Rabbit PECAM1 Polyclonal Antibody | anti-PECAM1 antibody
PECAM1 Polyclonal Antibody
Gene Names
PECAM1; CD31; PECA1; GPIIA'; PECAM-1; endoCAM; CD31/EndoCAM
Reactivity
Human, Mouse, Rat
Applications
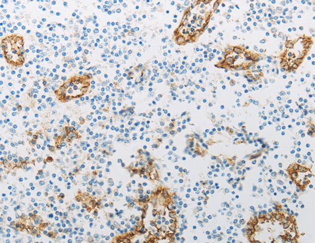
Immunohistochemistry, ELISA
Purity
Affinity purification
Synonyms
PECAM1, Antibody; PECAM1 Polyclonal Antibody; CD31, PECA1, GPIIA', PECAM-1, endoCAM, CD31/EndoCAM; anti-PECAM1 antibody
Host
Rabbit
Reactivity
Human, Mouse, Rat
Clonality
Polyclonal
Isotype
IgG
Purity/Purification
Affinity purification
Concentration
0.9mg/mL (varies by lot)
Sequence Length
738
Applicable Applications for anti-PECAM1 antibody
IHC (Immunohistochemistry), ELISA
Preparation and Storage
Store at -20 degree C (regular) and -80 degree C (long term). Avoid freeze / thaw cycles.
Related Product Information for anti-PECAM1 antibody
Background: The protein encoded by this gene is found on the surface of platelets, monocytes, neutrophils, and some types of T-cells, and makes up a large portion of endothelial cell intercellular junctions. The encoded protein is a member of the immunoglobulin superfamily and is likely involved in leukocyte migration, angiogenesis, and integrin activation.
Product Categories/Family for anti-PECAM1 antibody
NCBI and Uniprot Product Information
NCBI GI #
NCBI GeneID
Molecular Weight
81,378 Da
NCBI Official Full Name
Platelet endothelial cell adhesion molecule
NCBI Official Synonym Full Names
platelet/endothelial cell adhesion molecule 1
NCBI Official Symbol
PECAM1
NCBI Official Synonym Symbols
CD31; PECA1; GPIIA'; PECAM-1; endoCAM; CD31/EndoCAM
NCBI Protein Information
platelet endothelial cell adhesion molecule; CD31 antigen
UniProt Protein Name
Platelet endothelial cell adhesion molecule
UniProt Gene Name
PECAM1
UniProt Synonym Gene Names
PECAM-1
UniProt Entry Name
PECA1_HUMAN
Customer Reviews
Loading reviews...
Share Your Experience
Similar Products
Product Notes
The PECAM1 pecam1 (Catalog #AAA169363) is an Antibody produced from Rabbit and is intended for research purposes only. The product is available for immediate purchase. The PECAM1 Polyclonal Antibody reacts with Human, Mouse, Rat and may cross-react with other species as described in the data sheet. AAA Biotech's PECAM1 can be used in a range of immunoassay formats including, but not limited to, IHC (Immunohistochemistry), ELISA. Researchers should empirically determine the suitability of the PECAM1 pecam1 for an application not listed in the data sheet. Researchers commonly develop new applications and it is an integral, important part of the investigative research process. It is sometimes possible for the material contained within the vial of "PECAM1, Polyclonal Antibody" to become dispersed throughout the inside of the vial, particularly around the seal of said vial, during shipment and storage. We always suggest centrifuging these vials to consolidate all of the liquid away from the lid and to the bottom of the vial prior to opening. Please be advised that certain products may require dry ice for shipping and that, if this is the case, an additional dry ice fee may also be required.Precautions
All products in the AAA Biotech catalog are strictly for research-use only, and are absolutely not suitable for use in any sort of medical, therapeutic, prophylactic, in-vivo, or diagnostic capacity. By purchasing a product from AAA Biotech, you are explicitly certifying that said products will be properly tested and used in line with industry standard. AAA Biotech and its authorized distribution partners reserve the right to refuse to fulfill any order if we have any indication that a purchaser may be intending to use a product outside of our accepted criteria.Disclaimer
Though we do strive to guarantee the information represented in this datasheet, AAA Biotech cannot be held responsible for any oversights or imprecisions. AAA Biotech reserves the right to adjust any aspect of this datasheet at any time and without notice. It is the responsibility of the customer to inform AAA Biotech of any product performance issues observed or experienced within 30 days of receipt of said product. To see additional details on this or any of our other policies, please see our Terms & Conditions page.Item has been added to Shopping Cart
If you are ready to order, navigate to Shopping Cart and get ready to checkout.
