Rabbit Peroxiredoxin 1 Polyclonal Antibody | anti-PRDX1 antibody
Anti-Peroxiredoxin 1 Antibody
ICC (Immunocytochemistry)
(Anti- Peroxiredoxin 1 Picoband antibody, AAA46546, ICCICC: SMMC-7721 Cell)
IHC (Immunohistochemistry)
(Anti- Peroxiredoxin 1 Picoband antibody, AAA46546, IHC(P)IHC(P): Huma Mammary Cancer Tissue)
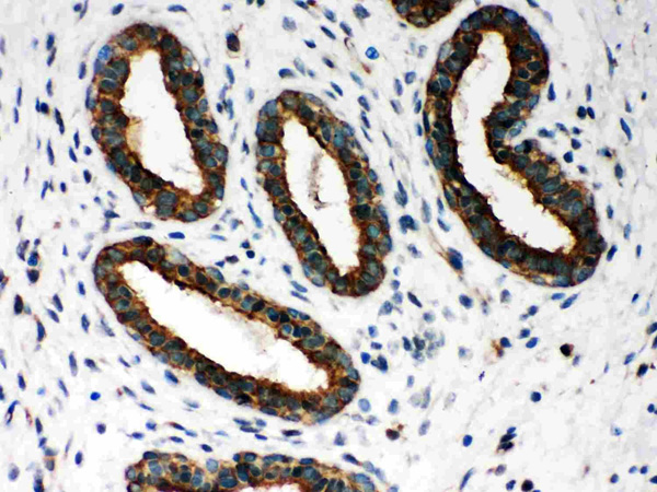
IHC (Immunohistochemisry)
(Anti- Peroxiredoxin 1 Picoband antibody, AAA46546, IHC(P)IHC(P): Rat Brain Tissue)
IHC (Immunohiostchemistry)
(Anti- Peroxiredoxin 1 Picoband antibody, AAA46546, IHC(P)IHC(P): Mouse Brain Tissue)
WB (Western Blot)
(Anti- Peroxiredoxin 1 Picoband antibody, AAA46546, Western blottingAll lanes: Anti Peroxiredoxin 1 (AAA46546) at 0.5ug/mlLane 1: Rat Brain Tissue Lysate at 50ugLane 2: Mouse Brain Tissue Lysate at 50ugLane 3: U87 Whole Cell Lysate at 40ugLane 4: NEURO Whole Cell Lysate at 40ugLane 5: A375 Whole Cell Lysate at 40ugLane 6: 293T Whole Cell Lysate at 40ugLane 7: SMMC Whole Cell Lysate at 40ugLane 8: A549 Whole Cell Lysate at 40ugLane 9: RH35 Whole Cell Lysate at 40ugPredicted bind size: 22KDObserved bind size: 22KD)
Background: PRDX1(Peroxiredoxin 1), also called PRX1, PAGA or NKEFA, is a thiol reductase that plays critical roles in oxidative and thermal stress defense mechanisms through its abilities to metabolize H2O2 and act as a molecular chaperone, respectively. This gene encodes a member of the peroxiredoxin family of antioxidant enzymes, which reduce hydrogen peroxide and alkyl hydroperoxides. The PRDX1 gene is mapped on 1p34.1. Prdx1 was expressed in differentiating motor neuron cells in developing embryonic chicken and mouse spinal cords. mmunoprecipitation analysis showed that GDE2 interacted directly with PRDX1 in embryonic chicken spinal cord extracts and in transfected HEK293T cells. This protein may have a proliferative effect and play a role in cancer development or progression. In differentiating spinal cord, Prdx1 was required to activate Gde2 by reducing an intramolecular cystine bridge between the Gde2 N- and C-terminal domains. An intramolecular disulfide bond between the GDE2 N- and C-terminal domains inhibits GDE2 function, and that reduction of this cystine by PRDX1 activates GDE2 for the induction of motor neuron differentiation.
NCBI and Uniprot Product Information
Customer Reviews
Loading reviews...
Share Your Experience
Similar Products
Product Notes
The PRDX1 prdx1 (Catalog #AAA46546) is an Antibody produced from Rabbit and is intended for research purposes only. The product is available for immediate purchase. The Anti-Peroxiredoxin 1 Antibody reacts with Human, Mouse, Rat and may cross-react with other species as described in the data sheet. AAA Biotech's Peroxiredoxin 1 can be used in a range of immunoassay formats including, but not limited to, ICC (Immunocytochemistry), IHC (Immunohistochemistry), WB (Western Blot). Researchers should empirically determine the suitability of the PRDX1 prdx1 for an application not listed in the data sheet. Researchers commonly develop new applications and it is an integral, important part of the investigative research process. It is sometimes possible for the material contained within the vial of "Peroxiredoxin 1, Polyclonal Antibody" to become dispersed throughout the inside of the vial, particularly around the seal of said vial, during shipment and storage. We always suggest centrifuging these vials to consolidate all of the liquid away from the lid and to the bottom of the vial prior to opening. Please be advised that certain products may require dry ice for shipping and that, if this is the case, an additional dry ice fee may also be required.Precautions
All products in the AAA Biotech catalog are strictly for research-use only, and are absolutely not suitable for use in any sort of medical, therapeutic, prophylactic, in-vivo, or diagnostic capacity. By purchasing a product from AAA Biotech, you are explicitly certifying that said products will be properly tested and used in line with industry standard. AAA Biotech and its authorized distribution partners reserve the right to refuse to fulfill any order if we have any indication that a purchaser may be intending to use a product outside of our accepted criteria.Disclaimer
Though we do strive to guarantee the information represented in this datasheet, AAA Biotech cannot be held responsible for any oversights or imprecisions. AAA Biotech reserves the right to adjust any aspect of this datasheet at any time and without notice. It is the responsibility of the customer to inform AAA Biotech of any product performance issues observed or experienced within 30 days of receipt of said product. To see additional details on this or any of our other policies, please see our Terms & Conditions page.Item has been added to Shopping Cart
If you are ready to order, navigate to Shopping Cart and get ready to checkout.
