Peroxiredoxin 5 Polyclonal Antibody | anti-PRDX5 antibody
Anti-Peroxiredoxin 5 Antibody
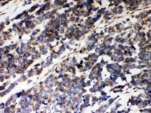
IHC (Immunohistochemistry)
(Anti- Peroxiredoxin 5 Picoband antibody, AAA46292, IHC(P)IHC(P): Human Lung Cancer Tissue)
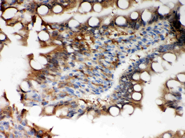
IHC (Immunohistochemisry)
(Anti- Peroxiredoxin 5 Picoband antibody, AAA46292, IHC(P)IHC(P): Rat Intestine Tissue)
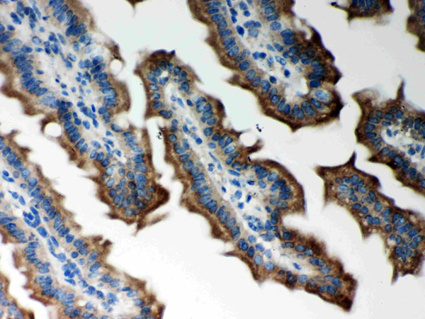
IHC (Immunohiostchemistry)
(Anti- Peroxiredoxin 5 Picoband antibody, AAA46292, IHC(P)IHC(P): Mouse Intestine Tissue)
WB (Western Blot)
(Anti- Peroxiredoxin 5 Picoband antibody, AAA46292, Western blottingAll lanes: Anti Peroxiredoxin 5 (AAA46292) at 0.5ug/mlLane 1: A549 Whole Cell Lysate at 40ugLane 2: Rat Brain Tissue Lysate at 50ugLane 3: Mouse Brain Tissue Lysate at 50ugPredicted bind size: 22KDObserved bind size: 22KD)
Background: PRDX5 (peroxiredoxin 5) also known as AOEB166, ACR1,B166, MGC117264, MGC142283, MGC142285, PLP, PMP20, PRDX6, PRXV, SBBI10, is a member of the peroxiredoxin family and may play an antioxidant protective role in various tissues under nonpathologic conditions and during inflammatory processes. The PRDX5 gene is mapped to11q13.1. PRDX5 displays mitochondrial presequence features and has 3 cysteines implicated in antioxidant activity and a C-terminal SQL peroxisomal targeting sequence. Northern blot analysis revealed ubiquitous expression of a 1.0-kb PRDX5 transcript in tissues and cell lines. Functional analysis showed that PRDX5 has antioxidant activity equivalent to that of CAT. While PRDX5 was localized to fibroblasts in normal tendon, it was localized to fibroblasts and endothelial cells in degenerative tendon. PRDX5 mRNA and protein levels increased at 12 hours, and the increase in PRDX5 expression correlated with reduced peroxide levels. PRDX5 plays a protective role against oxidative stress in human cartilage.
NCBI and Uniprot Product Information
Customer Reviews
Loading reviews...
Share Your Experience
Similar Products
Product Notes
The PRDX5 prdx5 (Catalog #AAA46292) is an Antibody and is intended for research purposes only. The product is available for immediate purchase. The Anti-Peroxiredoxin 5 Antibody reacts with Human, Mouse, Rat and may cross-react with other species as described in the data sheet. AAA Biotech's Peroxiredoxin 5 can be used in a range of immunoassay formats including, but not limited to, ICC (Immunocytochemistry), IHC (Immunohistochemistry), WB (Western Blot). Researchers should empirically determine the suitability of the PRDX5 prdx5 for an application not listed in the data sheet. Researchers commonly develop new applications and it is an integral, important part of the investigative research process. It is sometimes possible for the material contained within the vial of "Peroxiredoxin 5, Polyclonal Antibody" to become dispersed throughout the inside of the vial, particularly around the seal of said vial, during shipment and storage. We always suggest centrifuging these vials to consolidate all of the liquid away from the lid and to the bottom of the vial prior to opening. Please be advised that certain products may require dry ice for shipping and that, if this is the case, an additional dry ice fee may also be required.Precautions
All products in the AAA Biotech catalog are strictly for research-use only, and are absolutely not suitable for use in any sort of medical, therapeutic, prophylactic, in-vivo, or diagnostic capacity. By purchasing a product from AAA Biotech, you are explicitly certifying that said products will be properly tested and used in line with industry standard. AAA Biotech and its authorized distribution partners reserve the right to refuse to fulfill any order if we have any indication that a purchaser may be intending to use a product outside of our accepted criteria.Disclaimer
Though we do strive to guarantee the information represented in this datasheet, AAA Biotech cannot be held responsible for any oversights or imprecisions. AAA Biotech reserves the right to adjust any aspect of this datasheet at any time and without notice. It is the responsibility of the customer to inform AAA Biotech of any product performance issues observed or experienced within 30 days of receipt of said product. To see additional details on this or any of our other policies, please see our Terms & Conditions page.Item has been added to Shopping Cart
If you are ready to order, navigate to Shopping Cart and get ready to checkout.
