Rabbit PAK1 Polyclonal Antibody | anti-PAK1 antibody
Phospho-PAK1 (Thr212) Antibody
Phosphate buffered saline, pH 7.4, 150mM NaCl, 0.02% sodium azide and 50% glycerol.
WB (Western Blot)
(Western blot analysis of extracts from mouse brain, using Phospho-PAK1 (Thr212) Antibody.)
WB (Western Blot)
(Western blot analysis of PAK1 phosphorylation expression in etoposide treated 293 whole cell lysates, The lane on the left is treated with the antigen-specific peptide.)
IF (Immunofluorescence)
(AAA321714 staining 293 by IF/ICC. The sample were fixed with PFA and permeabilized in 0.1% Triton X-100, then blocked in 10% serum for 45 minutes at 25 degree C. The primary antibody was diluted at 1/200 and incubated with the sample for 1 hour at 37 degree C. An Alexa Fluor 594 conjugated goat anti-rabbit IgG (H+L) Ab, diluted at 1/600, was used as the secondary antibody.)
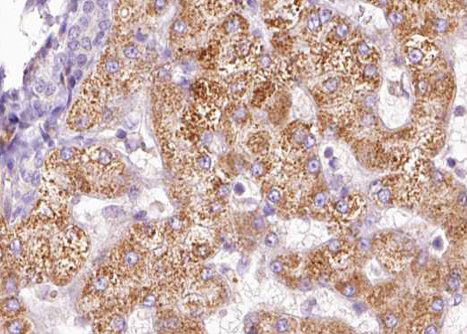
IHC (Immunohiostchemistry)
(AAA321714 at 1/100 staining human liver carcinoma tissue sections by IHC-P. The tissue was formaldehyde fixed and a heat mediated antigen retrieval step in citrate buffer was performed. The tissue was then blocked and incubated with the antibody for 1.5 hours at 22 degree C. An HRP conjugated goat anti-rabbit antibody was used as the secondary.)
WB (Western Blot)
(Western blot analysis of PAK1 phosphorylation expression in mouse brain tissue lysates, The lane on the right is treated with the antigen-specific peptide.)
Function: Protein kinase involved in intracellular signaling pathways downstream of integrins and receptor-type kinases that plays an important role in cytoskeleton dynamics, in cell adhesion, migration, proliferation, apoptosis, mitosis, and in vesicle-mediated transport processes. Can directly phosphorylate BAD and protects cells against apoptosis. Activated by interaction with CDC42 and RAC1. Functions as GTPase effector that links the Rho-related GTPases CDC42 and RAC1 to the JNK MAP kinase pathway. Phosphorylates and activates MAP2K1, and thereby mediates activation of downstream MAP kinases. Involved in the reorganization of the actin cytoskeleton, actin stress fibers and of focal adhesion complexes. Phosphorylates the tubulin chaperone TBCB and thereby plays a role in the regulation of microtubule biogenesis and organization of the tubulin cytoskeleton. Plays a role in the regulation of insulin secretion in response to elevated glucose levels. Part of a ternary complex that contains PAK1, DVL1 and MUSK that is important for MUSK-dependent regulation of AChR clustering during the formation of the neuromuscular junction (NMJ). Activity is inhibited in cells undergoing apoptosis, potentially due to binding of CDC2L1 and CDC2L2. Phosphorylates MYL9/MLC2. Phosphorylates RAF1 at 'Ser-338' and 'Ser-339' resulting in: activation of RAF1, stimulation of RAF1 translocation to mitochondria, phosphorylation of BAD by RAF1, and RAF1 binding to BCL2. Phosphorylates SNAI1 at 'Ser-246' promoting its transcriptional repressor activity by increasing its accumulation in the nucleus. In podocytes, promotes NR3C2 nuclear localization. Required for atypical chemokine receptor ACKR2-induced phosphorylation of LIMK1 and cofilin (CFL1) and for the up-regulation of ACKR2 from endosomal compartment to cell membrane, increasing its efficiency in chemokine uptake and degradation. In synapses, seems to mediate the regulation of F-actin cluster formation performed by SHANK3, maybe through CFL1 phosphorylation and inactivation. Plays a role in RUFY3-mediated facilitating gastric cancer cells migration and invasion (PubMed:25766321).
