. Antibody without azide - store at -20 to -80°C. Non-hazardous. No MSDS required.
References
Bishop, JA et. al. Modern Pathology 25 : 405-4152. Scagliotti G et. al. J Thorac Oncol 6:64-70. 3. Kargi A et. al. Appl Immunohistochem Mol Morphol 15:415-420
NCBI and Uniprot Product Information
NCBI GI #
NCBI GeneID
NCBI Accession #
NCBI GenBank Nucleotide #
UniProt Accession #
Molecular Weight
40kDa
NCBI Official Full Name
tumor protein 63 isoform 2
NCBI Official Synonym Full Names
tumor protein p63
NCBI Official Symbol
TP63
NCBI Official Synonym Symbols
AIS; KET; LMS; NBP; RHS; p40; p51; p63; EEC3; OFC8; p73H; p73L; SHFM4; TP53L; TP73L; p53CP; TP53CP; B(p51A); B(p51B)
NCBI Protein Information
tumor protein 63
UniProt Protein Name
Tumor protein 63
UniProt Gene Name
TP63
UniProt Synonym Gene Names
KET; P63; P73H; P73L; TP73L; p63; CUSP; TP63; p73L
UniProt Entry Name
P63_HUMAN
Customer Reviews
Loading reviews...
Share Your Experience
Similar Products
Product Notes
The TP63 tp63 (Catalog #AAA13805) is an Antibody produced from Rabbit and is intended for research purposes only. The product is available for immediate purchase. The p40 (deltaNp63) (Squamous, Basal & Myoepithelial Cell Marker) Rabbit Polyclonal Antibody reacts with Human, Mouse, Rat, Cow and may cross-react with other species as described in the data sheet. AAA Biotech's p40 (deltaNp63) can be used in a range of immunoassay formats including, but not limited to, WB (Western Blot), IHC (Immunohistochemistry). IHC: 1-2ug/ml 30 min at RT. Staining of formalin-fixed tissues requires heating tissue sections in 10mM Tris with 1mM EDTA, pH 9.0, for 45 min at 95°C followed by cooling at RT for 20 minutes. WB: 2-4ug/ml. Researchers should empirically determine the suitability of the TP63 tp63 for an application not listed in the data sheet. Researchers commonly develop new applications and it is an integral, important part of the investigative research process. It is sometimes possible for the material contained within the vial of "p40 (deltaNp63), Polyclonal Antibody" to become dispersed throughout the inside of the vial, particularly around the seal of said vial, during shipment and storage. We always suggest centrifuging these vials to consolidate all of the liquid away from the lid and to the bottom of the vial prior to opening. Please be advised that certain products may require dry ice for shipping and that, if this is the case, an additional dry ice fee may also be required.Precautions
All products in the AAA Biotech catalog are strictly for research-use only, and are absolutely not suitable for use in any sort of medical, therapeutic, prophylactic, in-vivo, or diagnostic capacity. By purchasing a product from AAA Biotech, you are explicitly certifying that said products will be properly tested and used in line with industry standard. AAA Biotech and its authorized distribution partners reserve the right to refuse to fulfill any order if we have any indication that a purchaser may be intending to use a product outside of our accepted criteria.Disclaimer
Though we do strive to guarantee the information represented in this datasheet, AAA Biotech cannot be held responsible for any oversights or imprecisions. AAA Biotech reserves the right to adjust any aspect of this datasheet at any time and without notice. It is the responsibility of the customer to inform AAA Biotech of any product performance issues observed or experienced within 30 days of receipt of said product. To see additional details on this or any of our other policies, please see our Terms & Conditions page.Item has been added to Shopping Cart
If you are ready to order, navigate to Shopping Cart and get ready to checkout.
