Rabbit anti-Mouse, Rat PDC Polyclonal Antibody | anti-PDC antibody
PDC Polyclonal Antibody
Gene Names
PDC; PHD; MEKA; PhLP; PhLOP
Reactivity
Mouse, Rat
Applications
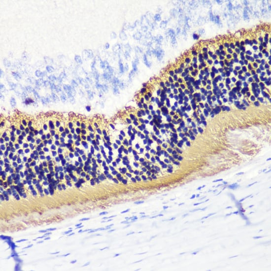
Immunohistochemistry, Western Blot
Purity
Affinity Purification
Synonyms
PDC, Antibody; PDC Polyclonal Antibody; MEKA; PHD; PhLOP; PhLP; anti-PDC antibody
Host
Rabbit
Reactivity
Mouse, Rat
Clonality
Polyclonal
Isotype
IgG
Purity/Purification
Affinity Purification
Sequence
MEEAKSQSLEEDFEGQATHTGPKGVINDWRKFKLESQDSDSIPPSKKEILRQMSSPQSRNGKDSKERVSRKMSIQEYELIHKEKEDENCLRKYRRQCMQDMHQKLSFGPRYGFVYELETGKQFLETIEKELKITTIVVHIYEDGIKGCDALNSSLTCLAAEYPIVKFCKIKASNTGAGDRFSLDVLPTLLIYKGGELISNFISVAEQFAEEFFAGDVESFLNEYGLLPEREVHVLEHTKIEEEDVE
Sequence Length
246
Applicable Applications for anti-PDC antibody
IHC (Immunohistochemistry), WB (Western Blot)
Immunogen
Recombinant protein of human PDC
Immunogen Species
Human
Storage Buffer
PBS with 0.02% sodium azide, 50% glycerol, pH7.3.
Cellular Location
Cell projection, Cytoplasm, Nucleus, Nucleus, Photoreceptor inner segment, cilium, cytosol, photoreceptor outer segment
Preparation and Storage
Store at -20 degree C. Avoid freeze / thaw cycles.
Related Product Information for anti-PDC antibody
This gene encodes a phosphoprotein, which is located in the outer and inner segments of the rod cells in the retina. This protein may participate in the regulation of visual phototransduction or in the integration of photoreceptor metabolism. It modulates the phototransduction cascade by interacting with the beta and gamma subunits of the retinal G-protein transducin. This gene is a potential candidate gene for retinitis pigmentosa and Usher syndrome type II. Alternatively spliced transcript variants encoding different isoforms have been identified.
Product Categories/Family for anti-PDC antibody
NCBI and Uniprot Product Information
NCBI GI #
NCBI GeneID
NCBI Accession #
NCBI GenBank Nucleotide #
Molecular Weight
22kDa/28kDa/32kDa
NCBI Official Full Name
phosducin isoform a
NCBI Official Synonym Full Names
phosducin
NCBI Official Symbol
PDC
NCBI Official Synonym Symbols
PHD; MEKA; PhLP; PhLOP
NCBI Protein Information
phosducin
UniProt Protein Name
Phosducin
UniProt Gene Name
PDC
UniProt Synonym Gene Names
PHD
Customer Reviews
Loading reviews...
Share Your Experience
Similar Products
Product Notes
The PDC pdc (Catalog #AAA281226) is an Antibody produced from Rabbit and is intended for research purposes only. The product is available for immediate purchase. The PDC Polyclonal Antibody reacts with Mouse, Rat and may cross-react with other species as described in the data sheet. AAA Biotech's PDC can be used in a range of immunoassay formats including, but not limited to, IHC (Immunohistochemistry), WB (Western Blot). Researchers should empirically determine the suitability of the PDC pdc for an application not listed in the data sheet. Researchers commonly develop new applications and it is an integral, important part of the investigative research process. The amino acid sequence is listed below: MEEAKSQSLE EDFEGQATHT GPKGVINDWR KFKLESQDSD SIPPSKKEIL RQMSSPQSRN GKDSKERVSR KMSIQEYELI HKEKEDENCL RKYRRQCMQD MHQKLSFGPR YGFVYELETG KQFLETIEKE LKITTIVVHI YEDGIKGCDA LNSSLTCLAA EYPIVKFCKI KASNTGAGDR FSLDVLPTLL IYKGGELISN FISVAEQFAE EFFAGDVESF LNEYGLLPER EVHVLEHTKI EEEDVE. It is sometimes possible for the material contained within the vial of "PDC, Polyclonal Antibody" to become dispersed throughout the inside of the vial, particularly around the seal of said vial, during shipment and storage. We always suggest centrifuging these vials to consolidate all of the liquid away from the lid and to the bottom of the vial prior to opening. Please be advised that certain products may require dry ice for shipping and that, if this is the case, an additional dry ice fee may also be required.Precautions
All products in the AAA Biotech catalog are strictly for research-use only, and are absolutely not suitable for use in any sort of medical, therapeutic, prophylactic, in-vivo, or diagnostic capacity. By purchasing a product from AAA Biotech, you are explicitly certifying that said products will be properly tested and used in line with industry standard. AAA Biotech and its authorized distribution partners reserve the right to refuse to fulfill any order if we have any indication that a purchaser may be intending to use a product outside of our accepted criteria.Disclaimer
Though we do strive to guarantee the information represented in this datasheet, AAA Biotech cannot be held responsible for any oversights or imprecisions. AAA Biotech reserves the right to adjust any aspect of this datasheet at any time and without notice. It is the responsibility of the customer to inform AAA Biotech of any product performance issues observed or experienced within 30 days of receipt of said product. To see additional details on this or any of our other policies, please see our Terms & Conditions page.Item has been added to Shopping Cart
If you are ready to order, navigate to Shopping Cart and get ready to checkout.
