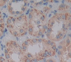
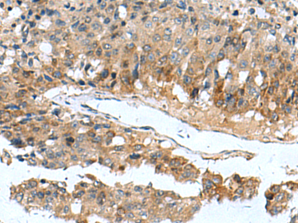
Rabbit PDCD5 Polyclonal Antibody | anti-STK39 antibody
PDCD5 Antibody
Gene Names
STK39; DCHT; PASK; SPAK
Reactivity
Human, Mouse, Rat
Applications
Immunocytochemistry, Western Blot, ELISA
Purity
PDCD5 Antibody is affinity chromatography purified via peptide column.
Synonyms
PDCD5, Antibody; PDCD5 Antibody; PDCD5; DCHT; PASK; SPAK; Ste-20-related kinase; serine threonine kinase 39 (STE20/SPS1 homolog, yeast); anti-STK39 antibody
Host
Rabbit
Reactivity
Human, Mouse, Rat
Clonality
Polyclonal
Isotype
IgG
Purity/Purification
PDCD5 Antibody is affinity chromatography purified via peptide column.
Form/Format
Liquid
Concentration
1 mg/mL (varies by lot)
Sequence Length
545
Applicable Applications for anti-STK39 antibody
ICC (Immunocytochemistry), WB (Western Blot), ELISA
Conjugate
Unconjugated
Immunogen
PDCD5 antibody was raised against a 13 amino acid synthetic peptide from near the amino terminus of human PDCD5.
Buffer
PDCD5 Antibody is supplied in PBS containing 0.02% sodium azide.
Preparation and Storage
PDCD5 antibody can be stored at 4 degree C for three months and -20 degree C, stable for up to one year. As with all antibodies care should be taken to avoid repeated freeze thaw cycles. Antibodies should not be exposed to prolonged high temperatures.
Related Product Information for anti-STK39 antibody
PDCD5 Antibody: Programmed cell death 5 (PDCD5), a human apoptosis-related protein, is thought to play an early and universal role in apoptosis. PDCD5 is widely expressed and is upregulated in cells undergoing apoptosis, where it translocates rapidly from the cytoplasm to the nucleus. PDCD5 has a compact core structure of low flexibility with two mobile alpha-helices at N-terminal and a flexible unstructured C-terminal region. The charged residues are crucial for the ability of apoptosis-promoting and cell translocation of the protein. PDCD5 can facilitate apoptosis and enhance TAJ/TROY-induced paraptosis-like cell death. PDCD5 may play a dual role in the Tip60 pathway. It interacts with Tip60 and functions as a Tip60 co-activator to promote apoptosis. The nucleotide polymorphisms in the 5'-upstream region of PDCD5 affect promoter activity and the susceptibility of a Chinese population to develop chronic myelogenous leukemia and may represent a novel tumor suppressor gene influencing lung cancer.
NCBI and Uniprot Product Information
NCBI GI #
NCBI GeneID
NCBI Accession #
NCBI GenBank Nucleotide #
Molecular Weight
57,937 Da
NCBI Official Full Name
STE20/SPS1-related proline-alanine-rich protein kinase
NCBI Official Synonym Full Names
serine threonine kinase 39
NCBI Official Symbol
STK39
NCBI Official Synonym Symbols
DCHT; PASK; SPAK
NCBI Protein Information
STE20/SPS1-related proline-alanine-rich protein kinase; STE20/SPS1 homolog; ste-20-related kinase; Ste20-like protein kinase; small intestine SPAK-like kinase; serine/threonine-protein kinase 39; proline-alanine-rich STE20-related kinase; serine threonine kinase 39 (STE20/SPS1 homolog, yeast)
UniProt Protein Name
STE20/SPS1-related proline-alanine-rich protein kinase
UniProt Gene Name
STK39
UniProt Synonym Gene Names
SPAK; Ste-20-related kinase
UniProt Entry Name
STK39_HUMAN
Customer Reviews
Loading reviews...
Share Your Experience
Similar Products
Product Notes
The STK39 stk39 (Catalog #AAA39406) is an Antibody produced from Rabbit and is intended for research purposes only. The product is available for immediate purchase. The PDCD5 Antibody reacts with Human, Mouse, Rat and may cross-react with other species as described in the data sheet. AAA Biotech's PDCD5 can be used in a range of immunoassay formats including, but not limited to, ICC (Immunocytochemistry), WB (Western Blot), ELISA. Researchers should empirically determine the suitability of the STK39 stk39 for an application not listed in the data sheet. Researchers commonly develop new applications and it is an integral, important part of the investigative research process. It is sometimes possible for the material contained within the vial of "PDCD5, Polyclonal Antibody" to become dispersed throughout the inside of the vial, particularly around the seal of said vial, during shipment and storage. We always suggest centrifuging these vials to consolidate all of the liquid away from the lid and to the bottom of the vial prior to opening. Please be advised that certain products may require dry ice for shipping and that, if this is the case, an additional dry ice fee may also be required.Precautions
All products in the AAA Biotech catalog are strictly for research-use only, and are absolutely not suitable for use in any sort of medical, therapeutic, prophylactic, in-vivo, or diagnostic capacity. By purchasing a product from AAA Biotech, you are explicitly certifying that said products will be properly tested and used in line with industry standard. AAA Biotech and its authorized distribution partners reserve the right to refuse to fulfill any order if we have any indication that a purchaser may be intending to use a product outside of our accepted criteria.Disclaimer
Though we do strive to guarantee the information represented in this datasheet, AAA Biotech cannot be held responsible for any oversights or imprecisions. AAA Biotech reserves the right to adjust any aspect of this datasheet at any time and without notice. It is the responsibility of the customer to inform AAA Biotech of any product performance issues observed or experienced within 30 days of receipt of said product. To see additional details on this or any of our other policies, please see our Terms & Conditions page.Item has been added to Shopping Cart
If you are ready to order, navigate to Shopping Cart and get ready to checkout.
