Rabbit PDE4A Polyclonal Antibody | anti-PDE4A antibody
PDE4A Antibody
IF (Immunofluorescence)
(AAA328934 staining Hela cells by IF/ICC. The samples were fixed with PFA and permeabilized in 0.1% Triton X-100,then blocked in 10% serum for 45 minutes at 25°C. Samples were then incubated with primary Ab(AAA328934 1:200) and mouse anti-beta tubulin Ab(T0023 1:200) for 1 hour at 37°C. An AlexaFluor594 conjugated goat anti-rabbit IgG(H+L) Ab(Red) and an AlexaFluor488 conjugated goat anti-mouse IgG(H+L) Ab(Green) were used as the secondary antibody.The nuclear counter stain is DAPI(blue).)
IHC (Immunohistochemisry)
(AAA328934 at 1/100 staining Mouse kidney tissue by IHC-P. The sample was formaldehyde fixed and a heat mediated antigen retrieval step in citrate buffer was performed. The sample was then blocked and incubated with the primary antibody at 4°C overnight. An HRP conjugated anti-Rabbit antibody was used as the secondary antibody.)
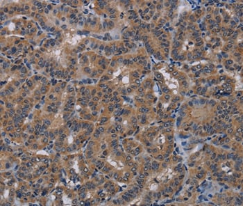
IHC (Immunohiostchemistry)
(AAA328934 at 1/100 staining Rat kidney tissue by IHC-P. The sample was formaldehyde fixed and a heat mediated antigen retrieval step in citrate buffer was performed. The sample was then blocked and incubated with the primary antibody at 4°C overnight. An HRP conjugated anti-Rabbit antibody was used as the secondary antibody.)
WB (Western Blot)
(Western blot analysis of extracts from Hela cells, using PDE4A Antibody. The lane on the left was treated with blocking peptide.)
Post Translational Modifications: Phosphorylation by MAPKAPK2 its activation through PKA phosphorylation (By similarity). Phosphorylated at Ser-686 and Ser-688 when expressed in S.frugiperda cells. Isoform 2 and isoform 7 are activated by phosphorylation at Ser-119 and Ser-123 respectively by PKA.Proteolytically cleaved by caspase-3.
Subcellular Location: Cytoplasm>Perinuclear region. Cytoplasm>Perinuclear region. Cell projection>Ruffle membrane. Membrane>Peripheral membrane protein. Note: Isoform 4 has propensity for association with membranes.Cytoplasm>Perinuclear region. Cytoplasm. Membrane. Note: Predominantly cytoplasmic.
Tissue Specificity: Isoform 1 is widely expressed. Isoform 2 is abundant in liver, stomach, testis, thyroid and adrenal glands. It is also found in placenta, kidney, pancreas, ovary, uterus, skin, monocytes, mast cells, macrophages, as well as in bronchial smooth muscle. Isoform 6 is expressed at high levels in the heart and small intestine. It is also found in the brain, kidney, spleen, colon, salivary gland, ovary and peripheral blood lymphocytes. Isoform 7 is expressed predominantly in skeletal muscle and brain and at lower levels in the testis. Isoform 7 is expressed in the brain. Found in specific neuronal subpopulations in cortex, spinal cord and cerebellum (at protein level).
Subunit Structure: Isoform 1 interacts with LYN. Isoform 2 and isoform 6 interact weakly with LYN. Isoform 1, isoform 2 and isoform 6 interact with ARRB2.
Similarity: Belongs to the cyclic nucleotide phosphodiesterase family. PDE4 subfamily.
NCBI and Uniprot Product Information
Predicted Molecular Weight: (Calculated)98kDa.
Customer Reviews
Loading reviews...
Share Your Experience
Similar Products
Product Notes
The PDE4A pde4a (Catalog #AAA328934) is an Antibody produced from Rabbit and is intended for research purposes only. The product is available for immediate purchase. The PDE4A Antibody reacts with Human, Mouse, Rat and may cross-react with other species as described in the data sheet. AAA Biotech's PDE4A can be used in a range of immunoassay formats including, but not limited to, ELISA, ICC (Immunocytochemistry), IF (Immunofluorescence), WB (Western Blot). Researchers should empirically determine the suitability of the PDE4A pde4a for an application not listed in the data sheet. Researchers commonly develop new applications and it is an integral, important part of the investigative research process. It is sometimes possible for the material contained within the vial of "PDE4A, Polyclonal Antibody" to become dispersed throughout the inside of the vial, particularly around the seal of said vial, during shipment and storage. We always suggest centrifuging these vials to consolidate all of the liquid away from the lid and to the bottom of the vial prior to opening. Please be advised that certain products may require dry ice for shipping and that, if this is the case, an additional dry ice fee may also be required.Precautions
All products in the AAA Biotech catalog are strictly for research-use only, and are absolutely not suitable for use in any sort of medical, therapeutic, prophylactic, in-vivo, or diagnostic capacity. By purchasing a product from AAA Biotech, you are explicitly certifying that said products will be properly tested and used in line with industry standard. AAA Biotech and its authorized distribution partners reserve the right to refuse to fulfill any order if we have any indication that a purchaser may be intending to use a product outside of our accepted criteria.Disclaimer
Though we do strive to guarantee the information represented in this datasheet, AAA Biotech cannot be held responsible for any oversights or imprecisions. AAA Biotech reserves the right to adjust any aspect of this datasheet at any time and without notice. It is the responsibility of the customer to inform AAA Biotech of any product performance issues observed or experienced within 30 days of receipt of said product. To see additional details on this or any of our other policies, please see our Terms & Conditions page.Item has been added to Shopping Cart
If you are ready to order, navigate to Shopping Cart and get ready to checkout.
