Rabbit P47 Polyclonal Antibody | anti-P47 antibody
P47 Antibody
Phosphate buffered saline, pH 7.4, 150mM NaCl, 0.02% sodium azide and 50% glycerol.
WB (Western Blot)
(Western blot analysis of P47 expression in HepG2 cells, The lane on the left is treated with the antigen-specific peptide.)
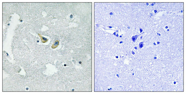
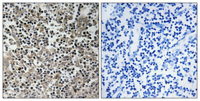
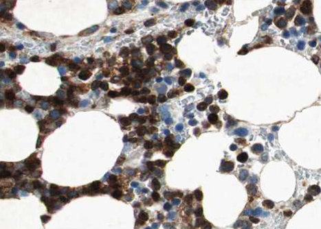
IHC (Immunohiostchemistry)
(AAA321885 at 1/100 staining human Bone marrow tissue sections by IHC-P. The tissue was formaldehyde fixed and a heat mediated antigen retrieval step in citrate buffer was performed. The tissue was then blocked and incubated with the antibody for 1.5 hours at 22 degree C. An HRP conjugated goat anti-rabbit antibody was used as the secondary.)
IF (Immunofluorescence)
(AAA321885 staining LOVO cells by ICC/IF. Cells were fixed with PFA and permeabilized in 0.1% saponin prior to blocking in 10% serum for 45 minutes at 37 degree C. The primary antibody was diluted 1/400 and incubated with the sample for 1 hour at 37 degree C. A Alexa Fluor 594 conjugated goat polyclonal to rabbit IgG (H+L), diluted 1/600 was used as secondary antibody.)
Function: NCF2, NCF1, and a membrane bound cytochrome b558 are required for activation of the latent NADPH oxidase (necessary for superoxide production).
Subunit Structure: Component of an NADPH oxidase complex composed of a heterodimer formed by the membrane proteins CYBA and CYBB and the cytosolic subunits NCF1, NCF2 and NCF4. Interacts (via C-terminus) with NCF2 (via the C-terminal SH3 domain). Interacts with NCF4. Interacts with CYBB. Interacts (via the second SH3 domain) with CYBA. Interacts with NOXA1. Interacts with ADAM15. Interacts with TRAF4. Interacts with FASLG. Interacts with PARK7 (via C-terminus); the interaction is enhanced by LPS and modulates NCF1 phosphorylation and membrane translocation (By similarity).
Post-translational Modifications: Phosphorylated by PRKCD; phosphorylation induces activation of NCF1 and NADPH oxidase activity.
Similarity: The PX domain mediates interaction with phosphatidylinositol 3, 4-bisphosphate and other anionic phospholipids. In the autoinhibited, unphosphorylated state an intramolecular interaction with the C-terminal SH3 domain precludes phospholipid binding and interaction with CYBA. Phosphorylation disrupts the autoinhibited state.
NCBI and Uniprot Product Information
Predicted: 45 kDa
Customer Reviews
Loading reviews...
Share Your Experience
Similar Products
Product Notes
The P47 ncf1 (Catalog #AAA321885) is an Antibody produced from Rabbit and is intended for research purposes only. The product is available for immediate purchase. The P47 Antibody reacts with Human, Mouse, Rat and may cross-react with other species as described in the data sheet. AAA Biotech's P47 can be used in a range of immunoassay formats including, but not limited to, ELISA, ICC (Immunocytochemistry), IF (Immunofluorescence), IHC (Immunohistochemistry), WB (Western Blot). Researchers should empirically determine the suitability of the P47 ncf1 for an application not listed in the data sheet. Researchers commonly develop new applications and it is an integral, important part of the investigative research process. It is sometimes possible for the material contained within the vial of "P47, Polyclonal Antibody" to become dispersed throughout the inside of the vial, particularly around the seal of said vial, during shipment and storage. We always suggest centrifuging these vials to consolidate all of the liquid away from the lid and to the bottom of the vial prior to opening. Please be advised that certain products may require dry ice for shipping and that, if this is the case, an additional dry ice fee may also be required.Precautions
All products in the AAA Biotech catalog are strictly for research-use only, and are absolutely not suitable for use in any sort of medical, therapeutic, prophylactic, in-vivo, or diagnostic capacity. By purchasing a product from AAA Biotech, you are explicitly certifying that said products will be properly tested and used in line with industry standard. AAA Biotech and its authorized distribution partners reserve the right to refuse to fulfill any order if we have any indication that a purchaser may be intending to use a product outside of our accepted criteria.Disclaimer
Though we do strive to guarantee the information represented in this datasheet, AAA Biotech cannot be held responsible for any oversights or imprecisions. AAA Biotech reserves the right to adjust any aspect of this datasheet at any time and without notice. It is the responsibility of the customer to inform AAA Biotech of any product performance issues observed or experienced within 30 days of receipt of said product. To see additional details on this or any of our other policies, please see our Terms & Conditions page.Item has been added to Shopping Cart
If you are ready to order, navigate to Shopping Cart and get ready to checkout.