Subunit Structure: Homodimer in its autoinhibited state. Active as monomer. Component of cytoplasmic complexes, which also contains PXN, ARHGEF6 and GIT1. Interacts with NISCH (By similarity). Interacts with DVL1; mediates the formation of a DVL1, MUSK and PAK1 ternary complex involved in AChR clustering (By similarity). Binds to the caspase-cleaved p110 isoform of CDC2L1 and CDC2L2, p110C, but not the full-length proteins (PubMed:12624090). Interacts with ARHGEF7 (PubMed:16101281). Interacts tightly with GTP-bound but not GDP-bound CDC42/P21 and RAC1 (By similarity). Probably found in a ternary complex composed of DSCAM, PAK1 and RAC1. Interacts with DSCAM (via cytoplasmic domain); the interaction is direct and enhanced in presence of RAC1 (PubMed:15169762). Interacts with SCRIB (PubMed:18716323). Interacts with PDPK1 (PubMed:10995762). Interacts (via kinase domain) with RAF1 (PubMed:11733498). Interacts with NCK1 and NCK2 (PubMed:10026169). Interacts with TBCB (PubMed:15831477). Interacts with CRIPAK (PubMed:16278681). Interacts with BRSK2 (By similarity). Interacts with SNAI1 (PubMed:15833848). Interacts with CIB1 isoform 2 (PubMed:23503467). Interacts with CIB1 (via N-terminal region); the interaction is direct, promotes PAK1 activity and occurs in a calcium-dependent manner. Interacts with INPP5K (PubMed:26940976).
Post-translational Modifications: Autophosphorylated in trans, meaning that in a dimer, one kinase molecule phosphorylates the other one. Activated by autophosphorylation at Thr-423 in response to a conformation change, triggered by interaction with GTP-bound CDC42 or RAC1. Activated by phosphorylation at Thr-423 by BRSK2 and by PDPK1. Phosphorylated by JAK2 in response to PRL; this increases PAK1 kinase activity. Phosphorylated at Ser-21 by PKB/AKT; this reduces interaction with NCK1 and association with focal adhesion sites.
Similarity: Belongs to the protein kinase superfamily. STE Ser/Thr protein kinase family. STE20 subfamily.
NCBI and Uniprot Product Information
Predicted: 61 kDa
Customer Reviews
Loading reviews...
Share Your Experience
Similar Products
Product Notes
The PAK1 pak1 (Catalog #AAA321714) is an Antibody produced from Rabbit and is intended for research purposes only. The product is available for immediate purchase. The Phospho-PAK1 (Thr212) Antibody reacts with Human, Mouse, Rat and may cross-react with other species as described in the data sheet. AAA Biotech's PAK1 can be used in a range of immunoassay formats including, but not limited to, ELISA, ICC (Immunocytochemistry), IF (Immunofluorescence), IHC (Immunohistochemistry), WB (Western Blot). Researchers should empirically determine the suitability of the PAK1 pak1 for an application not listed in the data sheet. Researchers commonly develop new applications and it is an integral, important part of the investigative research process. It is sometimes possible for the material contained within the vial of "PAK1, Polyclonal Antibody" to become dispersed throughout the inside of the vial, particularly around the seal of said vial, during shipment and storage. We always suggest centrifuging these vials to consolidate all of the liquid away from the lid and to the bottom of the vial prior to opening. Please be advised that certain products may require dry ice for shipping and that, if this is the case, an additional dry ice fee may also be required.Precautions
All products in the AAA Biotech catalog are strictly for research-use only, and are absolutely not suitable for use in any sort of medical, therapeutic, prophylactic, in-vivo, or diagnostic capacity. By purchasing a product from AAA Biotech, you are explicitly certifying that said products will be properly tested and used in line with industry standard. AAA Biotech and its authorized distribution partners reserve the right to refuse to fulfill any order if we have any indication that a purchaser may be intending to use a product outside of our accepted criteria.Disclaimer
Though we do strive to guarantee the information represented in this datasheet, AAA Biotech cannot be held responsible for any oversights or imprecisions. AAA Biotech reserves the right to adjust any aspect of this datasheet at any time and without notice. It is the responsibility of the customer to inform AAA Biotech of any product performance issues observed or experienced within 30 days of receipt of said product. To see additional details on this or any of our other policies, please see our Terms & Conditions page.Item has been added to Shopping Cart
If you are ready to order, navigate to Shopping Cart and get ready to checkout.
