Rabbit anti-Human PCDHAC1 Polyclonal Antibody | anti-PCDHAC1 antibody
PCDHAC1 Antibody
Gene Names
PCDHAC1; PCDH-ALPHA-C1
Reactivity
Human
Applications
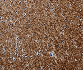
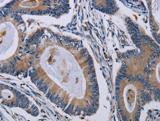
Immunohistochemistry, Western Blot
Purity
Antigen affinity purification.
Synonyms
PCDHAC1, Antibody; PCDHAC1 Antibody; PCDH-ALPHA-C1; anti-PCDHAC1 antibody
Host
Rabbit
Reactivity
Human
Clonality
Polyclonal
Specificity
The antibody detects endogenous levels of total PCDHAC1 protein.
Purity/Purification
Antigen affinity purification.
Form/Format
Rabbit IgG in pH7.3 PBS, 0.05% NaN3, 50% Glycerol.
Concentration
3.2 mg/ml (varies by lot)
Sequence Length
963
Applicable Applications for anti-PCDHAC1 antibody
IHC (Immunohistochemistry), WB (Western Blot)
Immunogen Type
Peptide
Immunogen Description
Synthetic peptide corresponding to a region derived from internal residues of human protocadherin alpha subfamily C, 1
Target Name
PCDHAC1
Preparation and Storage
Store at -20 degree C
Related Product Information for anti-PCDHAC1 antibody
This gene is a member of the protocadherin alpha gene cluster, one of three related gene clusters tandemly linked on chromosome five that demonstrate an unusual genomic organization similar to that of B-cell and T-cell receptor gene clusters. The alpha gene cluster is composed of 15 cadherin superfamily genes related to the mouse CNR genes and consists of 13 highly similar and 2 more distantly related coding sequences.
Product Categories/Family for anti-PCDHAC1 antibody
NCBI and Uniprot Product Information
NCBI GI #
NCBI GeneID
NCBI Accession #
NCBI GenBank Nucleotide #
Molecular Weight
88,316 Da
NCBI Official Full Name
protocadherin alpha-C1 isoform 1
NCBI Official Synonym Full Names
protocadherin alpha subfamily C, 1
NCBI Official Symbol
PCDHAC1
NCBI Official Synonym Symbols
PCDH-ALPHA-C1
NCBI Protein Information
protocadherin alpha-C1
UniProt Protein Name
Protocadherin alpha-C1
UniProt Gene Name
PCDHAC1
UniProt Synonym Gene Names
PCDH-alpha-C1
UniProt Entry Name
PCDC1_HUMAN
Customer Reviews
Loading reviews...
Share Your Experience
Similar Products
Product Notes
The PCDHAC1 pcdhac1 (Catalog #AAA302525) is an Antibody produced from Rabbit and is intended for research purposes only. The product is available for immediate purchase. The PCDHAC1 Antibody reacts with Human and may cross-react with other species as described in the data sheet. AAA Biotech's PCDHAC1 can be used in a range of immunoassay formats including, but not limited to, IHC (Immunohistochemistry), WB (Western Blot). Researchers should empirically determine the suitability of the PCDHAC1 pcdhac1 for an application not listed in the data sheet. Researchers commonly develop new applications and it is an integral, important part of the investigative research process. It is sometimes possible for the material contained within the vial of "PCDHAC1, Polyclonal Antibody" to become dispersed throughout the inside of the vial, particularly around the seal of said vial, during shipment and storage. We always suggest centrifuging these vials to consolidate all of the liquid away from the lid and to the bottom of the vial prior to opening. Please be advised that certain products may require dry ice for shipping and that, if this is the case, an additional dry ice fee may also be required.Precautions
All products in the AAA Biotech catalog are strictly for research-use only, and are absolutely not suitable for use in any sort of medical, therapeutic, prophylactic, in-vivo, or diagnostic capacity. By purchasing a product from AAA Biotech, you are explicitly certifying that said products will be properly tested and used in line with industry standard. AAA Biotech and its authorized distribution partners reserve the right to refuse to fulfill any order if we have any indication that a purchaser may be intending to use a product outside of our accepted criteria.Disclaimer
Though we do strive to guarantee the information represented in this datasheet, AAA Biotech cannot be held responsible for any oversights or imprecisions. AAA Biotech reserves the right to adjust any aspect of this datasheet at any time and without notice. It is the responsibility of the customer to inform AAA Biotech of any product performance issues observed or experienced within 30 days of receipt of said product. To see additional details on this or any of our other policies, please see our Terms & Conditions page.Item has been added to Shopping Cart
If you are ready to order, navigate to Shopping Cart and get ready to checkout.
