Rabbit anti-Human, Mouse PDCD2 Polyclonal Antibody | anti-PDCD2 antibody
PDCD2 Antibody
Gene Names
PDCD2; RP8; ZMYND7
Reactivity
Human, Mouse
Applications
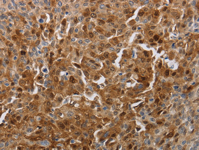
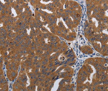
Immunohistochemistry, Western Blot
Purity
Antigen affinity purification.
Synonyms
PDCD2, Antibody; PDCD2 Antibody; RP8; ZMYND7; anti-PDCD2 antibody
Host
Rabbit
Reactivity
Human, Mouse
Clonality
Polyclonal
Specificity
The antibody detects endogenous levels of total PDCD2 protein.
Purity/Purification
Antigen affinity purification.
Form/Format
Rabbit IgG in pH7.3 PBS, 0.05% NaN3, 50% Glycerol.
Concentration
0.4 mg/ml (varies by lot)
Sequence Length
311
Applicable Applications for anti-PDCD2 antibody
IHC (Immunohistochemistry), WB (Western Blot)
Immunogen Type
Peptide
Immunogen Description
Synthetic peptide corresponding to residues near the C terminal of human Programmed cell death 2
Target Name
PDCD2
Preparation and Storage
Store at -20 degree C
Related Product Information for anti-PDCD2 antibody
This gene encodes a nuclear protein expressed in a variety of tissues. Expression of this gene has been shown to be repressed by B-cell CLL/lymphoma 6 (BCL6), a transcriptional repressor required for lymph node germinal center development, suggesting that BCL6 regulates apoptosis by its effects on this protein. Alternative splicing results in multiple transcript variants and pseudogenes have been identified on chromosomes 9 and 12.
Product Categories/Family for anti-PDCD2 antibody
NCBI and Uniprot Product Information
NCBI GI #
NCBI GeneID
NCBI Accession #
NCBI GenBank Nucleotide #
Molecular Weight
21,299 Da
NCBI Official Full Name
programmed cell death protein 2 isoform 4
NCBI Official Synonym Full Names
programmed cell death 2
NCBI Official Symbol
PDCD2
NCBI Official Synonym Symbols
RP8; ZMYND7
NCBI Protein Information
programmed cell death protein 2
UniProt Protein Name
Programmed cell death protein 2
UniProt Gene Name
PDCD2
UniProt Synonym Gene Names
RP8; ZMYND7
UniProt Entry Name
PDCD2_HUMAN
Customer Reviews
Loading reviews...
Share Your Experience
Similar Products
Product Notes
The PDCD2 pdcd2 (Catalog #AAA307856) is an Antibody produced from Rabbit and is intended for research purposes only. The product is available for immediate purchase. The PDCD2 Antibody reacts with Human, Mouse and may cross-react with other species as described in the data sheet. AAA Biotech's PDCD2 can be used in a range of immunoassay formats including, but not limited to, IHC (Immunohistochemistry), WB (Western Blot). Researchers should empirically determine the suitability of the PDCD2 pdcd2 for an application not listed in the data sheet. Researchers commonly develop new applications and it is an integral, important part of the investigative research process. It is sometimes possible for the material contained within the vial of "PDCD2, Polyclonal Antibody" to become dispersed throughout the inside of the vial, particularly around the seal of said vial, during shipment and storage. We always suggest centrifuging these vials to consolidate all of the liquid away from the lid and to the bottom of the vial prior to opening. Please be advised that certain products may require dry ice for shipping and that, if this is the case, an additional dry ice fee may also be required.Precautions
All products in the AAA Biotech catalog are strictly for research-use only, and are absolutely not suitable for use in any sort of medical, therapeutic, prophylactic, in-vivo, or diagnostic capacity. By purchasing a product from AAA Biotech, you are explicitly certifying that said products will be properly tested and used in line with industry standard. AAA Biotech and its authorized distribution partners reserve the right to refuse to fulfill any order if we have any indication that a purchaser may be intending to use a product outside of our accepted criteria.Disclaimer
Though we do strive to guarantee the information represented in this datasheet, AAA Biotech cannot be held responsible for any oversights or imprecisions. AAA Biotech reserves the right to adjust any aspect of this datasheet at any time and without notice. It is the responsibility of the customer to inform AAA Biotech of any product performance issues observed or experienced within 30 days of receipt of said product. To see additional details on this or any of our other policies, please see our Terms & Conditions page.Item has been added to Shopping Cart
If you are ready to order, navigate to Shopping Cart and get ready to checkout.
