Rabbit PAR1/Thrombin Receptor/F2R Polyclonal Antibody | anti-F2R antibody
Anti-PAR1/Thrombin Receptor/F2R Antibody
Gene Names
F2R; TR; HTR; CF2R; PAR1; PAR-1
Reactivity
Human, Mouse, Rat
Applications
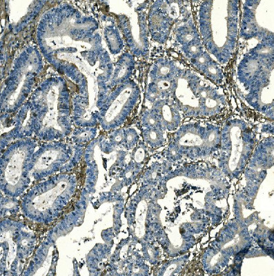
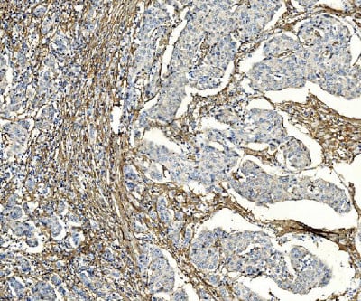
ELISA, Flow Cytometry, Functional Assay, Immunohistochemistry, Western Blot
Purity
Immunogen affinity purified.
Synonyms
PAR1/Thrombin Receptor/F2R, Antibody; Anti-PAR1/Thrombin Receptor/F2R Antibody; Proteinase-activated receptor 1; PAR-1; Coagulation factor II receptor; Thrombin receptor; F2R; CF2R, PAR1, TR; anti-F2R antibody
Host
Rabbit
Reactivity
Human, Mouse, Rat
Clonality
Polyclonal
Isotype
IgG
Specificity
No cross reactivity with other proteins.
Purity/Purification
Immunogen affinity purified.
Form/Format
Lyophilized
Each vial contains 4mg Trehalose, 0.9mg NaCl, 0.2mg Na2HPO4, 0.05mg NaN3.
Each vial contains 4mg Trehalose, 0.9mg NaCl, 0.2mg Na2HPO4, 0.05mg NaN3.
Sequence Length
425
Applicable Applications for anti-F2R antibody
ELISA (Direct ELISA), FCM/FACS (Flow Cytometry), IHC (Immunohistochemistry), WB (Western Blot)
Immunogen
E Coli-derived human PAR1/Thrombin Receptor/F2R recombinant protein (Position: K130-T425).
Reconstitution
0.2ml of distilled water will yield a concentration of 500ug/ml.
Preparation and Storage
Store at -20°C for one year date of receipt. After reconstitution, at 4°C for one month. It can also be aliquotted and stored frozen store at -20°C for 6 months.
Avoid repeated freezing and thawing.
Avoid repeated freezing and thawing.
Related Product Information for anti-F2R antibody
Background: Proteinase-activated receptor 1 (PAR1), also known as the coagulation factor II (thrombin) receptor, is a protein that in humans is encoded by the F2R gene. By fluorescence in situ hybridization, this gene is mapped to 5q13, confirming its presence as a single locus in the human genome. PAR1 is a G protein-coupled receptor involved in the regulation of thrombotic response. Proteolytic cleavage leads to the activation of the receptor. The expression of PAR1 is both required and sufficient to promote growth and invasion of breast carcinoma cells in a xenograft mouse model.
References
1. Bahou, W. F., Nierman, W. C., Durkin, A. S., Potter, C. L., Demetrick, D. J. Chromosomal assignment of the human thrombin receptor gene: localization to region q13 of chromosome 5. Blood 82: 1532-1537, 1993.
2. Boire, A., Covic, L., Agarwal, A., Jacques, S., Sherifi, S., Kuliopulos, A. PAR1 is a matrix metalloprotease-1 receptor that promotes invasion and tumorigenesis of breast cancer cells. Cell 120: 303-131, 2005.
3. Chu, H.-W., Cheng, C.-W., Chou, W.-C., Hu, L.-Y., Wang, H.-W., Hsiung, C.-N., Hsu, H.-M., Wu, P.-E., Hou, M.-F., Shen, C.-Y., Yu, J.-C. A novel estrogen receptor-microRNA 190a-PAR-1-pathway regulates breast cancer progression, a finding initially suggested by genome-wide analysis of loci associated with lymph-node metastasis. Hum. Molec. Genet. 23: 355-367, 2014.
