Rabbit anti-Human PACAP Polyclonal Antibody | anti-PACAP antibody
PACAP Polyclonal Antibody
Gene Names
MZB1; PACAP; pERp1; MEDA-7
Reactivity
Human
Applications
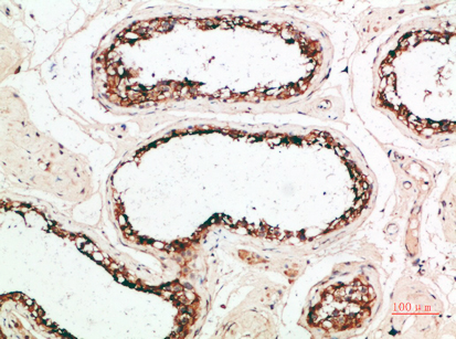
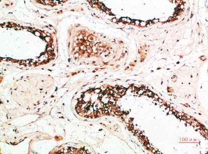
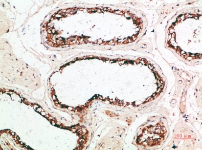
Immunohistochemistry
Synonyms
PACAP, Antibody; PACAP Polyclonal Antibody; Plasma cell-induced resident endoplasmic reticulum protein (Plasma cell-induced resident ER protein)(pERp1)(Proapoptotic caspase adapter protein); anti-PACAP antibody
Host
Rabbit
Reactivity
Human
Clonality
Polyclonal
Applicable Applications for anti-PACAP antibody
IHC (Immunohistochemistry)
Preparation and Storage
Maintain refrigerated at 2-8 degree C for up to 2 weeks. For long term storage store at -20 degree C in small aliquots to prevent freeze-thaw cycles.
Related Product Information for anti-PACAP antibody
Associates with immunoglobulin M (IgM) heavy and light chains and promotes IgM assembly and secretion. May exert its effect by acting as a molecular chaperone or as an oxidoreductase as it displays a low level of oxidoreductase activity (By similarity). Isoform 2 may be involved in regulation of apoptosis. Helps to diversify peripheral B-cell functions by regulating Ca (2+) stores, antibody secretion and integrin activation.
NCBI and Uniprot Product Information
NCBI GI #
NCBI GeneID
NCBI Accession #
NCBI GenBank Nucleotide #
Molecular Weight
6,681 Da
NCBI Official Full Name
marginal zone B- and B1-cell-specific protein
NCBI Official Synonym Full Names
marginal zone B and B1 cell-specific protein
NCBI Official Symbol
MZB1
NCBI Official Synonym Symbols
PACAP; pERp1; MEDA-7
NCBI Protein Information
marginal zone B- and B1-cell-specific protein; HSPC190; caspase-2 binding protein; mesenteric estrogen-dependent adipose 7; mesenteric oestrogen-dependent adipose gene- 7; plasma cell-induced ER protein 1; plasma cell-induced resident ER protein; plasma c
UniProt Protein Name
Marginal zone B- and B1-cell-specific protein
UniProt Gene Name
MZB1
UniProt Synonym Gene Names
MEDA7; PACAP; MEDA-7; Plasma cell-induced resident ER protein; pERp1
UniProt Entry Name
MZB1_HUMAN
Customer Reviews
Loading reviews...
Share Your Experience
Similar Products
Product Notes
The PACAP mzb1 (Catalog #AAA296605) is an Antibody produced from Rabbit and is intended for research purposes only. The product is available for immediate purchase. The PACAP Polyclonal Antibody reacts with Human and may cross-react with other species as described in the data sheet. AAA Biotech's PACAP can be used in a range of immunoassay formats including, but not limited to, IHC (Immunohistochemistry). Researchers should empirically determine the suitability of the PACAP mzb1 for an application not listed in the data sheet. Researchers commonly develop new applications and it is an integral, important part of the investigative research process. It is sometimes possible for the material contained within the vial of "PACAP, Polyclonal Antibody" to become dispersed throughout the inside of the vial, particularly around the seal of said vial, during shipment and storage. We always suggest centrifuging these vials to consolidate all of the liquid away from the lid and to the bottom of the vial prior to opening. Please be advised that certain products may require dry ice for shipping and that, if this is the case, an additional dry ice fee may also be required.Precautions
All products in the AAA Biotech catalog are strictly for research-use only, and are absolutely not suitable for use in any sort of medical, therapeutic, prophylactic, in-vivo, or diagnostic capacity. By purchasing a product from AAA Biotech, you are explicitly certifying that said products will be properly tested and used in line with industry standard. AAA Biotech and its authorized distribution partners reserve the right to refuse to fulfill any order if we have any indication that a purchaser may be intending to use a product outside of our accepted criteria.Disclaimer
Though we do strive to guarantee the information represented in this datasheet, AAA Biotech cannot be held responsible for any oversights or imprecisions. AAA Biotech reserves the right to adjust any aspect of this datasheet at any time and without notice. It is the responsibility of the customer to inform AAA Biotech of any product performance issues observed or experienced within 30 days of receipt of said product. To see additional details on this or any of our other policies, please see our Terms & Conditions page.Item has been added to Shopping Cart
If you are ready to order, navigate to Shopping Cart and get ready to checkout.
