Rabbit anti-Human PAXIP1 Polyclonal Antibody | anti-PAXIP1 antibody
PAXIP1 Antibody
Gene Names
PAXIP1; PTIP; TNRC2; CAGF28; CAGF29; PACIP1; PAXIP1L
Reactivity
Human
Applications
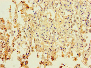
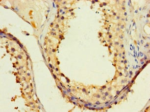
Immunohistochemistry, ELISA
Purity
>95%,Protein G purified
Synonyms
PAXIP1, Antibody; PAXIP1 Antibody; PAX-interacting protein 1; PAX transactivation activation domain-interacting protein; PAXIP1; PAXIP1L; PTIP; CAGF28; anti-PAXIP1 antibody
Host
Rabbit
Reactivity
Human
Clonality
Polyclonal
Isotype
IgG
Purity/Purification
>95%,Protein G purified
Form/Format
Liquid
Sequence Length
1069
Applicable Applications for anti-PAXIP1 antibody
IHC (Immunohistochemistry), ELISA
Immunogen
Recombinant human PAX-interacting protein 1 protein
Conjugation
Non-conjugated
Storage Buffer
Preservative: 0.03% Proclin 300 Constituents: 50% Glycerol, 0.01M PBS, PH 7.4
Santa Cruz Alternative
Potential replacement for Santa Cruz Biotechnology antibody catalog# sc-79277 / sc-79280
Preparation and Storage
Shipped at 4 degree C. Upon delivery, aliquot and store at -20 degree C or -80 degree C.
Related Product Information for anti-PAXIP1 antibody
Involved in DNA damage response and in transcriptional regulation through histone methyltransferase (HMT) complexes. Plays a role in early development. In DNA damage response is required for cell survival after ionizing radiation. In vitro shown to be involved in the homologous recombination mechanism for the repair of double-strand breaks (DSBs). Its localization to DNA damage foci requires RNF8 and UBE2N. Recruits TP53BP1 to DNA damage foci and, at least in particular repair processes, effective DNA damage response appears to require the association with TP53BP1 phosphorylated by ATM at 'Ser-25'. Together with TP53BP1 regulates ATM association. Recruits PAGR1 to sites of DNA damage and the PAGR1:PAXIP1 complex is required for cell survival in response to DNA damage; the function is probbaly independent of MLL-containing histone methyltransferase (HMT) complexes. Promotes ubiquitination of PCNA following UV irradiation and may regulate recruitment of polymerase eta and RAD51 to chromatin after DNA damage. Proposed to be involved in transcriptional regulation by linking MLL-containing histone methyltransferase (HMT) complexes to gene promoters by interacting with promoter-bound transcription factors such as PAX2. Associates with gene promoters that are known to be regulated by KMT2D/MLL2. During immunoglobulin class switching in activated B-cells is involved in trimethylation of histone H3 at 'Lys-4' and in transcription initiation of downstream switch regions at the immunoglobulin heavy-chain (Igh) locus; this function appears to involve the recruitment of MLL-containing HMT complexes.
NCBI and Uniprot Product Information
NCBI GI #
NCBI GeneID
NCBI Accession #
NCBI GenBank Nucleotide #
Molecular Weight
93,882 Da
NCBI Official Full Name
PAX-interacting protein 1
NCBI Official Synonym Full Names
PAX interacting (with transcription-activation domain) protein 1
NCBI Official Symbol
PAXIP1
NCBI Official Synonym Symbols
PTIP; TNRC2; CAGF28; CAGF29; PACIP1; PAXIP1L
NCBI Protein Information
PAX-interacting protein 1
UniProt Protein Name
PAX-interacting protein 1
UniProt Gene Name
PAXIP1
UniProt Synonym Gene Names
PAXIP1L; PTIP
UniProt Entry Name
PAXI1_HUMAN
Customer Reviews
Loading reviews...
Share Your Experience
Similar Products
Product Notes
The PAXIP1 paxip1 (Catalog #AAA229316) is an Antibody produced from Rabbit and is intended for research purposes only. The product is available for immediate purchase. The PAXIP1 Antibody reacts with Human and may cross-react with other species as described in the data sheet. AAA Biotech's PAXIP1 can be used in a range of immunoassay formats including, but not limited to, IHC (Immunohistochemistry), ELISA. Researchers should empirically determine the suitability of the PAXIP1 paxip1 for an application not listed in the data sheet. Researchers commonly develop new applications and it is an integral, important part of the investigative research process. It is sometimes possible for the material contained within the vial of "PAXIP1, Polyclonal Antibody" to become dispersed throughout the inside of the vial, particularly around the seal of said vial, during shipment and storage. We always suggest centrifuging these vials to consolidate all of the liquid away from the lid and to the bottom of the vial prior to opening. Please be advised that certain products may require dry ice for shipping and that, if this is the case, an additional dry ice fee may also be required.Precautions
All products in the AAA Biotech catalog are strictly for research-use only, and are absolutely not suitable for use in any sort of medical, therapeutic, prophylactic, in-vivo, or diagnostic capacity. By purchasing a product from AAA Biotech, you are explicitly certifying that said products will be properly tested and used in line with industry standard. AAA Biotech and its authorized distribution partners reserve the right to refuse to fulfill any order if we have any indication that a purchaser may be intending to use a product outside of our accepted criteria.Disclaimer
Though we do strive to guarantee the information represented in this datasheet, AAA Biotech cannot be held responsible for any oversights or imprecisions. AAA Biotech reserves the right to adjust any aspect of this datasheet at any time and without notice. It is the responsibility of the customer to inform AAA Biotech of any product performance issues observed or experienced within 30 days of receipt of said product. To see additional details on this or any of our other policies, please see our Terms & Conditions page.Item has been added to Shopping Cart
If you are ready to order, navigate to Shopping Cart and get ready to checkout.