2. Boire, A., Covic, L., Agarwal, A., Jacques, S., Sherifi, S., Kuliopulos, A. PAR1 is a matrix metalloprotease-1 receptor that promotes invasion and tumorigenesis of breast cancer cells. Cell 120: 303-131, 2005.
3. Chu, H.-W., Cheng, C.-W., Chou, W.-C., Hu, L.-Y., Wang, H.-W., Hsiung, C.-N., Hsu, H.-M., Wu, P.-E., Hou, M.-F., Shen, C.-Y., Yu, J.-C. A novel estrogen receptor-microRNA 190a-PAR-1-pathway regulates breast cancer progression, a finding initially suggested by genome-wide analysis of loci associated with lymph-node metastasis. Hum. Molec. Genet. 23: 355-367, 2014.
NCBI and Uniprot Product Information
NCBI GI #
NCBI GeneID
NCBI Accession #
NCBI GenBank Nucleotide #
UniProt Accession #
NCBI Official Full Name
proteinase-activated receptor 1 isoform 1
NCBI Official Synonym Full Names
coagulation factor II thrombin receptor
NCBI Official Symbol
F2R
NCBI Official Synonym Symbols
TR; HTR; CF2R; PAR1; PAR-1
NCBI Protein Information
proteinase-activated receptor 1
UniProt Protein Name
Proteinase-activated receptor 1
UniProt Gene Name
F2R
UniProt Synonym Gene Names
CF2R; PAR1; TR; PAR-1
UniProt Entry Name
PAR1_HUMAN
Customer Reviews
Loading reviews...
Share Your Experience
Similar Products
Product Notes
The F2R f2r (Catalog #AAA125465) is an Antibody produced from Rabbit and is intended for research purposes only. The product is available for immediate purchase. The Anti-PAR1/Thrombin Receptor/F2R Antibody reacts with Human, Mouse, Rat and may cross-react with other species as described in the data sheet. AAA Biotech's PAR1/Thrombin Receptor/F2R can be used in a range of immunoassay formats including, but not limited to, ELISA (Direct ELISA), FCM/FACS (Flow Cytometry), IHC (Immunohistochemistry), WB (Western Blot). Researchers should empirically determine the suitability of the F2R f2r for an application not listed in the data sheet. Researchers commonly develop new applications and it is an integral, important part of the investigative research process. It is sometimes possible for the material contained within the vial of "PAR1/Thrombin Receptor/F2R, Polyclonal Antibody" to become dispersed throughout the inside of the vial, particularly around the seal of said vial, during shipment and storage. We always suggest centrifuging these vials to consolidate all of the liquid away from the lid and to the bottom of the vial prior to opening. Please be advised that certain products may require dry ice for shipping and that, if this is the case, an additional dry ice fee may also be required.Precautions
All products in the AAA Biotech catalog are strictly for research-use only, and are absolutely not suitable for use in any sort of medical, therapeutic, prophylactic, in-vivo, or diagnostic capacity. By purchasing a product from AAA Biotech, you are explicitly certifying that said products will be properly tested and used in line with industry standard. AAA Biotech and its authorized distribution partners reserve the right to refuse to fulfill any order if we have any indication that a purchaser may be intending to use a product outside of our accepted criteria.Disclaimer
Though we do strive to guarantee the information represented in this datasheet, AAA Biotech cannot be held responsible for any oversights or imprecisions. AAA Biotech reserves the right to adjust any aspect of this datasheet at any time and without notice. It is the responsibility of the customer to inform AAA Biotech of any product performance issues observed or experienced within 30 days of receipt of said product. To see additional details on this or any of our other policies, please see our Terms & Conditions page.Item has been added to Shopping Cart
If you are ready to order, navigate to Shopping Cart and get ready to checkout.
