Rabbit anti-Human PDHA1 Polyclonal Antibody | anti-PDHA1 antibody
RABBIT ANTI PDHA1
DISCONTINUED
This product has been discontinued and is no longer available for purchase. Please contact us for alternative products or more information.
|
This product is discontinued. Contact us for alternatives. |
Antiserum to PDHA1 was raised by repeated immunization of rabbits with highly purified antigen
50% Glycerol
Storage in frost-free freezers is not recommended.
This product should be stored undiluted. Avoid repeated freezing and thawing as this may denature the antibody. Should this product contain a precipitate we recommend microcentrifugation before use.
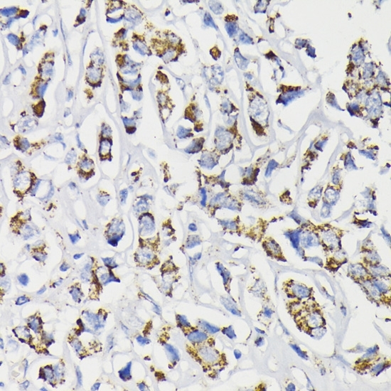
IHC (Immunohistochemisry)
(Immunohistochemistry microscopy image of paraffin embedded human mammary cancer stained with Rabbit anti PDHA1 at 1/200 dilution.)
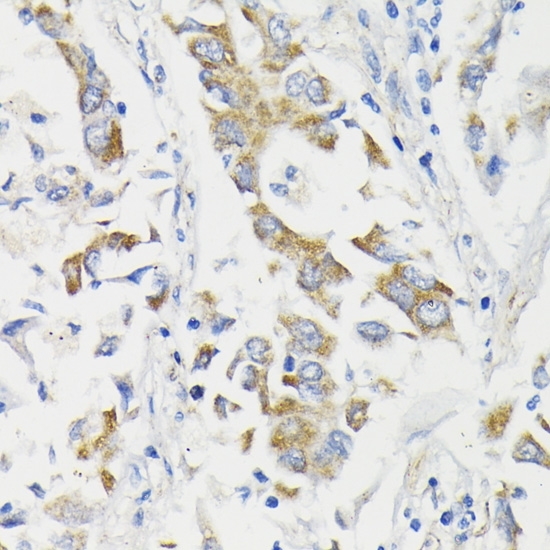
IHC (Immunohiostchemistry)
(Immunohistochemistry microscopy image of paraffin embedded human lung cancer stained with Rabbit anti PDHA1 at 1/200 dilution.)
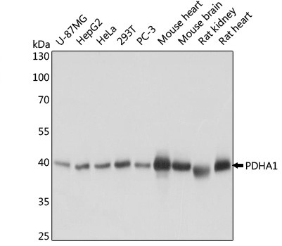
WB (Western Blot)
(Western blot analysis was performed by loading 25ug of various whole cell lysates probed with Rabbit anti PDHA1 at 1/1000 dilution. Arrow points to PDHA1 (molecular weight 43 kDa).)
The PDHA1 gene encodes part of the mitochondrial pyruvate dehydrogenase (PDH) complex, which converts pyruvate to acetyl-CoA and CO2. PDHA1 deficiency leads to mitochondrial dysfunction, and is associated with poor outcome in multiple cancer types (Song et al. 2018). The gene encoding PDHA1 is located on the X-chromosome, and mutations result in metabolic disorders, intellectual disability and early death (Yoshida et al. 2017).
Customer Reviews
Loading reviews...
Share Your Experience
Similar Products
Product Notes
The PDHA1 (Catalog #AAA50413) is an Antibody produced from Rabbit and is intended for research purposes only. The product is available for immediate purchase. The RABBIT ANTI PDHA1 reacts with Human and may cross-react with other species as described in the data sheet. AAA Biotech's PDHA1 can be used in a range of immunoassay formats including, but not limited to, IHC (Immunohistochemistry), WB (Western Blot). Researchers should empirically determine the suitability of the PDHA1 for an application not listed in the data sheet. Researchers commonly develop new applications and it is an integral, important part of the investigative research process. It is sometimes possible for the material contained within the vial of "PDHA1, Polyclonal Antibody" to become dispersed throughout the inside of the vial, particularly around the seal of said vial, during shipment and storage. We always suggest centrifuging these vials to consolidate all of the liquid away from the lid and to the bottom of the vial prior to opening. Please be advised that certain products may require dry ice for shipping and that, if this is the case, an additional dry ice fee may also be required.Precautions
All products in the AAA Biotech catalog are strictly for research-use only, and are absolutely not suitable for use in any sort of medical, therapeutic, prophylactic, in-vivo, or diagnostic capacity. By purchasing a product from AAA Biotech, you are explicitly certifying that said products will be properly tested and used in line with industry standard. AAA Biotech and its authorized distribution partners reserve the right to refuse to fulfill any order if we have any indication that a purchaser may be intending to use a product outside of our accepted criteria.Disclaimer
Though we do strive to guarantee the information represented in this datasheet, AAA Biotech cannot be held responsible for any oversights or imprecisions. AAA Biotech reserves the right to adjust any aspect of this datasheet at any time and without notice. It is the responsibility of the customer to inform AAA Biotech of any product performance issues observed or experienced within 30 days of receipt of said product. To see additional details on this or any of our other policies, please see our Terms & Conditions page.Item has been added to Shopping Cart
If you are ready to order, navigate to Shopping Cart and get ready to checkout.
