Rabbit anti-Human, rat Pan SUMO Polyclonal Antibody | anti-SUMO3 antibody
Pan SUMO Antibody
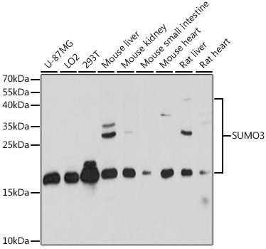
WB (Western Blot)
(SUMO3 Antibody western blot analysis in 293 cell line and rat liver tissue lysates (35ug/lane).This demonstrates the SUMO3 antibody detected the SUMO3 protein (arrow).)
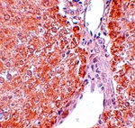
IHC (Immunohistochemisry)
(Formalin-fixed and paraffin-embedded human cancer tissue reacted with the primary antibody, which was peroxidase-conjugated to the secondary antibody, followed by AEC staining. This data demonstrates the use of this antibody for immunohistochemistry; clinical relevance has not been evaluated. BC = breast carcinoma; HC = hepatocarcinoma.)
IF (Immunofluorescence)
(Fluorescent confocal image of Hela cell stained with Pan SUMO Antibody. Hela cells were fixed with 4% PFA (20 min), permeabilized with Triton X-100 (0.1%, 10 min), then incubated with Pan SUMO primary antibody (1:25, 1 h at 37 degree). For secondary antibody, Alexa Fluor 488 conjugated donkey anti-rabbit antibody (green) was used (1:400, 50 min at 37 degree).Cytoplasmic actin was counterstained with Alexa Fluor 555 (red) conjugated Phalloidin (7units/ml, 1 h at 37 degree). Nuclei were counterstained with DAPI (blue) (10 ug/ml, 10 min).Pan SUMO immunoreactivity is localized to Nucleus significantly.)
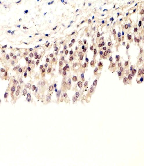
IHC (Immunohistochemistry)
(Immunohistochemical analysis of paraffin-embedded H.bladder section using Pan SUMO Antibody. AAA284759 was diluted at 1:100 dilution. A peroxidase-conjugated goat anti-rabbit IgG at 1:400 dilution was used as the secondary antibody, followed by DAB staining.)
Bailey, D., et al., J. Biol. Chem. 279(1):692-703 (2004).
Ling, Y., et al., Nucleic Acids Res. 32(2):598-610 (2004).
Pountney, D.L., et al., Exp. Neurol. 184(1):436-446 (2003).
Ohshima, T., et al., J. Biol. Chem. 278(51):50833-50842 (2003).
Strausberg, R.L., et al., Proc. Natl. Acad. Sci. U.S.A. 99(26):16899-16903 (2002).
Lapenta, V., et al., Genomics 40(2):362-366 (1997).
NCBI and Uniprot Product Information
Customer Reviews
Loading reviews...
Share Your Experience
Similar Products
Product Notes
The SUMO3 sumo3 (Catalog #AAA284759) is an Antibody produced from Rabbit and is intended for research purposes only. The product is available for immediate purchase. The Pan SUMO Antibody reacts with Human, rat and may cross-react with other species as described in the data sheet. AAA Biotech's Pan SUMO can be used in a range of immunoassay formats including, but not limited to, IHC (Immunohistochemistry), WB (Western Blot), ELISA, IF (Immunofluorescence). Researchers should empirically determine the suitability of the SUMO3 sumo3 for an application not listed in the data sheet. Researchers commonly develop new applications and it is an integral, important part of the investigative research process. It is sometimes possible for the material contained within the vial of "Pan SUMO, Polyclonal Antibody" to become dispersed throughout the inside of the vial, particularly around the seal of said vial, during shipment and storage. We always suggest centrifuging these vials to consolidate all of the liquid away from the lid and to the bottom of the vial prior to opening. Please be advised that certain products may require dry ice for shipping and that, if this is the case, an additional dry ice fee may also be required.Precautions
All products in the AAA Biotech catalog are strictly for research-use only, and are absolutely not suitable for use in any sort of medical, therapeutic, prophylactic, in-vivo, or diagnostic capacity. By purchasing a product from AAA Biotech, you are explicitly certifying that said products will be properly tested and used in line with industry standard. AAA Biotech and its authorized distribution partners reserve the right to refuse to fulfill any order if we have any indication that a purchaser may be intending to use a product outside of our accepted criteria.Disclaimer
Though we do strive to guarantee the information represented in this datasheet, AAA Biotech cannot be held responsible for any oversights or imprecisions. AAA Biotech reserves the right to adjust any aspect of this datasheet at any time and without notice. It is the responsibility of the customer to inform AAA Biotech of any product performance issues observed or experienced within 30 days of receipt of said product. To see additional details on this or any of our other policies, please see our Terms & Conditions page.Item has been added to Shopping Cart
If you are ready to order, navigate to Shopping Cart and get ready to checkout.
